dantist_movani Опубликовано 4 февраля, 2017 Поделиться Опубликовано 4 февраля, 2017 Одна из первых работ. Импланнтаты Niko Leader. Пациент 1949 г.р. Ссылка на комментарий
Большой Зеленый Опубликовано 4 февраля, 2017 Поделиться Опубликовано 4 февраля, 2017 Еще парочку и несъемную конструкцию. Ссылка на комментарий
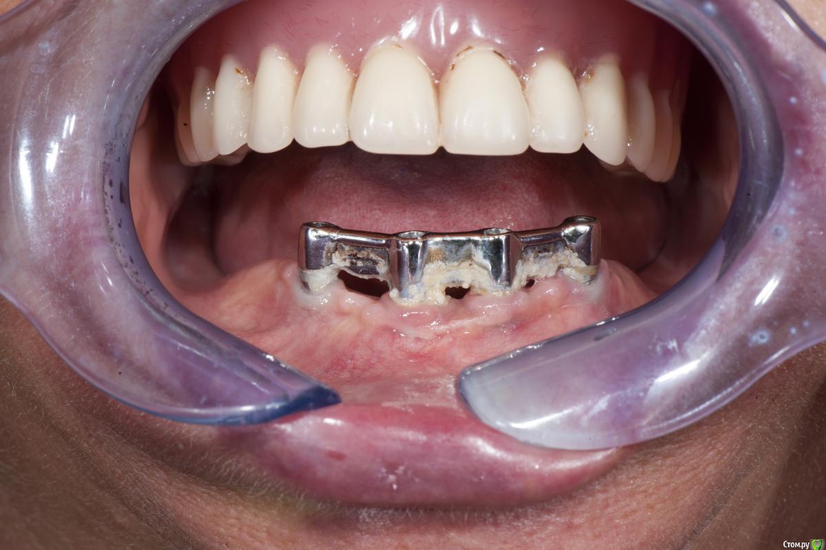
syrovovec Опубликовано 5 февраля, 2017 Поделиться Опубликовано 5 февраля, 2017 (изменено) Вась за гигиену поругай пациента.. ровненько поставил, молодец)) Изменено 5 февраля, 2017 пользователем syrovovec Ссылка на комментарий
stommm Опубликовано 5 февраля, 2017 Поделиться Опубликовано 5 февраля, 2017 Объясните пожалуйста, а чем плюсы делать и балку, и шарики? 1 Ссылка на комментарий
dantist_movani Опубликовано 5 февраля, 2017 Автор Поделиться Опубликовано 5 февраля, 2017 Объясните пожалуйста, а чем плюсы делать и балку, и шарики?Это не мое решение. Выбор конструкции за техником и ортопедом. Я бы на шариках делал Ссылка на комментарий
Rasim-AZ Опубликовано 5 февраля, 2017 Поделиться Опубликовано 5 февраля, 2017 Нельзя было сделать несъемную все на 4х? Ссылка на комментарий
Doc Опубликовано 5 февраля, 2017 Поделиться Опубликовано 5 февраля, 2017 Это не мое решение. Выбор конструкции за техником и ортопедом. Я бы на шариках делалА я бы две балки. Надежно, долговечно, очень хорошо держит и меньше возни с параллельностью.Ну или все на четырех. 1 Ссылка на комментарий
Doc Опубликовано 5 февраля, 2017 Поделиться Опубликовано 5 февраля, 2017 Вот уже десять лет ходит и еще столько же проходит. (В те времена у нас еще не было "все на четырех"). Ссылка на комментарий
Doc Опубликовано 5 февраля, 2017 Поделиться Опубликовано 5 февраля, 2017 13 лет назад. Ссылка на комментарий
Doc Опубликовано 5 февраля, 2017 Поделиться Опубликовано 5 февраля, 2017 А это вот сегодня. Гигиена, кажется, хромает, но стоят почему-то. Ссылка на комментарий
dok1 Опубликовано 5 февраля, 2017 Поделиться Опубликовано 5 февраля, 2017 Тоже много таких работ делаю. Объясняешь до аскомины. Не то что налёт. Десна воспаляется иной раз наура. Ссылка на комментарий
Doc Опубликовано 5 февраля, 2017 Поделиться Опубликовано 5 февраля, 2017 Тоже много таких работ делаю. Объясняешь до аскомины. Не то что налёт. Десна воспаляется иной раз наура.Бесполезно. Британские учёные доказали, что после 40 лет невозможно научить человека пользоваться зубной щеткой, если он до этого делал это неправильно. Проще посадить на электрическую или ирригатор, что обычную щётку тоже не особо заменит. Ссылка на комментарий
