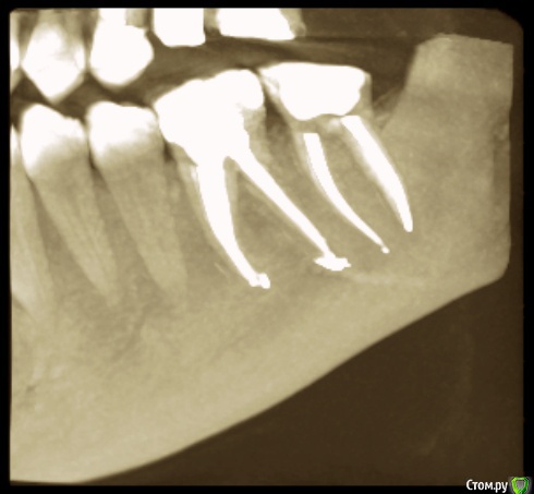
венди Опубликовано 26 января, 2017 Поделиться Опубликовано 26 января, 2017 (изменено) Добрый день! Не знаю в какой раздел будет правильно добавить, т.к. проблема смешанная. Помогите, пожалуйста! 3 месяца мучений. В прошлом году начала заниматься зубами. Был сделан панорамный снимок (прилагаю).В мае в районе отсутствующего 26 был установлен имплант с одновременным открытым синус-лифтингом. Послеоперационный период протекал более-менее нормально. Меня отпустили на пол года. И я стала заниматься остальными зубами. Лечили кариес справа, был удален 46 (резорбация мед. стенки медиального корня с перфорацией). К осени добрались до левой нижней стороны. 26.09. - был залечен кариес в 36 зубе. После этого зуб стал стрелять током при накусывании. Врач решила ещё понаблюдать.19.10. - 37 зуб с гранулемой был распломбирован, врач прошла каналы, заложила кальций. Через 6 дней ещё раз все прочистили, запломбировали каналы полностью, поставили временную пломбу и сказали, что можно протезироваться. Вроде зуб после лечения не беспокоил.01.11. - я пошла на осмотр к хирургу по поводу удаленного 46. Хирург решил раскрыть имплант, т.к. уже время подошло. Сказал всё хорошо прижилось и поставил формирователь десны. С этого дня моя жизнь разделилась на до и после.. Стала болеть вся область вокруг импланта, появилось ощущение мешающего валика под щекой, формирователь утонул в десне, отечность в этой области была. Обобщу и скажу, что после этого формирователь перекручивался еще 3 раза, внутри все промывалось, я принимала антибиотики. Острые ощущения немного ушли, но дискомфорт мешающий нормально жить оставался. По снимку - все отлично, имплант интегрирован (прилагаю). Одновременно с этими манипуляциями с имплантом 36 зуб стал не только бить током, а до него уже нельзя было дотронуться. 18.11 - вскрыли, депульпировали, заложили кальций и через неделю закрыли все постоянной пломбой (снимок прилагаю). Всё это время, впрочем как и сейчас вся левая сторона была охвачена ужасными ощущениями. Распирание, нытье, давящая боль, дискомфорт и днем и ночью. Стала плохо спать. Перед Новым Годом хирург принял решение выкрутить формирователь и посмотреть за динамикой. Мне показалось, что стало немного легче, особенно что касается ощущение валика под щекой. НО все равно с левой стороны мне что-то болит. От области импланта ли это идет или от 36-37 - я не знаю, не могу точно дифференцировать.... т.к. ковырялись везде одновременно и у меня уже все спутано... Никто не может понять, что со мной, т.