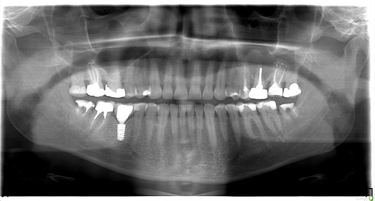
LeoRuss Опубликовано 31 января, 2017 Поделиться Опубликовано 31 января, 2017 (изменено) Вот, неожиданно тема месячной давности http://forum.stom.ru/topic/34389-analiz-kt-i-panoram-nuzhno-mnenie-profi/ получила продолжение:По данным свежей томографии предлагается выскрёбывание полости кисты и подсадка кости, тк естественным путем, по словам хирурга, она сама не зарастет в связи со значительным размером. Т.е. останется открытый типа свищ (соустье?) между гайморовой и ротовой, плюс о последующей установке импланта в такой ситуации не может быть и речи. Поскольку это противоречит мнению уважаемого Bier : http://forum.stom.ru/topic/34389-analiz-kt-i-panoram-nuzhno-mnenie-profi/?p=573225, прошу вас, мэтры, высказать свои мнения и рекомендации по этой малоприятной ситуёвине. Вот новое КТ в Galileos: https://yadi.sk/d/eeX5n1Jd3C2Lxm(140Мб)старое КТ от Vatech и панорамы есть в вышеназванной теме, но в конце 2015 никаких отклоненийна снимках по 26ке заметно не было, хотя нет, на КТ было: перфорация титановым штифтом в небном корне. новую панораму для вашего удобства дублирую здесь Спасибо! Изменено 31 января, 2017 пользователем LeoRuss Ссылка на комментарий
Гарриевич Опубликовано 31 января, 2017 Поделиться Опубликовано 31 января, 2017 Для того чтобы упростить работу Имплантолога я бы зуб пока пролечил и сохранилвырастил бы кость и потом удаление и имплантация 2 Ссылка на комментарий
LeoRuss Опубликовано 31 января, 2017 Автор Поделиться Опубликовано 31 января, 2017 Озадачили..почему с ходу предлагают подсадку кости.. могу еще предположить, учитывая расценки на эту процедуру.но удаление немедленно и безвариантно рекомендовали все кто видел панораму.. Очень хочется задать вам множество вопросов, но в Москву я попаду скорее всего в мае. Вряд ли стоит так долго тянуть? А пытать вас тут заочно, как то совсем неприлично.. Ссылка на комментарий
DmitrySH Опубликовано 31 января, 2017 Поделиться Опубликовано 31 января, 2017 Для того чтобы упростить работу Имплантолога я бы зуб пока пролечил и сохранил Присоединюсь к вышесказанному, поступил бы аналогично. Адекватное лечение зуба способно сильно улучшить ситуацию с костной тканью и создать комфортные условия для имплантации потом. Очень хочется задать вам множество вопросов, но в Москву я попаду скорее всего в мае. Вряд ли стоит так долго тянуть? А пытать вас тут заочно, как то совсем неприлично.. Проблема существует давно, но когда наступит час "X" и случится обострение, это неизвестно. Может через 2-3 года, а может и завтра. почему с ходу предлагают подсадку кости.. могу еще предположить, учитывая расценки на эту процедуру. но удаление немедленно и безвариантно рекомендовали все кто видел панораму.. грамотных эндодонтистов, способных оказать помощь, не так уж и много Ссылка на комментарий
Bier Опубликовано 1 февраля, 2017 Поделиться Опубликовано 1 февраля, 2017 Я думал об эндодонтии, но честно говоря сомневаюсь, что тут реально герметично запаковать такой широкий канал, ранее уже разбитый. Это могут оказаться выброшенные деньги.Паковать костный материал в условно инфицированную рану я бы не стал, есть риск, что все отгниет. Так же есть конечно шанс, что все прирастет.Повторюсь, я бы ограничился удалением зуба. 1 Ссылка на комментарий
DmitrySH Опубликовано 1 февраля, 2017 Поделиться Опубликовано 1 февраля, 2017 Я думал об эндодонтии, но честно говоря сомневаюсь, что тут реально герметично запаковать такой широкий канал, ранее уже разбитый. Это могут оказаться выброшенные деньги. Тут больше разговор не про запаковать, а про очистку и максимальную дезинфекцию каналов.Да, при паковке сколько-то МТА из первой порции выйдет за пределы зуба. Но в текущей ситуации это не принесет вреда. Второй порцией уже можно герметично закрыть. Ссылка на комментарий
