kobra141480 Опубликовано 30 января, 2017 Поделиться Опубликовано 30 января, 2017 Добрый день!Уважаемые доктора, помогите!Возникла спорная ситуация, оголилась одна заглушка имплан. и еще две заглушки начали просвечивать темными пятнами через десну. Лечащий доктор (стаж 50 лет) говорит, что все хорошо и мы прекрасно установим формирователи и коронки. Весь процесс был сложный, длительный и болезненный остеопластика, потом имплантация, решила ни рисковать и проконсультироваться у стороннего специалиста. Второй доктор (стаж 7 лет) утверждает, что необходимо нарастить десну и сразу ставить формирователи, через месяц ставить коронки. Скажите пожалуйста своё профессиональное мнение, что мне делать. Заранее спасибо! Ссылка на комментарий
red_butler Опубликовано 30 января, 2017 Поделиться Опубликовано 30 января, 2017 Лечащий доктор (стаж 50 лет)доктору за семьдесят? Фото во рту покажите. Сколько прошло времени после имплантации? 1 Ссылка на комментарий
Большой Зеленый Опубликовано 30 января, 2017 Поделиться Опубликовано 30 января, 2017 Наростить вреда не будет... Ссылка на комментарий
DrNice Опубликовано 30 января, 2017 Поделиться Опубликовано 30 января, 2017 Наростить вреда не будет...Больше всегда хорошо ) Ссылка на комментарий
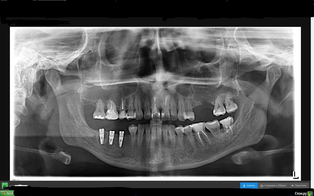
kobra141480 Опубликовано 31 января, 2017 Автор Поделиться Опубликовано 31 января, 2017 доктору за семьдесят? Фото во рту покажите. Сколько прошло времени после имплантации?Да, лечащему доктору около 70 и я боюсь, что он на эстетику не обращает внимания. С момента имплантации прошло ровно 7 месяцев, имплантат на месте 5-ки долго приживался.http://s018.radikal.ru/i528/1701/00/7e1d2cba90a0.jpgснимок.bmp Ссылка на комментарий
red_butler Опубликовано 31 января, 2017 Поделиться Опубликовано 31 января, 2017 первый имплант я бы переставил, и отработать мягкие ткани Ссылка на комментарий
kobra141480 Опубликовано 31 января, 2017 Автор Поделиться Опубликовано 31 января, 2017 первый имплант я бы переставил, и отработать мягкие тканидаже не смотря на то, что он хорошо прижился Ссылка на комментарий
red_butler Опубликовано 31 января, 2017 Поделиться Опубликовано 31 января, 2017 даже не смотря на то, что он хорошо прижилсяхорошо прижился понятие относительное, у Вас не просто прорезалась заглушка, это более 1 мм импланта выступают в полость рта и по Rg потеряно кости до 1/3 длины винта. Если Бы эти импланты были установлены мною, то первый я бы переставил.А так побороться конечно можно. Да, и еще. А ортопед Вас давно смотрел? Ссылка на комментарий
kobra141480 Опубликовано 31 января, 2017 Автор Поделиться Опубликовано 31 января, 2017 хорошо прижился понятие относительное, у Вас не просто прорезалась заглушка, это более 1 мм импланта выступают в полость рта и по Rg потеряно кости до 1/3 длины винта. Если Бы эти импланты были установлены мною, то первый я бы переставил.А так побороться конечно можно. Да, и еще. А ортопед Вас давно смотрел?А каким образом можно побороться? Очень не хочется терять столько потраченного времени (из-за имплантации отодвигалась беременность).Ортопед еще не смотрел. Ссылка на комментарий
red_butler Опубликовано 31 января, 2017 Поделиться Опубликовано 31 января, 2017 А каким образом можно побороться? Второй доктор (стаж 7 лет) утверждает, что необходимо нарастить десну и сразу ставить формирователи, через месяц ставить коронки. Ссылка на комментарий
kobra141480 Опубликовано 31 января, 2017 Автор Поделиться Опубликовано 31 января, 2017 Огромное спасибо за консультацию!!! В ближайшие дни буду решать вопрос. Ссылка на комментарий
Рекомендуемые сообщения
Для публикации сообщений создайте учётную запись или авторизуйтесь
Вы должны быть пользователем, чтобы оставить комментарий
Создать аккаунт
Зарегистрируйте новый аккаунт в нашем сообществе. Это очень просто!
Регистрация нового пользователяВойти
Уже есть аккаунт? Войти в систему.
Войти