к. по снимкам и 3Д все отлично. На прошлой неделе придя в очередной раз в клинику - по панорамному снимку и моим жалобам на боли поставили диагноз "дисфункция ВНЧ, артроз ВНЧС слева". При этом я спокойно открываю рот без болей, щелчков и хруста, при жевании тоже ничего не болит. Назначили физио и Аэртал - принимаю больше недели вообще все без изменений... аэртал даже не обезбаливает особо. На данный момент я ощущаю постоянный тупой ноющий тянущий дискомфорт слева. Чувство распирания. Поднимается иногда температура 37-37,1. Плохо сплю, нервничаю, т.к. очень снизилось качество жизни. Помогите, пожалуйста, разобраться. На что бить, если по снимками как бы все хорошо?! Имплант, 36, 37, сустав?? Все началось с раскрытия имланта. До этого я жила обычной жизнью. Есть 3Д декабрьские. Если кто-то захочет посмотреть я добавлю. Спасибо! Изменено 26 января, 2017 пользователем венди Ссылка на комментарий
red_butler Опубликовано 26 января, 2017 Поделиться Опубликовано 26 января, 2017 Выкладывайте срезы Кт и фото во рту. Ссылка на комментарий
венди Опубликовано 26 января, 2017 Автор Поделиться Опубликовано 26 января, 2017 (изменено) Выкладывайте срезы Кт и фото во рту. выложу заархивированный 3Д полностью. напишите, пожалуйста, если не сможете открыть - буду что-то думать тогда. https://drive.google.com/open?id=0BysgYz5NZ0QkQWZyckFNS2VWYm8 https://drive.google.com/open?id=0BysgYz5NZ0QkVGExQjROMElLTVU Изменено 26 января, 2017 пользователем венди Ссылка на комментарий
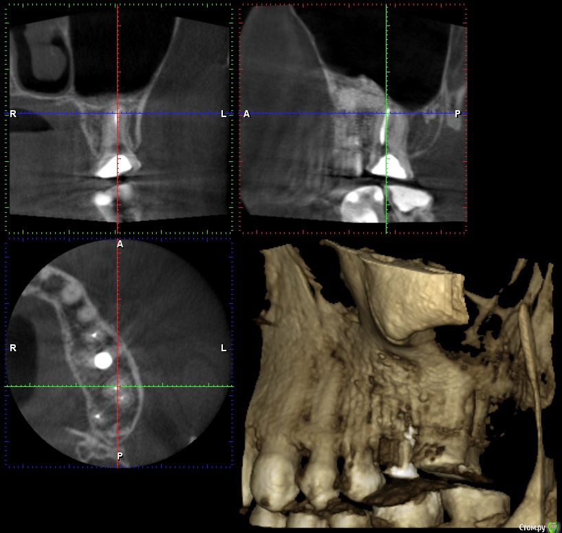
wladdX Опубликовано 26 января, 2017 Поделиться Опубликовано 26 января, 2017 Несколько скринов 2-й сегмент. Ссылка на комментарий
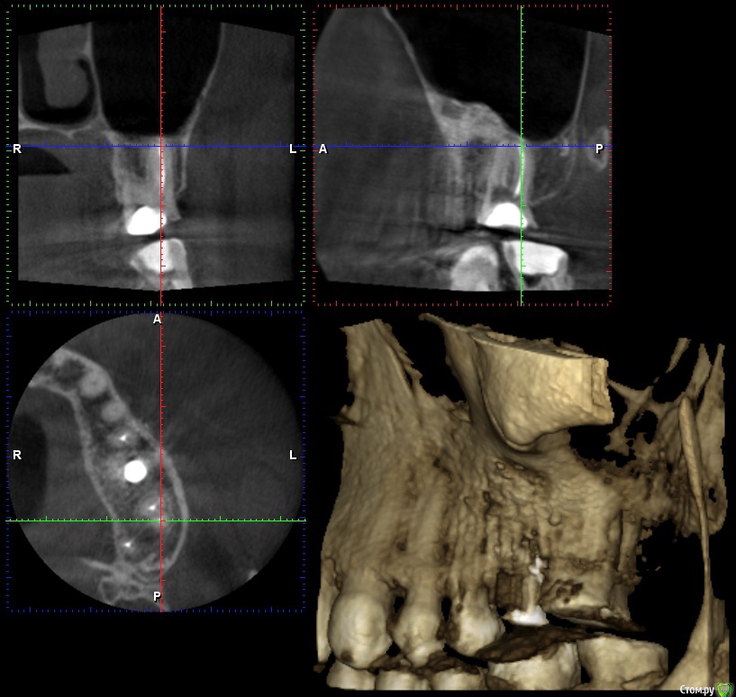
wladdX Опубликовано 26 января, 2017 Поделиться Опубликовано 26 января, 2017 (изменено) 3-й сегмент. Изменено 26 января, 2017 пользователем wladdX Ссылка на комментарий
венди Опубликовано 26 января, 2017 Автор Поделиться Опубликовано 26 января, 2017 wladdX, спасибо Вам большое! Ссылка на комментарий
венди Опубликовано 27 января, 2017 Автор Поделиться Опубликовано 27 января, 2017 (изменено) Сегодня была у невролога. Он сказал, что если стоматологи не находят причин, то нужно начинать прием легких успокаивающих средств и смотреть за динамикой.Неужели эту боль придумывает голова? У меня уже сил нету это терпеть. До лечения ведь вообще ничего не болело. Тянет-распирает-ноет-давит преимущественно снизу в районе 36 и 37 зуба. Подскажите, пожалуйста, может ли 37 зуб с перелеченной гранулемой так болеть? Может нужно еще раз вскрыть?Или это 36 где был пульпит и где утолщен корень как бы? Не хочется лезть в зубы без необходимости, но и жить с таким дискомфортом очень тяжело. Изменено 27 января, 2017 пользователем венди Ссылка на комментарий
венди Опубликовано 30 января, 2017 Автор Поделиться Опубликовано 30 января, 2017 (изменено) Уважаемые врачи, может кто-то глянет мои снимки, пожалуйста Изменено 30 января, 2017 пользователем венди Ссылка на комментарий
