Surk Опубликовано 11 января, 2017 Поделиться Опубликовано 11 января, 2017 (изменено) Просьба помочь разобраться в следующей ситуации:Мне 45 лет. Сломалась коронковая часть на нижних резцах, обратился с просьбой о реставрации в районную поликлинику. Доктор не смогла пройти каналы. Как я понял из её беседы с другим врачом, дентикул в канале и корни (или каналы) тонкие. Вобщем, не пройдя канал, не получится сделать культевую вкладку, - не сделав культевую вкладку, не получится восстановить зубы. Предложили удаление и мост, с опорой на клыки. Я отказался и обратился в частную (платную) клинику. С трудом, но доктор смогла там пройти каналы (аккурат до апекса) и изготовить-установить вкладки и коронки. Попутно удалили левую-нижнюю еденицу (не в ряду распологалась). Короче, нижние резцы теперь в норме. Но доктор из частной клиники, узнав что я ношу свои штампованные коронки уже 9 лет предложила сделать ОПТГ (которое выкладываю). По результатам этого снимка теперь уже сделано следующее: сняты два больших моста на верхней челюсти справа 1-2-3-4-5 (4-отсутствующий зуб) и слева 1-2-3-4-5 (2-отсутствующий зуб) и пролечены (депульпированы) правый 5, левый 3. Перелечена 4 слева, также перелечены с культевой вкладкой 1 и 5 слева (5-ка пока в работе, под временной пломбой, там сильно разрушена коронка, под вопросом в общем - но надеюсь). На левой верхней 6 - также снята штампованая коронка и зуб (ранее леченый резорцин-формалином) перелечен с культевой вкладкой. На все упомянутые зубы одеты литые коронки ( фронтальные - вестибулярно покрыты керамикой). Также лечили дёсны (лазер, уколы линкомицин) - результат, ИМХО, прекрасный. Интересуют на данный момент правые 7 и 8 (6-отсутствует). Там продолжают стоять штампованные коронки, не протёрты, зубы эти не беспокоят. Нужно ли им что-нибудь делать ? Дело в том, что на данный момент кончились денежки (и до мая месяца точно не будет), а предстоит ещё разбираться с нижней челюстью (как минимум правый 5 и левый 8). Наверное согласился бы на имплантацию на нижней челюсти, да вот беда - курильщик (пачка сигарет на два дня примерно). На данный момент вместо моляров нижней челюсти работает бюгельный протез, который тоже нуждается в замене (если не импланты). Заранее благодарен всем, кто сможет высказать свое профессиональное мнение по поводу моей "тихой катастрофы"PS. прошу прощения за "много букв" - хотелось, по-возможности, подробнее... Изменено 11 января, 2017 пользователем Surk Ссылка на комментарий
red_butler Опубликовано 11 января, 2017 Поделиться Опубликовано 11 января, 2017 покажите актуальный панорамный снимок (после лечения) 1 Ссылка на комментарий
Surk Опубликовано 11 января, 2017 Автор Поделиться Опубликовано 11 января, 2017 Хорошо. Следующая встреча с доктором будет - попрошу направить меня на ОПТГ. Ну или сам, платно..... Ссылка на комментарий
Surk Опубликовано 22 января, 2017 Автор Поделиться Опубликовано 22 января, 2017 Не получилось сохранить верхне-левую пятёрку (25 надо называть если не ошибаюсь...). Оказался разрушенным ниже уровня десны значительно. Удалили 4 суток назад. Сегодня лунка по прежнему болит (не так чтобы сильно очень, но в голову отдаёт, особенно если наклониться или напрячся). Температуры нету, рот раскрывается. Но кажется что лунка очень глубокая.... Подскажите, не должна ли, в норме, лунка заполнится кровяным сгустком до краёв десны ? Может уже "сухая лунка " ?Раньше мне удаляли зубы (в т. ч. дистопированную восьмёрку) - всё равно на другой день боль почти совсем стихала.PS Фотографию прилагаю (правда не особо качественная) . Плановый визит к доктору в ближайший четверг - и что-то я очкую.... Ссылка на комментарий
