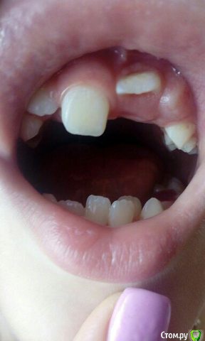
Dok22 Опубликовано 7 февраля, 2017 Поделиться Опубликовано 7 февраля, 2017 Ростковая зона очень похожа но оболочку радикулярной кисты,опилки в ране остаются после препарирования кости и зуба.Не бойтесь рана очень быстро закроется. Ссылка на комментарий
Dok22 Опубликовано 9 февраля, 2017 Поделиться Опубликовано 9 февраля, 2017 Растет. Ссылка на комментарий
Рекомендуемые сообщения
Для публикации сообщений создайте учётную запись или авторизуйтесь
Вы должны быть пользователем, чтобы оставить комментарий
Создать аккаунт
Зарегистрируйте новый аккаунт в нашем сообществе. Это очень просто!
Регистрация нового пользователяВойти
Уже есть аккаунт? Войти в систему.
Войти