St. Опубликовано 30 января, 2017 Поделиться Опубликовано 30 января, 2017 Здесь в том то и сложности что по снимкам ничего критично плохо, что могло бы вызвать такие симптомы не видно Ссылка на комментарий
венди Опубликовано 30 января, 2017 Автор Поделиться Опубликовано 30 января, 2017 (изменено) Здесь в том то и сложности что по снимкам ничего критично плохо, что могло бы вызвать такие симптомы не видноСпасибо, что уделили внимание? И что в таких неопознанных случаях делают обычно?Очень хочется, чтобы не было этого дискомфорта всё время. Изменено 30 января, 2017 пользователем венди Ссылка на комментарий
red_butler Опубликовано 30 января, 2017 Поделиться Опубликовано 30 января, 2017 Спасибо, что уделили внимание? И что в таких неопознанных случаях делают обычно? Очень хочется, чтобы не было этого дискомфорта всё время. начните с этого... Сегодня была у невролога. Он сказал, что если стоматологи не находят причин, то нужно начинать прием легких успокаивающих средств и смотреть за динамикой. Ссылка на комментарий
inSight Опубликовано 12 февраля, 2017 Поделиться Опубликовано 12 февраля, 2017 Помогите, пожалуйста, разобраться. На что бить, если по снимками как бы все хорошо?! Имплант, 36, 37, сустав?? Все началось с раскрытия имланта. До этого я жила обычной жизнью.Здравствуйте! 36,37 в пределах нормы, как на данный момент у Вас дела, самочувствие? Что и имплантатом? Ссылка на комментарий
венди Опубликовано 12 февраля, 2017 Автор Поделиться Опубликовано 12 февраля, 2017 (изменено) Здравствуйте! 36,37 в пределах нормы, как на данный момент у Вас дела, самочувствие? Что и имплантатом?Добрый день! Спасибо Вам за внимание. Всё по-прежнему. 3,5 месяца абсолютнейшего дискомфорта, который ухудшил качество жизни, т.е. я живу в ожидании, когда же я проснусь среди ночи или встану утром и мне не будет ныть слева. Имплант сидит в десне, после снятия формирователя десна полностью снова заросла. Пью безрецептурные успокоительные, но на характер болей это не влияет. Я жила обычной жизнью до этих одновременных стом. вмешательств и никакие таблетки мне были не нужны. Что и почему так произошло - непонятно. Но это точно никакая не психосоматика и т.д. Есть какая-то причина, вопрос как ее найти, чтобы не сделать хуже... Я не могу точно дифференцировать боль. Может ли 36 зуб так ныть и распирать из-за выведенного материала за верхушку корня? И если предположить, что это идёт от импланта, с раскрытия которого всё и началось - то, что там может болеть теоретически? И может ли быть дисфункция ВНЧС в такой форме - без болей при открывании, без щелчков и хруста? Доктор, посоветуйте, пожалуйста, тактику