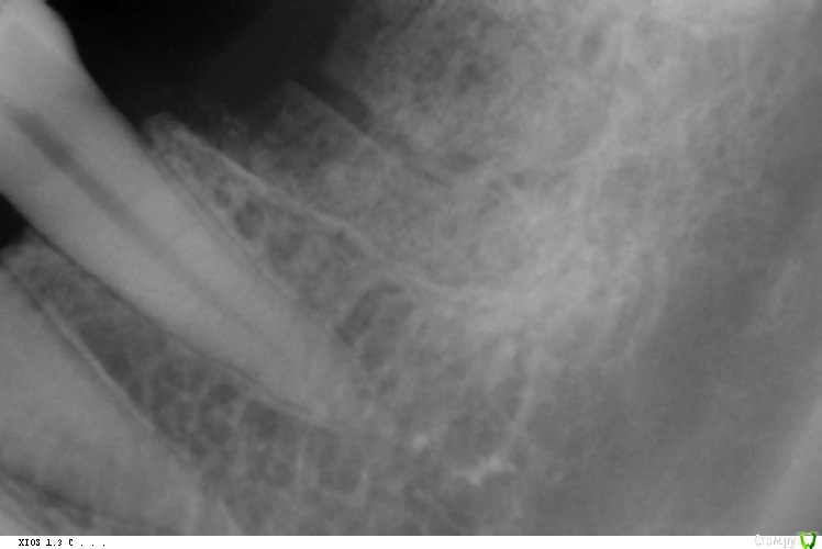
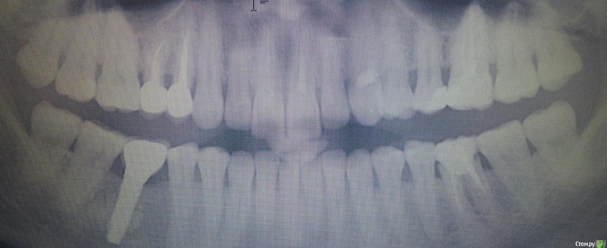
Kast Опубликовано 5 января, 2017 Поделиться Опубликовано 5 января, 2017 (изменено) Здравствуйте, уважаемые доктора! 24.12.16 я в плановом порядке удалила нижний 6-й резорциновый зуб. Прикрепленный панорамный снимок - до удаления. Зуб пришлось выламывать вместе с куском челюсти, затем хирург добавил в лунку 250мг материала био-осс коллаген и закрыл все это мембраной российского производства. Мембраны не хватало, поэтому хирург разрезал ее напополам и сшил так, что шов проходил ровно посередине лунки. 5 дней после удаления все было хорошо, пила антибиотики, мазала лунку солкосерилом, делала ванночки с хлоргексидином, на осмотр 28 декабря я не смогла прийти, но не волновалась, потому что зуб уже совсем не беспокоил. Но еще через два дня лунка начала болеть, и внутри, десна вокруг, 30го и 31го пришлось принимать обезболивание. Клиника и хирург ушли на каникулы, связаться не было возможности. 1го появилась температура 37,5 и держалась 3 дня, 2-го лунка и десна перестали болеть, периодически во рту появлялись кусочки костного материала, момент, когда разошелся шов посреди мембраны, я не отследила. 4-го показалась на приеме у хирурга, он снял швы и убрал сверху мембрану, сказал показаться через месяц. Лунка сейчас вот в таком состоянии, прицельный снимок сделан 2-го января, костный материал продолжает большими кусками отваливаться из лунки, я боюсь, что он весь вывалится и я буду ходить с открытой костью. Врач обещал, что за 100 тысяч удалит зуб и одномоментно поставит имплант, после операции выяснилось, что имплант поставить не получилось, счет только за удаление и биоматериал с мембраной составил 80 тысяч. Мембраны уже нет, биоматериала почти тоже, а теперь по результату за эти деньги у меня только огромная дыра Подскажите, пожалуйста, что-нибудь сейчас можно сделать, чтобы как-то поправить ситуацию? Или остается только ходить с дырой и ждать, пока она сама заживет?Несет ли клиника какую-либо ответственность в таких случаях? Второй день плачу, зачем я полезла удалять этот зуб, который не беспокоил больше 15 лет, только выглядел не эстетично Изменено 5 января, 2017 пользователем Kast Ссылка на комментарий
gum Опубликовано 5 января, 2017 Поделиться Опубликовано 5 января, 2017 Я бы убрал все из лунки, кюретаж, и провел бы все под 《сгустком крови》, через 3 месяца 3Д снимок и принятие решения о имплантации. К сожалению ситуации разные бывают, по ОПТГ высота кости хорошая, так что думаю все у вас будет хорошо Ссылка на комментарий
Kast Опубликовано 5 января, 2017 Автор Поделиться Опубликовано 5 января, 2017 Я бы убрал все из лунки, кюретаж, и провел бы все под 《сгустком крови》, через 3 месяца 3Д снимок и принятие решения о имплантации.К сожалению ситуации разные бывают, по ОПТГ высота кости хорошая, так что думаю все у вас будет хорошоПри удалении не было крови вообще, поэтому врач сделал такую огромную дыру. Сказал, что дальше уже расширять невозможно, там соседние зубы.Добавила фото без "мусора" в лунке, который я приняла за костный материал. Сейчас закладывать в дыру солкосерил или метрогил дента не имеет смысла? Ссылка на комментарий
колесников Опубликовано 6 января, 2017 Поделиться Опубликовано 6 января, 2017 Здравствуйте! Во первых сочувствую Вам. К сожалению это только начало длительной эпопеи заживления. Лунка инфицировала и теперь там альвеолит. Доктора не стоит винить,зуб был не подарок. На снимке видео что верхушки у него имели бутылочное расширение и периодонтальная щель не прослеживалась,все это говорит о технических сложностях при удалении. Доктор должен довести лунку до полного заживления,будьте с ним в контакте,не пропускайте визиты. Рекомендовал бы содовые ванночки дома или слабый марганцевый Р-ор,приём антибиотика ципралет -а или трихопола,аппликации метроном-Дента. Эти рекомендации лучше обсудить с Вашим лечащим врачом. Ссылка на комментарий
gum Опубликовано 6 января, 2017 Поделиться Опубликовано 6 января, 2017 Идите к вашему врачу, не стоит ждать. Ссылка на комментарий
