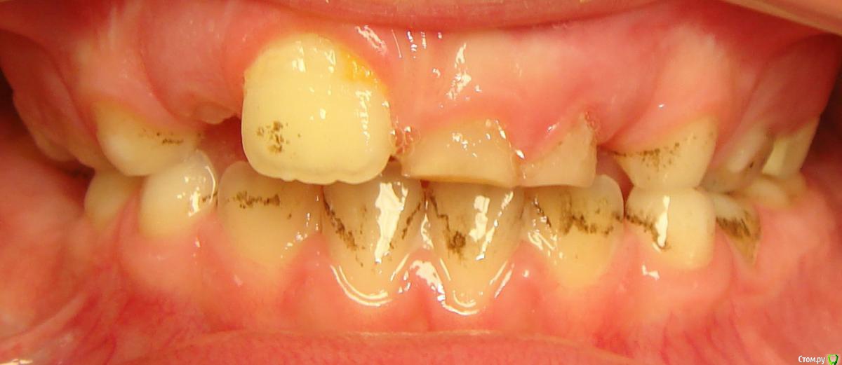
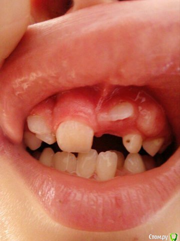
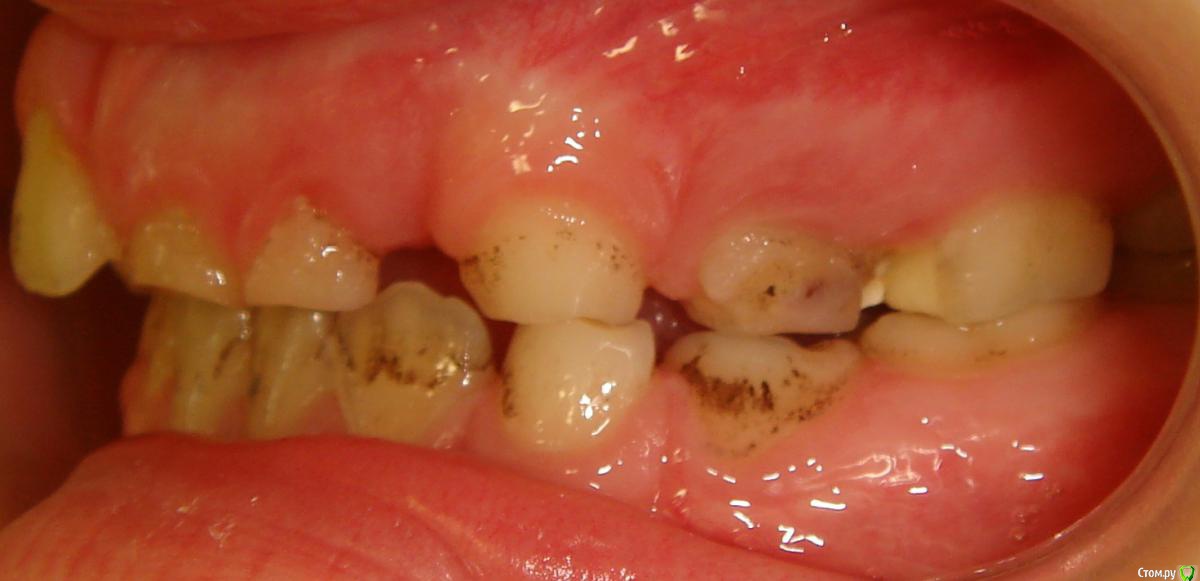
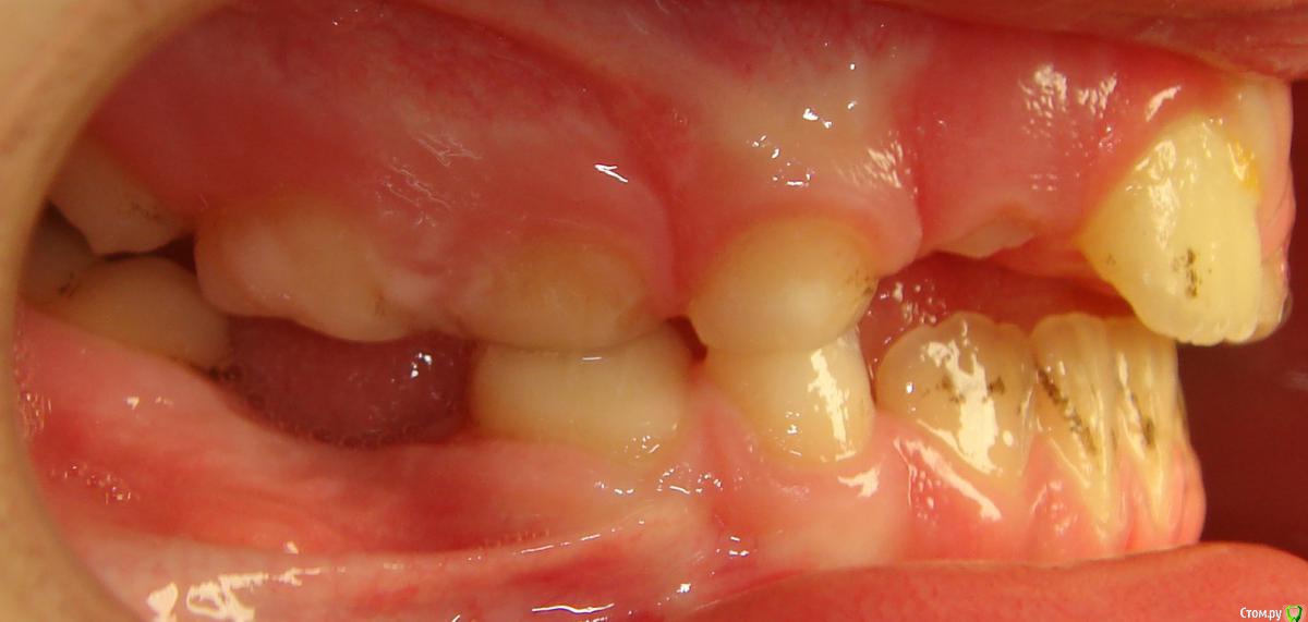
Opdihatop Опубликовано 9 января, 2017 Поделиться Опубликовано 9 января, 2017 Здравствуйте, коллеги! Хотел бы узнать ваше мнение по пациентке. Девочке 7 лет. План лечения в общем мне ясен и понятен. Меня интересует вопрос, когда лучше в данном случае убирать сверхкомплектный премоляр в области 21 зуба, потому что он начал двигать ц.л. вправо. Заранее спасибо! Ссылка на комментарий
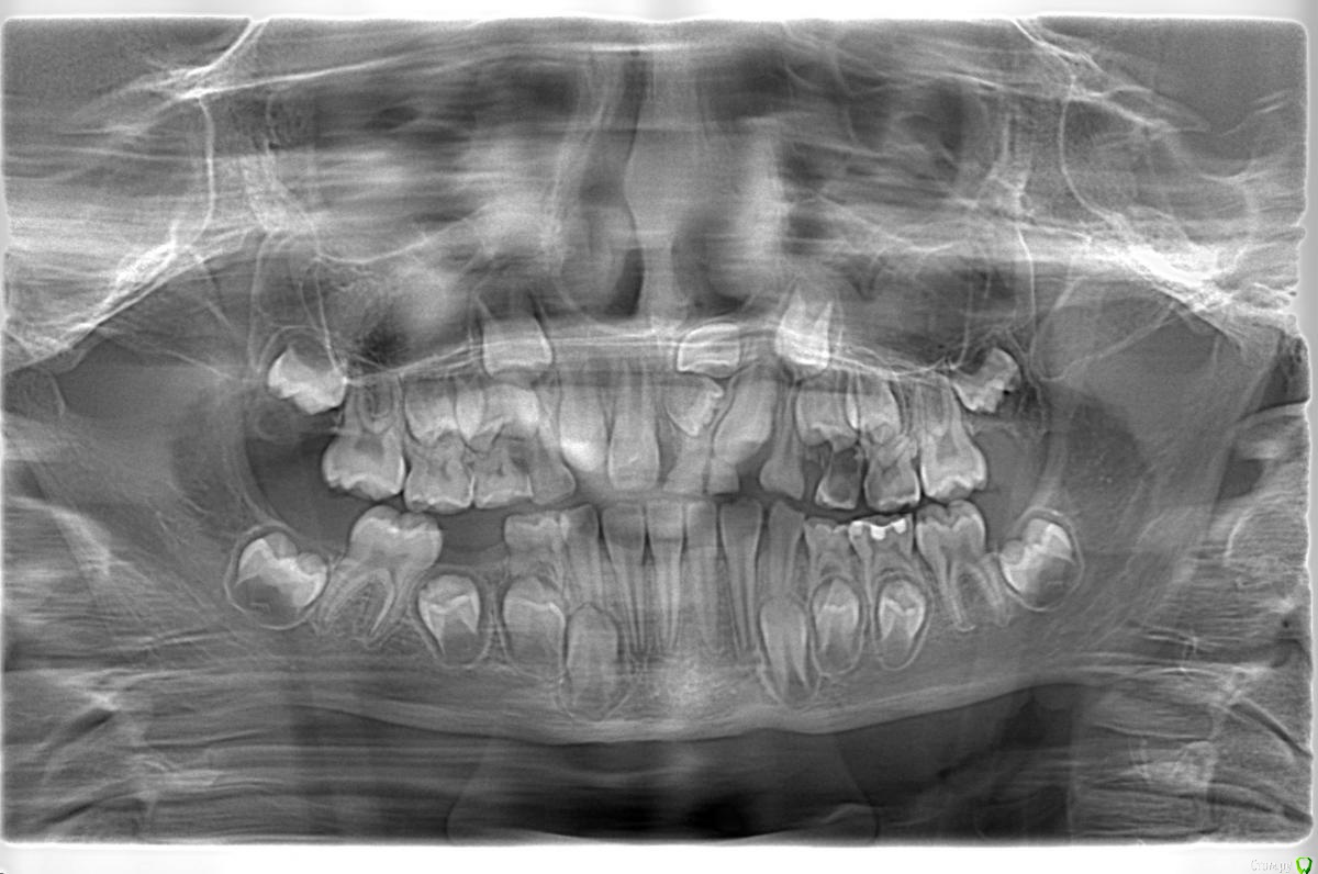
Dok22 Опубликовано 11 января, 2017 Поделиться Опубликовано 11 января, 2017 Это не премоляр просто так виден 2-х мерный срез нужно КТ его грамотная интерпретация и хороший хирург.Сверхкомплектный удалять надо он блокирует 21 и 22. Ссылка на комментарий
Opdihatop Опубликовано 12 января, 2017 Автор Поделиться Опубликовано 12 января, 2017 Ну, во-первых: премоляр, или нет - неважно, на что похоже - так и назвал. :-)А во-вторых: Я и не сомневаюсь, что надо удалять, вопрос был когда: сейчас или позже (девочке все же 8 лет)? Ссылка на комментарий
Давлетшин Опубликовано 12 января, 2017 Поделиться Опубликовано 12 января, 2017 (изменено) С позиции детского амбулаторного хирурга-стоматолога я не трогал бы до окончания формирования корней, а 61, 62 убрал бы. Просто не лез, и не лезу. Да возможно есть есть очень хорошие хирурги с седацией и т.п. пусть они (он, она) решает. Из личного опыта у ребенка сверхкомплектный мешал прорезыванию 21 в семь лет, я все обьяснил сказал:" давайте ждать". Родители понимающе сказали:" давайте", и пошли снова к ортодонту, та в свою очередь отправила к своему "крутому" хирургу. Соответственно сверхкомплектный был удален (сверхкомлектный не прорезался) а у 21 сформирована была только коронка. Через три года, в 10 лет пришли снова, и у меня спрашивают:" где зуб"? Я направил на R-грамму, где увидел что коронка 21 "плавает" в очаге разряжения костной ткани размером 1.5*1.5 см. слизистая была в норме. Об"яснил, рассказал, показал риски для 11 и 22 зуба. и не сформированный 21 был удален. Причем после разреза слизистой