действий! Нужно снова раскрывать имплант как-то. Смысл, если он с мая у меня в челюсти стоит, уже прижился давно, а нагрузку не получает. Там уже скоро, что подсыпали на синус-лифтинге, начнет рассасываться. Но как его раскрывать, когда откуда-то идёт давяще-ноющее-распирающее ощущение? Или раскрывать, ставить опять формирователь и смотреть по ситуации? Спасибо. Изменено 12 февраля, 2017 пользователем венди Ссылка на комментарий
inSight Опубликовано 12 февраля, 2017 Поделиться Опубликовано 12 февраля, 2017 смотреть за динамикой. Неужели эту боль придумывает голова? У меня уже сил нету это терпеть. До лечения ведь вообще ничего не болело. Тянет-распирает-ноет-давит преимущественно снизу в районе 36 и 37 зуба. Но как его раскрывать, когда откуда-то идёт давяще-ноющее-распирающее ощущение? я затрудняюсь ответить, не нравится мне ваш 27 зуб смотрю кт и вот не пойму толь пропущенная анатомия. Нужна помощь более опытных. Ссылка на комментарий
венди Опубликовано 13 февраля, 2017 Автор Поделиться Опубликовано 13 февраля, 2017 пропущенная анатомия - это канал пропущенный? Ссылка на комментарий
inSight Опубликовано 14 февраля, 2017 Поделиться Опубликовано 14 февраля, 2017 Вродеб нормально. Апну тему. http://s011.radikal.ru/i315/1702/ce/2415863cdd83t.jpg http://s42.radikal.ru/i096/1702/76/855feb5eec66t.jpg http://s019.radikal.ru/i639/1702/15/7b20e47e5e0dt.jpg http://i062.radikal.ru/1702/b5/957a4094f4bet.jpg Ссылка на комментарий
венди Опубликовано 27 февраля, 2017 Автор Поделиться Опубликовано 27 февраля, 2017 (изменено) Добрый день! Наверное, мой вопрос сейчас больше для раздела Хирургии. Но не знаю создавать ли новую тему, поэтому пишу здесь. Если нужно - перенесу. Напомню, что перед Новым годом был выкручен ФДМ, т.к. не проходило какое-то воспаление и очень сильный дискомфорт. Десна после выкручивания постепенно затянулась. Оставалось малюсенькое отверстие - через него хирург засовывал что-то острое и проверял имплант месяц назад, когда я ходила на осмотр. Пару дней назад появилась болезненность, когда кушала на левую сторону именно в области десны, где имплант. А на выходных образовался какой-то прыщик. Фото прилагаю.Сегодня ватной палочкой, смоченной в хлоргексидине его потрогала - выделилась капелька жёлтого цвета и он сильно сдулся. Что это может быть? Слизистая так выросла? Изменено 27 февраля, 2017 пользователем венди Ссылка на комментарий
Рекомендуемые сообщения
Для публикации сообщений создайте учётную запись или авторизуйтесь
Вы должны быть пользователем, чтобы оставить комментарий
Создать аккаунт
Зарегистрируйте новый аккаунт в нашем сообществе. Это очень просто!
Регистрация нового пользователяВойти
Уже есть аккаунт? Войти в систему.
Войти