Kast Опубликовано 6 января, 2017 Автор Поделиться Опубликовано 6 января, 2017 Может быть я непонятно описала ситуацию, но я была у своего врача вчера и он сказал приходить через месяц. Посоветуйте, пожалуйста, хирурга в Москве, который сможет взяться за это. Ссылка на комментарий
Kast Опубликовано 6 января, 2017 Автор Поделиться Опубликовано 6 января, 2017 Лунка инфицировала и теперь там альвеолит. Доктора не стоит винить,зуб был не подарок. На снимке видео что верхушки у него имели бутылочное расширение и периодонтальная щель не прослеживалась,все это говорит о технических сложностях при удалении. Как сказал мой врач перед удалением, что это для хреновых хирургов сложный зуб, а он сделает все быстро и качественно. Я не думала, что люди могут быть так самоуверенны на пустом месте. Я могла бы пойти в бесплатную стоматологию рядом с домом и получить то же самое. Теперь у меня нет денег на хорошего врача, мне придется брать кредит. Ссылка на комментарий
IvanK Опубликовано 6 января, 2017 Поделиться Опубликовано 6 января, 2017 осложнений нет только у тех, кто не работает Обратитесь к Вашему Врачу, обычно , все делается по гарантии 1 Ссылка на комментарий
Kast Опубликовано 6 января, 2017 Автор Поделиться Опубликовано 6 января, 2017 осложнений нет только у тех, кто не работает Обратитесь к Вашему Врачу, обычно , все делается по гарантииА какие действия должен сделать хирург в моем случае? Он вчера прописал полоскать рот хлоргексидином смешанным напополам с перекисью водорода и смазывать лунку солкосерилом, приходить через месяц. Сказал, что воспаления в лунке нет. Я в интернете прочитала, что перекись водорода может привести к альвеолиту, поэтому пока только хлоргексидином полоскаю. Можно ли ее как-то обработать и зашить? С дырой жить страшно. Ссылка на комментарий
Доктор Добрых Дел Опубликовано 6 января, 2017 Поделиться Опубликовано 6 января, 2017 Ничего зашивать не надо. Само все заростет. Нужно время и наблюдение. Все что могло высыпаться из лунки уже высыпалось, что осталось приростет ( если не нагноилось) через 1 мес. дыра заростет десной. Перекись не к чему. Хлоргексидин после еды. Все будет хорошо. Удаления бывают и по сложнее. Ссылка на комментарий
колесников Опубликовано 6 января, 2017 Поделиться Опубликовано 6 января, 2017 Перекись это неплохо. В лунке сейчас бактерии которые живут в безкислородной и кислой среде,кислород и щелочь для них губительны. Перекисью не удобно полоскать самостоятельно,полный рот пены будет,полощите лучше не крепким Р-ром марганцовки. В крайнем случае просто Р-ром соды. От хлоргексидина будет мало толку. Солкосерилом замазывайте перед едой,чтобы пища не забивалась в лунку. Вопросы ценообразования на форуме не обсуждаются,вам лучше в клинику обратиться по этому поводу. Ссылка на комментарий
Kast Опубликовано 6 января, 2017 Автор Поделиться Опубликовано 6 января, 2017 Я сходила сегодня в свою клинику к главному врачу, мне подтвердили альвеолит и сказали, что деньги не вернут, т.к. я не пришла на прием 28.12.16. В этот день, хоть я и не чувствовала, но швы уже разошлись или собирались. По словам главного врача швы расходятся в первые 3 дня после операции. Подскажите, насколько частое явление - расхождение швов, которыми пришивают мембрану? Может это была некачественная мембрана? Ссылка на комментарий
Bier Опубликовано 6 января, 2017 Поделиться Опубликовано 6 января, 2017 просите переделку бесплатную, а не возврат денег. Осложнения у всех бывают. 1 Ссылка на комментарий
Kast Опубликовано 25 февраля, 2017 Автор Поделиться Опубликовано 25 февраля, 2017 Если кому-то интересно, как решилась моя ситуация с клиникой, рассказываю: генеральный директор оказался адекватным и предложил на выбор или бесплатную имплантацию у другого врача клиники, или вернуть 55 тыс руб из потраченных мной 80ти. Я взяла деньги В договоре с клиникой написано, что если пациент не является на прием, то они ответственности не несут. В общем, повезло мне. Спасибо большое всем за поддержку! 3 Ссылка на комментарий
Рекомендуемые сообщения
Для публикации сообщений создайте учётную запись или авторизуйтесь
Вы должны быть пользователем, чтобы оставить комментарий
Создать аккаунт
Зарегистрируйте новый аккаунт в нашем сообществе. Это очень просто!
Регистрация нового пользователяВойти
Уже есть аккаунт? Войти в систему.
Войти