и надкостницы с небной стороны сам выпал из полости "кисты". Не знаю где были ошибки. может мне надо было проявить эмоции и внушить что не надо удалять. Не знаю каков был ход операции, задели не задели ростковую зону 21 зуба, нарушили что нибудь не нарушили. Факт что ребенок остался без переднего зуба. Хорошо, мне хватило ума не лезть туда. Может ошибка родителей что не успокоились, и начали панику проявлять. Хирурга в той частной уже не было, наверно импланты крутит. Причем в разделе детская стоматология - есть мой фотоотчет по одонтоме. Т е если нет рисков повредить зачаток (зону роста корня)я лезу. Надо взвесить риски, сейчас что то делать, или же в 10-12 лет вытаскивать 21,22 зубы после формирования корней. Хорошо будет если срезы КТ добавите трансверсали. Даст Бог доучусь в орде на ортодонта, и начав работать ортодонтом думаю не изменю мнения при этом случае, зная работу детского хирурга. Снимков, КТ предоставить не могу потому, что шороха много было, оформления, переписывания карточки много было. Естественно когда я консультировал я все на словах говорил, через три года и не вспомнить. Ортодонт ни при чем, я типа не отправляла, они сами. Они кричали что именно ортодонт именно к определенному хирургу отправила, хирурга там уже давно и нет, и контора поменяла название. Кароч заведующая карточку под три замка в сейф свой убрала.Извините если много букв. Изменено 12 января, 2017 пользователем Давлетшин 1 Ссылка на комментарий
Dok22 Опубликовано 12 января, 2017 Поделиться Опубликовано 12 января, 2017 С одной стороны вы правы риск повредить 21 22 есть,но если сверхкомплектный 21 сформируется полностью все будет сложнее сейчас при наличии грамотного КТ и хирурга зачаток сверхкомплектного 21 убрать проще.Убирал подобное в 6 и 9 лет в 9 сложнее. Попробую найти КТ выложить. Ссылка на комментарий
Opdihatop Опубликовано 12 января, 2017 Автор Поделиться Опубликовано 12 января, 2017 Было бы крайне интересно! Ссылка на комментарий
