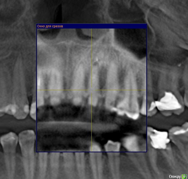
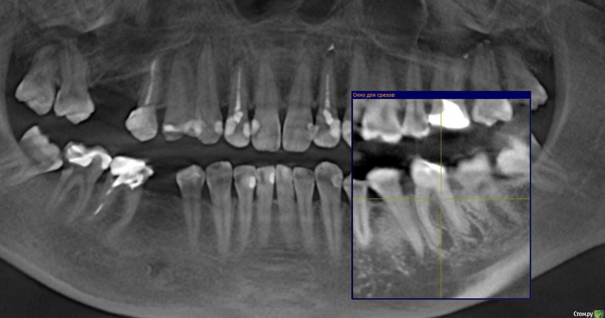
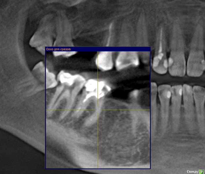
Gusenica Опубликовано 29 января, 2017 Поделиться Опубликовано 29 января, 2017 (изменено) Добрый день, уважаемые стоматологи! Прошу вас подтвердить правильность действия моих стоматологов. В частности интересует, безнадежен ли мой 36 зуб, на нем 2 кисты и я так и не поняла, почему их нельзя вылечить, но мой врач категорично настаивает на удалении. Зуб разрушен, имеет розово-серый цвет, лечился когда-то резорцином. На втором снимке киста на 22 зубе была обнаружена врачем уже после эстетического лечения, на ортопантомограмме она ее не увидела. А перелечивать мне не захотелось, при том она не настаивала, мол можно просто ее наблюдать, что она маленькая и неопасная. Так ли это? Может все же нужно лечить? И последний вопрос: зуб 46 -каналы пломбировались резорцином и сильно склерозированы. После консультации с ортопедом решили их не перелечивать, а сразу ставить на него коронку. Как вы считаете это правильное решение? Не появится ли там киста в итоге? Добавлю, что зубы с кистами никогда не беспокоили. Буду признательна за консультацию. Изменено 29 января, 2017 пользователем Gusenica Ссылка на комментарий
Доктор Добрых Дел Опубликовано 29 января, 2017 Поделиться Опубликовано 29 января, 2017 (изменено) Зуб 36 помимо кист (а точнее гранулём) имеет патологическую резорбцию корней в апикальной части поэтому перелечить его невозможно. Зуб 22 можно и наблюдать конечно, но канал недопломбирован, поэтому лучше перелечить. Зуб 46 кандидат на удаление так как судя по снимку разрушение копонковой части зуба потребует изготовления культевой вкладки, а так как каналы склерозированы их придётся рассверливать, а так как зуб резорциненый и хрупкий как стекло в будущем это с высокой ддолей вероятности приведёт к перелому корня. Я бы рекомендовал удаление 36, 46 и установку имплантатов. Перелечтвание 22. Прошу учесть, что рекомендации не являются руководством к действию. Решение принимать Вам и Вашему лечащему врачу. Изменено 29 января, 2017 пользователем Доктор Добрых Дел 1 Ссылка на комментарий
DrNice Опубликовано 30 января, 2017 Поделиться Опубликовано 30 января, 2017 Соглашусь с постом выше, кроме 46 зуба, за него я бы поборолся. Адекватное перелечивание, культевая вкладка и коронка. Да риски есть, в любом случае решение принимать вам и вашему лечащему врачу.P.S. Имплантация более прогнозируемый вариант Ссылка на комментарий
red_butler Опубликовано 30 января, 2017 Поделиться Опубликовано 30 января, 2017 3.6 и все восьмые удалять. 4.6 смотреть очно Ссылка на комментарий
Gusenica Опубликовано 30 января, 2017 Автор Поделиться Опубликовано 30 января, 2017 Спасибо большое за ответы. Восьмерки уже удалили нижние, верхние не мешают вроде. Мой стоматолог не собирается перелечивать каналы 46 зуба, отправила меня сразу к ортопеду ставить коронку. Может все-таки настоять на перелечивании или можно и так коронку ставить? Да, там еще и штифт стоит. Меня это немного настораживает, не будет ли потом осложнений, если каналы не трогать? Ссылка на комментарий
inSight Опубликовано 12 февраля, 2017 Поделиться Опубликовано 12 февраля, 2017 Может все-таки настоять на перелечивании или можно и так коронку ставить? Да, там еще и штифт стоит. Меня это немного настораживает, не будет ли потом осложнений, если каналы не трогать?Есть риски, Док их оценил, ортопедия. Осложнения будут - если вовремя ничего не трогать. Ссылка на комментарий
Рекомендуемые сообщения
Для публикации сообщений создайте учётную запись или авторизуйтесь
Вы должны быть пользователем, чтобы оставить комментарий
Создать аккаунт
Зарегистрируйте новый аккаунт в нашем сообществе. Это очень просто!
Регистрация нового пользователяВойти
Уже есть аккаунт? Войти в систему.
Войти