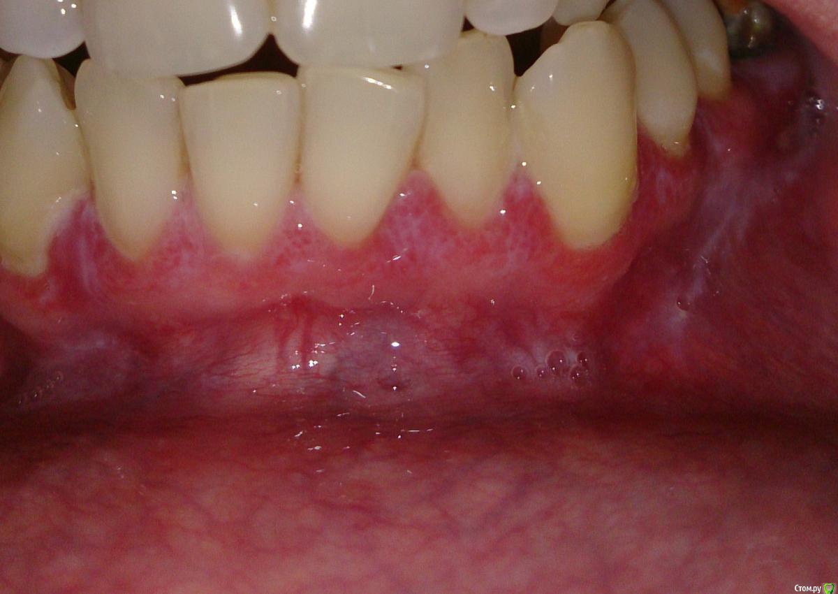
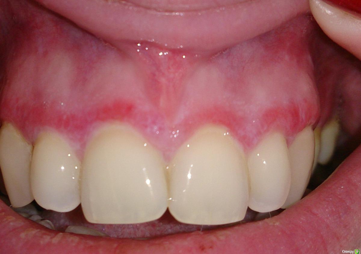
Милanora Опубликовано 4 января, 2017 Поделиться Опубликовано 4 января, 2017 Добрый день! Помогите пожалуйста, не знаю что уже и думать. Проходила лечение у стоматолога и парадонтолога, врачи в один голос говорят, что у меня классический КПЛ и если меня он не беспокоит, то лечить его и не нужно. Десны иногда побаливают, но язвочек нет. Решила еще для очистки совести сходить к дерматологу. Сделала мазки на грибок, отрицательно. Врач дерматолог сказала, что лечением слизистой стоматологи занимаются, но согласилась посмотреть. КПЛ отменила, сказала, что если он есть на слизистой рта, то и на теле обязательно должен быть. У меня нет никаких высыпаний на теле. Поставила лейкоплакию, на мой вопрос, от чего она вообще бывает (я курю и у меня неправильный прикус, отчего иногда прикусываю щеку) она послала сдавать анализ на ВИЧ, а курение и прикус не могут быть причиной, по ее словам. Я вообще в шоке.Посмотрите пожалуйста фото, может быть Вы что-то подскажите мне.... Ссылка на комментарий
Милanora Опубликовано 4 января, 2017 Автор Поделиться Опубликовано 4 января, 2017 С деснами у меня проблемы уже лет 10, но после родов (5 лет назад) стало хуже. Очень переживаю, потому что планируем с мужем второго ребенка. Провела полную санацию, вылечила все зубы. Десна стали меньше беспокоить, но теперь очень переживаю по поводу лейкоплакии, если это действительно она.. Ссылка на комментарий
shishok Опубликовано 4 января, 2017 Поделиться Опубликовано 4 января, 2017 Всегда считалось,что курение провоцирует возникновение лейкоплакии. Ссылка на комментарий
Л Ю С Я Опубликовано 4 января, 2017 Поделиться Опубликовано 4 января, 2017 Сколько Вам лет? Ссылка на комментарий
Милanora Опубликовано 4 января, 2017 Автор Поделиться Опубликовано 4 января, 2017 Мне 32 года Ссылка на комментарий
Л Ю С Я Опубликовано 4 января, 2017 Поделиться Опубликовано 4 января, 2017 По фото у Вас одна из разновидностей КПЛ. Может быть изолировано поражение слизистой. Для окончательного диагноза нужен очный осмотр стоматолога. Курение обязательно нужно исключить Ссылка на комментарий
Salma Опубликовано 5 января, 2017 Поделиться Опубликовано 5 января, 2017 тоже склоняюсь к кпл Ссылка на комментарий
ПалСаныч Опубликовано 5 января, 2017 Поделиться Опубликовано 5 января, 2017 Имхо кпл Ссылка на комментарий
Рекомендуемые сообщения
Для публикации сообщений создайте учётную запись или авторизуйтесь
Вы должны быть пользователем, чтобы оставить комментарий
Создать аккаунт
Зарегистрируйте новый аккаунт в нашем сообществе. Это очень просто!
Регистрация нового пользователяВойти
Уже есть аккаунт? Войти в систему.
Войти