Yana guapa Опубликовано 13 января, 2017 Поделиться Опубликовано 13 января, 2017 убрать молочный ц. резец. подождать 6-8 месяцев хотя бы (лучше год) - все ростковые зоны уже значительно выше будут, хирург не задет уже.сделать КТ. и удалить сверхкомплектный. Дать возможность опуститься ц. резцу.сильно долго ждать (до полного формирования корней) не вижу смысла. Очень похожа ситуация была у моей девочки (такое же расположение). - очень долго не хотел ц. резец спускаться. Райц-терапия в помощь)) вышел)) Ссылка на комментарий
Opdihatop Опубликовано 13 января, 2017 Автор Поделиться Опубликовано 13 января, 2017 А что вы для райцтерапии в данном случае использовали? Ссылка на комментарий
ccenter Опубликовано 14 января, 2017 Поделиться Опубликовано 14 января, 2017 здравствуйте Яна извините что в чужой ветке Скажите пожалуйста когда Вы удаляете сверхкомплектные если они не мешают прорезыванию?В моем случае два разнонаправленных клыка по срединному шву Спасибо Ссылка на комментарий
Dok22 Опубликовано 16 января, 2017 Поделиться Опубликовано 16 января, 2017 убрать молочный ц. резец. 21? Ссылка на комментарий
Brigita Опубликовано 16 января, 2017 Поделиться Опубликовано 16 января, 2017 21? 61 Ссылка на комментарий
Yana guapa Опубликовано 16 января, 2017 Поделиться Опубликовано 16 января, 2017 21? 61 . и 62 можно, у него все равно корень рассосался уже )) Ссылка на комментарий
Yana guapa Опубликовано 16 января, 2017 Поделиться Опубликовано 16 января, 2017 здравствуйте Яна извините что в чужой ветке Скажите пожалуйста когда Вы удаляете сверхкомплектные если они не мешают прорезыванию?В моем случае два разнонаправленных клыка по срединному шву Спасибозависит от хирурга и пациента - когда они морально готовы)) и у детей удаляем, противопоказаний нет, лишь бы хорошо сидел. 1 Ссылка на комментарий
Yana guapa Опубликовано 16 января, 2017 Поделиться Опубликовано 16 января, 2017 А что вы для райцтерапии в данном случае использовали?обычный протез с зубом (у нее 2.1 был) . активно кушать с протезом. (Прорезался месяцев черзе 7-8, очень высоко был)Бывало, что зуб годами не выходил, родители обратились к ортодонту, и после изготовления такого протеза зуб выходил от 3 дней до 1 месяца. у всех по-разному. Ссылка на комментарий
Dok22 Опубликовано 17 января, 2017 Поделиться Опубликовано 17 января, 2017 9 лет. 2 Ссылка на комментарий