LeoRuss Опубликовано 1 февраля, 2017 Автор Поделиться Опубликовано 1 февраля, 2017 (изменено) Присоединюсь к вышесказанному, поступил бы аналогично.Адекватное лечение зуба способно сильно улучшить ситуацию с костной тканью и создать комфортные условия для имплантации потом.но грамотных эндодонтистов, способных оказать помощь, не так уж и многоЯ полностью за этот вариант, но но но ...был уже у двух дантистов, ни один не взялся ни за лечение, ни за удаление: "сильно запущено и очень большая киста, как лечить и что делать если будут осложнения непонятно..."второй послал.. к хирургу, вот только что от него, предложено:! удаление и кюретаж кисты под общей анестезией !когда попытался обговорить вариант с лечением предложенный Юрием Гарриевичи поддержанный вами, он ответил: "об этом не может быть и речи потому что если не удалить зуб, то не получится ни сделать кюретаж, ни избавиться от микробов!" понятно он хирург, не эндодонтист, с его горы это видится только такно я не хочу ни кюретаж, ни тем более общую анестезию буду искать дальше Изменено 1 февраля, 2017 пользователем LeoRuss Ссылка на комментарий
LeoRuss Опубликовано 1 февраля, 2017 Автор Поделиться Опубликовано 1 февраля, 2017 (изменено) Я думал об эндодонтии, но честно говоря сомневаюсь, что тут реально герметично запаковать такой широкий канал, ранее уже разбитый. Это могут оказаться выброшенные деньги.Паковать костный материал в условно инфицированную рану я бы не стал, есть риск, что все отгниет. Так же есть конечно шанс, что все прирастет.Повторюсь, я бы ограничился удалением зуба.От подсадки кости в результате отказались, уфф.., именно по соображениям инфекции.Однако под этим же предлогом хирург настоятельно предлагает не просто удаление, но и обязательно выскабливание кисты кюреткой под общей анестезией..Подскажите, плиз, по вашему мнению кюретаж действительно необходим или это "сверхнадежный хирургический метод удаления ноги чтобы палец больше не беспокоил" доступный данному хирургу?Мне кажется это решение максимально травматично для пациента ;( Изменено 1 февраля, 2017 пользователем LeoRuss Ссылка на комментарий
Bier Опубликовано 1 февраля, 2017 Поделиться Опубликовано 1 февраля, 2017 общая анестезия тут вообще не нужна. Если там прямо будет оболочка, я бы попробовал ее вытянуть через лунку конечно, но не более. Подождать и посмотреть, если не будет заживать - тогда уже более обширное вмешательство. Ссылка на комментарий
LeoRuss Опубликовано 1 февраля, 2017 Автор Поделиться Опубликовано 1 февраля, 2017 (изменено) общая анестезия тут вообще не нужна. Если там прямо будет оболочка, я бы попробовал ее вытянуть через лунку конечно, но не более. Подождать и посмотреть, если не будет заживать - тогда уже более обширное вмешательство.Спасибо, что конкретно искать понял.Ищу пока дальше, назначил консультации у еще 2х стоматологов на 8е и 14е.Если и они пошлют "к хирургу", то буду пытаться пораньше вернуться в Москву. С уважением, Леонид ПС: Наткнулся в дебрях инета на Депофорез и лечение кисты лазером..если не будет ттт заживать, что то из этих методов реально действенно? Изменено 1 февраля, 2017 пользователем LeoRuss Ссылка на комментарий
LeoRuss Опубликовано 1 февраля, 2017 Автор Поделиться Опубликовано 1 февраля, 2017 Тут больше разговор не про запаковать, а про очистку и максимальную дезинфекцию каналов.Да, при паковке сколько-то МТА из первой порции выйдет за пределы зуба. Но в текущей ситуации это не принесет вреда. Dmitry, спасибоподскажите, а запаковка ПроРутом заметно лучше чем триоксидентом ? Ссылка на комментарий
Bier Опубликовано 2 февраля, 2017 Поделиться Опубликовано 2 февраля, 2017 Про депофорез и лазер можно забыть сразу. Триоксидент практически тот же прорут. Ссылка на комментарий
LeoRuss Опубликовано 2 февраля, 2017 Автор Поделиться Опубликовано 2 февраля, 2017 Забыл, в моем возрасте это легко Спасибо. Если можно, оставьте тему открытой до 9/02,вдруг 8го что еще альтернативное предложат. Ссылка на комментарий
Bier Опубликовано 2 февраля, 2017 Поделиться Опубликовано 2 февраля, 2017 мы не закрываем правильно оформленные темы. 1 Ссылка на комментарий
Рекомендуемые сообщения
Для публикации сообщений создайте учётную запись или авторизуйтесь
Вы должны быть пользователем, чтобы оставить комментарий
Создать аккаунт
Зарегистрируйте новый аккаунт в нашем сообществе. Это очень просто!
Регистрация нового пользователяВойти
Уже есть аккаунт? Войти в систему.
Войти