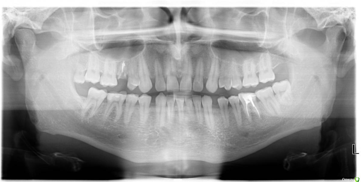
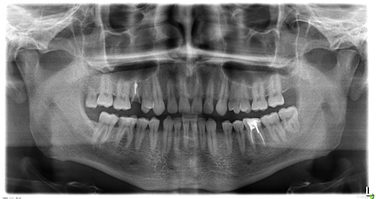
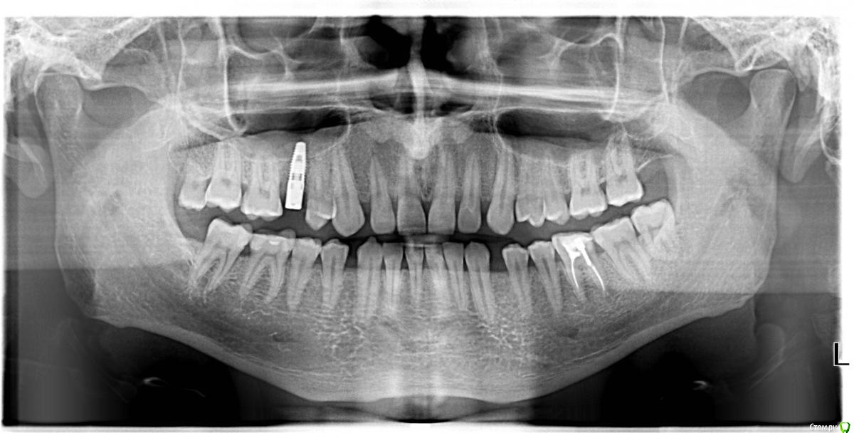
akudja Опубликовано 11 января, 2017 Поделиться Опубликовано 11 января, 2017 (изменено) Доброго времени суток.Интересует другое мнение по ситуации с зубами, есть три ортопантомограммы сделанные в разный промежуток времени:04.04.2014 14.06.2016 11.01.2017 1. Кто либо видит где нибудь кисту по этим снимкам?2. Действительно ли каналы 36го зуба (правый нижний ряд по снимку, 6ой зуб) недопломбирован/ы?3. Наиболее оптимальное решение для указанного в вопросе № 2 зуба - доделка и установка коронки или удаление с последующей имплантацией?4. 18й зуб (левый верхний ряд, последний зуб) есть ли необходимость в его удалении при условии, что он здоров, соседние зубы не трогает и им не мешает, владельцу зуба также никаких неудобств не доставляет? Так как будучи пациентом удостовериться в достоверности диагноза врача нет возможности, остается уповать на его добросовестность, но хотелось бы иметь разностороннюю точку зрения. Заранее благодарю за ответы. Изменено 11 января, 2017 пользователем akudja Ссылка на комментарий
dok1 Опубликовано 11 января, 2017 Поделиться Опубликовано 11 января, 2017 Верно всё. Почему недоверие к своему врачу? Ссылка на комментарий
akudja Опубликовано 11 января, 2017 Автор Поделиться Опубликовано 11 января, 2017 (изменено) Верно всё. Почему недоверие к своему врачу?Спасибо за ответ, только могли бы дать комментарии на указанные вопросы, пожалуйста?Недоверия к текущему врачу нет, просто когда сталкиваются два врачебных мнения, где одно идет в разрез с другим, хочется понять где же подвох. Изменено 11 января, 2017 пользователем akudja Ссылка на комментарий
dok1 Опубликовано 12 января, 2017 Поделиться Опубликовано 12 января, 2017 На все вопросы - всё верно. Коментарии спросите у своего врача. Ссылка на комментарий
dok1 Опубликовано 12 января, 2017 Поделиться Опубликовано 12 января, 2017 Вы же не написали - о каких моментах разногласия. Ссылка на комментарий
akudja Опубликовано 12 января, 2017 Автор Поделиться Опубликовано 12 января, 2017 На все вопросы - всё верно. Коментарии спросите у своего врача.Вы уж простите, но на альтернативный вопрос нельзя ответить ДА или НЕТ или ВСЕ ВЕРНО - как например: "Ты будешь говядину или рыбу?", ответ "да, все верно"?!?!?! Как собственно и на вопрос № 1 Поэтому Ваш ответ ровным счетом не сдвинул меня с изначальной точки. Ссылка на комментарий
red_butler Опубликовано 12 января, 2017 Поделиться Опубликовано 12 января, 2017 1. Кто либо видит где нибудь кисту по этим снимкам? для постановки данного диагноза требуется гистологическое исследование. 2. Действительно ли каналы 36го зуба (правый нижний ряд по снимку, 6ой зуб) недопломбирован/ы? да 3. Наиболее оптимальное решение для указанного в вопросе № 2 зуба - доделка и установка коронки или удаление с последующей имплантацией? Для ответа нужен очный осмотр 4. 18й зуб (левый верхний ряд, последний зуб) есть ли необходимость в его удалении при условии, что он здоров, соседние зубы не трогает и им не мешает, владельцу зуба также никаких неудобств не доставляет? удаляйте, зуб лишен антагониста, выдвинулся и поражен кариесом. 1 Ссылка на комментарий
akudja Опубликовано 13 января, 2017 Автор Поделиться Опубликовано 13 января, 2017 Тему можно закрывать Ссылка на комментарий
Рекомендуемые сообщения