Давлетшин Опубликовано 18 января, 2017 Поделиться Опубликовано 18 января, 2017 (изменено) Значит этому ребенку не "повезло". нашел описанный ранее случай. Коллеги поймите я не нагнетаю ни в коем случае, и как то чувствую себя не очень, что несколько против, а все говорят надо. Если уж скажите, что пессимист дискутировать не буду. Положа руку на сердце очень редко кто выкладывает неудачи. С возрастом ошибся сейчас ему 12, а делалось лет в 8-10. ну давно было, всего не вспомнишь. Изменено 18 января, 2017 пользователем Давлетшин 1 Ссылка на комментарий
Yana guapa Опубликовано 19 января, 2017 Поделиться Опубликовано 19 января, 2017 Спасибо за снимки и рассказанный случай! конечно, и про такие истории надо знать! отправила к своему "крутому" хирургу. Соответственно сверхкомплектный был удален возможно он оказался не так крут! потому что многое действительно зависит от специалиста. Если элементарный зуб "самый крутой хирург в самой крутой клинике" удаляет ломая все стенки.... то что тут говорить про сверхкомплектный глубоко в кости, ростковые зоны и прочее... Поэтому все таки, я за удаление через 8 мес. у хорошего ответственного хирурга. Ссылка на комментарий
Dok22 Опубликовано 19 января, 2017 Поделиться Опубликовано 19 января, 2017 Давлетшин целиком и полностью согласен с вами сверх осторожность и сверх аккуратность лучше всего сегментировать зуб в ране и по кускам выбрать.Тогда ничего не повредите. Ссылка на комментарий
Давлетшин Опубликовано 21 января, 2017 Поделиться Опубликовано 21 января, 2017 Хорошо я сломался, если будет работа в хороших условиях у хорошего ответственного хирурга, где девочка СЕМИ лет даст сегментировать зуб, и по кускам выбрать, без повреждения ростковой зоны то надо делать.Dok22 фото КТ прошлого года, скиньте фото ортодонтического лечения сейчас, и мы будем вдохновлены успехами. Просто Ваш случай редкий. Хорошо бы динамику посмотреть. Ссылка на комментарий