stommm Опубликовано 5 февраля, 2017 Поделиться Опубликовано 5 февраля, 2017 А я бы две балки. Надежно, долговечно, очень хорошо держит и меньше возни с параллельностью.Ну или все на четырех. 2 балки в смыле слева на 2 импланта и справа такую же? Почему бы не одну как показали ниже? В моей практике так делали 1 раз при большом расстоянии между медиальными имплантами наверху Вот уже десять лет ходит и еще столько же проходит. (В те времена у нас еще не было "все на четырех"). 20150302-DSC_9404.jpgДок, замки к балкам не добавляете? Ортопеды с кем работал/работаю делают в основном с замками бредент, один работает только с мк-1, и сейчас с сикуралоками начали работать. Есть у балок без замков преимущества перед балками с замками? По комфорту, долгосрочному прогнозу...Очень интересно ваше мнение. Ссылка на комментарий
Rasim-AZ Опубликовано 6 февраля, 2017 Поделиться Опубликовано 6 февраля, 2017 13 лет назад. DSC03003.JPGДок, а перебазировку в таких случиях часто делаете? Ссылка на комментарий
Doc Опубликовано 6 февраля, 2017 Поделиться Опубликовано 6 февраля, 2017 2 балки в смыле слева на 2 импланта и справа такую же? Почему бы не одну как показали ниже? В моей практике так делали 1 раз при большом расстоянии между медиальными имплантами наверху Док, замки к балкам не добавляете? Ортопеды с кем работал/работаю делают в основном с замками бредент, один работает только с мк-1, и сейчас с сикуралоками начали работать. Есть у балок без замков преимущества перед балками с замками? По комфорту, долгосрочному прогнозу...Очень интересно ваше мнение. На приведенных фотографиях как раз две балки с матрицами, а посередине просто связано для прочности, в середине нет никаких матриц. Замки не добавляем, ибо не вижу в этом никакой необходимости. Приведенные выше варианты работают более чем достаточно и для прочной фиксации (иногда даже ослаблять приходится, не все могут снять) и для долговечности. Сделал таких протезов не один десяток, до сих пор менял матрицы два-три раза, остальные так и ходят со старыми, все прекрасно держится.Перестал делать такие конструкции только из-за появления "все на четырех". Теперь нет смысла мучаться со съемными, если с тем же количеством можно получить несъемный вариант. 2 Ссылка на комментарий
Doc Опубликовано 6 февраля, 2017 Поделиться Опубликовано 6 февраля, 2017 Док, а перебазировку в таких случиях часто делаете?Когда сдаю протезы, то всегда предупреждаю, что съемная часть делается на 3-5 лет, балка навсегда. На практике же пока что не переделал ни одного. Никто не хочет. Если удается раз в пять лет заманить на контрольный осмотр, то разговор один и тот же: "у меня все в порядке, ничего переделывать не надо". Теоретически кость должна оседать. Но практически, видимо, вся нагрузка идет на балку, десна не сильно перегружена, кость не сильно уходит. В общем, сам не понимаю почему, но переделок была одна-две за последние 10 лет. Ссылка на комментарий
Рекомендуемые сообщения
Для публикации сообщений создайте учётную запись или авторизуйтесь
Вы должны быть пользователем, чтобы оставить комментарий
Создать аккаунт
Зарегистрируйте новый аккаунт в нашем сообществе. Это очень просто!
Регистрация нового пользователяВойти
Уже есть аккаунт? Войти в систему.
Войти