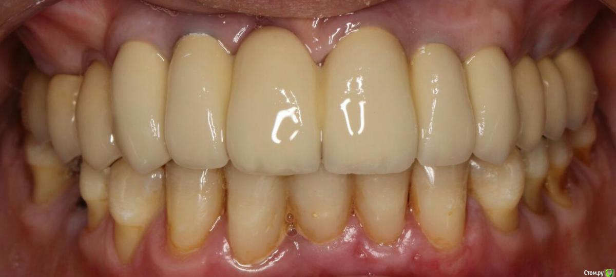
Эльмира Халимовна Опубликовано 23 января, 2017 Поделиться Опубликовано 23 января, 2017 Здравствуйте! Мне изготовили мост на имплантах, сначала врач сказал, что цвет будет А2, потом решил, что лучше А3. Нужен ваш совет, какой цвет лучше? Нижние зубы никакие, в скором будущем придется наверное ставить импланты и мост на всю нижнюю челюсть. Поэтому я сомневаюсь, стоит ли отталкиваться от цвета нижних передних (шинированных) зубов, которых в лучшем случае хватит лет на пять Ссылка на комментарий
Эльмира Халимовна Опубликовано 23 января, 2017 Автор Поделиться Опубликовано 23 января, 2017 (изменено) Это фото на "примерке") Изменено 23 января, 2017 пользователем Эльмира Халимовна Ссылка на комментарий
dok1 Опубликовано 23 января, 2017 Поделиться Опубликовано 23 января, 2017 Ну уж цвет обоев-то лучше самим выбирать. Как ва хочется - так и надо делать. Тем более низ скоро на переборку. Цвет - личное дело каждого на мой взгляд. 2 Ссылка на комментарий
Эльмира Халимовна Опубликовано 24 января, 2017 Автор Поделиться Опубликовано 24 января, 2017 Ну уж цвет обоев-то лучше самим выбирать. Как ва хочется - так и надо делать. Тем более низ скоро на переборку. Цвет - личное дело каждого на мой взгляд.Спасибо за совет и за позитив))) Ссылка на комментарий
M@estro Опубликовано 28 января, 2017 Поделиться Опубликовано 28 января, 2017 Делайте как нравится ) Мне нравится тот цвет, который получился Ссылка на комментарий
Рекомендуемые сообщения
Для публикации сообщений создайте учётную запись или авторизуйтесь
Вы должны быть пользователем, чтобы оставить комментарий
Создать аккаунт
Зарегистрируйте новый аккаунт в нашем сообществе. Это очень просто!
Регистрация нового пользователяВойти
Уже есть аккаунт? Войти в систему.
Войти