Dok22 Опубликовано 21 января, 2017 Поделиться Опубликовано 21 января, 2017 Это фотоаппарат врет, вмешательство от 4.01.2017. Родители получили инструкции+скайп ждем.Док не надо бояться начните с простого,кто если не мы? Делал так :1) Перед вмешательством седация.Анестезия.2) Вырезал лоскут с надкостницей, создав окно примерно 1кв.см.(чтоб не бороться с краями раны, я так и 8 убираю)3) Компактостеотомия ультразвуковым алмазом(кость мягкая режется легко ,им же режем сверхкомплектный зуб бывает вертится в ране можно фиксировать гладилкой)4) Сегментируем зуб,выбираем фрагменты(обязательно тщательно убрать ростковую капсулу сверкомлектного,обильно промыть водой.Аккуратно проконтролировать отсутствие ростковой зоны!!!)5) Рана не ушивается, только тампонада как при обычном удалении.6) Инструкции родителям(отеки,субфебрильная температура,болезненность это нормально не более суток,при болях детское) Вам нужен ассистент,тонкий кровоотсос,обычный слюноотсос,тонкий элеватор(3-4милиметра) и самое важное ТЕРПЕНИЕ.Спрашивайте. 1 Ссылка на комментарий
Dok22 Опубликовано 28 января, 2017 Поделиться Опубликовано 28 января, 2017 Процесс пошол. Ссылка на комментарий
orthophil Опубликовано 4 февраля, 2017 Поделиться Опубликовано 4 февраля, 2017 Что значит "Аккуратно проконтролировать отсутствие ростковой зоны!!!"? Ссылка на комментарий
orthophil Опубликовано 4 февраля, 2017 Поделиться Опубликовано 4 февраля, 2017 Получается рана заживает вторичным натяжением? Ссылка на комментарий
Dok22 Опубликовано 5 февраля, 2017 Поделиться Опубликовано 5 февраля, 2017 Аккуратно значит не ковырять,если оставите часть ростковой зоны есть вероятность развития фолликулярной кисты.Рана да вторичным если ушить абсцесс. Ссылка на комментарий
orthophil Опубликовано 6 февраля, 2017 Поделиться Опубликовано 6 февраля, 2017 Аккуратно значит не ковырять,если оставите часть ростковой зоны есть вероятность развития фолликулярной кисты.Рана да вторичным если ушить абсцесс.Ростковую зону можно как-то разглядеть?А абсцессу-то откуда взяться? Ссылка на комментарий
Рекомендуемые сообщения
Для публикации сообщений создайте учётную запись или авторизуйтесь
Вы должны быть пользователем, чтобы оставить комментарий
Создать аккаунт
Зарегистрируйте новый аккаунт в нашем сообществе. Это очень просто!
Регистрация нового пользователяВойти
Уже есть аккаунт? Войти в систему.
Войти