red_butler Опубликовано 22 января, 2017 Поделиться Опубликовано 22 января, 2017 на фото ничего не разобрать. Покажитесь врачу до четверга. Ссылка на комментарий
Surk Опубликовано 23 января, 2017 Автор Поделиться Опубликовано 23 января, 2017 Сегодня побывал на приёме у доктора. Он сказал, что нет ничего страшного, часть сгустка размылась и вышла, оставшаяся часть инфицирована (черного цвета). Промыли хлоргексидином, пустили новую кровь (я так понял - кюретажку простил у ассистентки), и спросив, нет ли аллергии на йод, - положили в рану какую-то губку, которую доставать не надо (сама рассосётся). На приём через 3 дня. Все эти процедуры под анестезией. При этом доктор сказал рот не полоскать, ванночки никакие не делать, кушать на здоровую сторону, зубы по прежнему чистить (в окрестности лунки осторожно). А как чистить, если пасту потом нужно выполаскивать, а полоскать нельзя ? надо было у него спросить, но от анестезии был как пьяный, соображал плохо.... не подскажете ? Ссылка на комментарий
red_butler Опубликовано 23 января, 2017 Поделиться Опубликовано 23 января, 2017 А как чистить, если пасту потом нужно выполаскивать, а полоскать нельзя ? не полоскать, это значит не набирать в рот, ядерных растворов, типа спирт, марганцовка, фурацилин и тд и не устраивать "стиральную машину" во рту. Аккуратно споласкивать водой после еды и чистки зубов , можно. Ссылка на комментарий
Surk Опубликовано 23 января, 2017 Автор Поделиться Опубликовано 23 января, 2017 ясно, спасибо. Значит буду потихонечку, как бы набрал воды - подержал во рту - выплюнул. Ссылка на комментарий
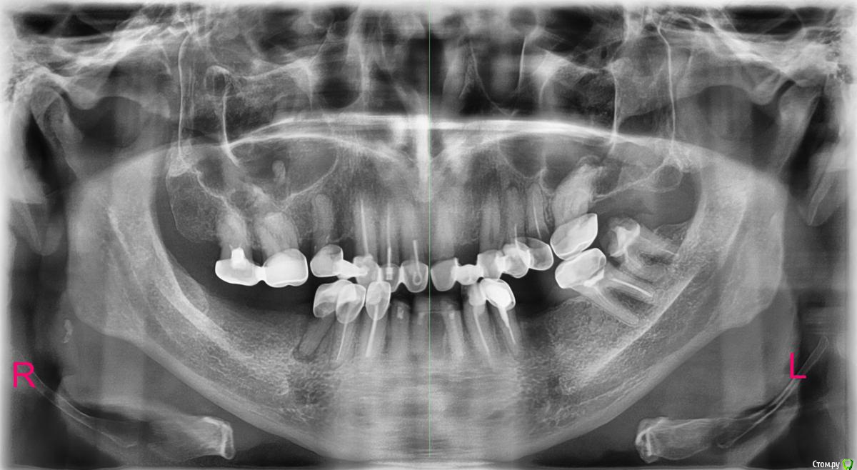
Surk Опубликовано 26 января, 2017 Автор Поделиться Опубликовано 26 января, 2017 Сегодня был на приёме, лунка после удаления 25 зуба признана удовлетворительной. Заживает.Сделал новую ОПТГ, поскольку лечение верхней челюсти считается законченным. Хотелось бы знать ваше мнение о состоянии 17 и 18 зубов (они под штампованными старыми коронками и их не трогали), ну и в целом оцените качество лечения. Также буду благодарен за ценные замечания по поводу предстоящего лечения с последующим протезированием нижней челюсти.P.S. Доктору вполне доверяю, но как говорится, "доверьяй, но провэрьяй"Вот снимок: http://s020.radikal.ru/i706/1701/58/ddf2bae2ccef.jpg 1 Ссылка на комментарий
Surk Опубликовано 29 января, 2017 Автор Поделиться Опубликовано 29 января, 2017 и ещё маленький вопрос:рекомендовано полоскать место удаления 25 зуба хлоргексидином. В аптеке есть хлоргексидина биглюконат 0,05 %. Он подойдёт ? Ссылка на комментарий
shishok Опубликовано 29 января, 2017 Поделиться Опубликовано 29 января, 2017 Да,подойдет. Ссылка на комментарий
Рекомендуемые сообщения
Для публикации сообщений создайте учётную запись или авторизуйтесь
Вы должны быть пользователем, чтобы оставить комментарий
Создать аккаунт
Зарегистрируйте новый аккаунт в нашем сообществе. Это очень просто!
Регистрация нового пользователяВойти
Уже есть аккаунт? Войти в систему.
Войти