Перейти к содержанию
Стоматология для всех

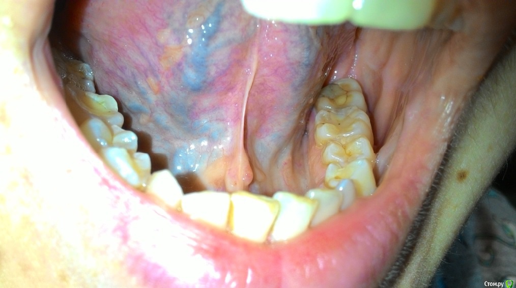
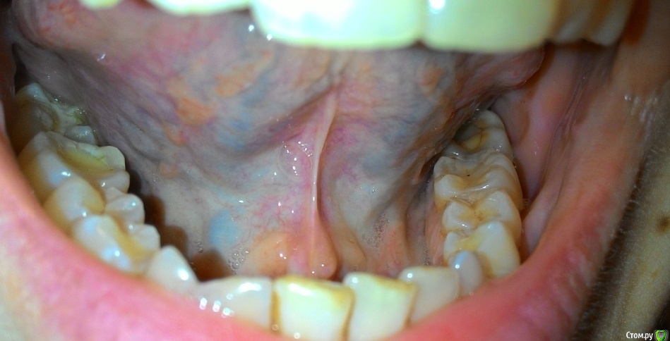
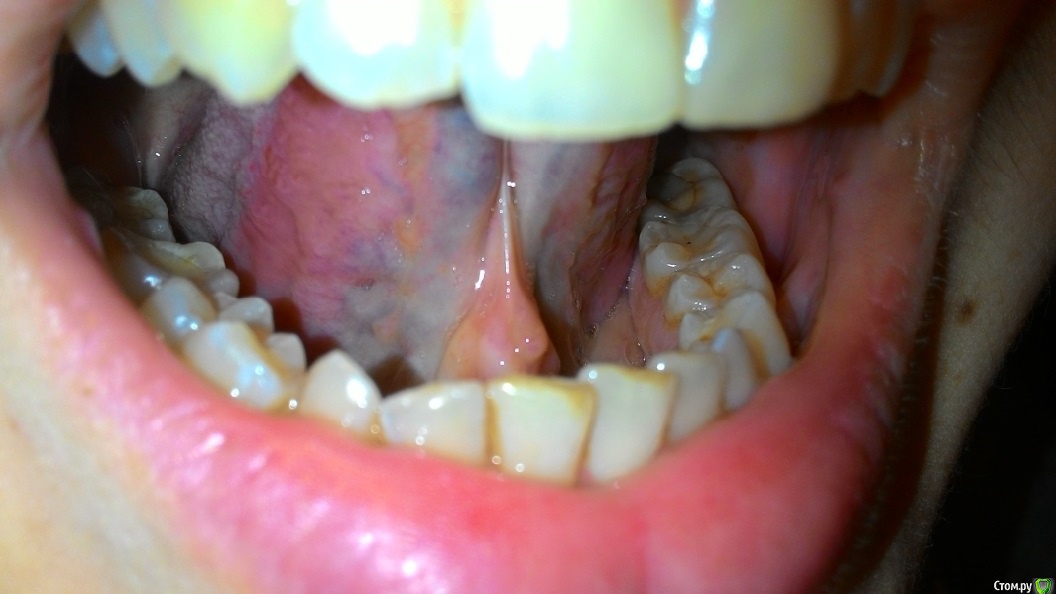
Пузырьки на уздечке под языком


Рекомендуемые сообщения

Уважаемые доктора, опять пишу к вам с вопросом. Не знаю, что делать и к какому специалисту обращаться.

На уздечке под языком у меня образовалось 2 пузырька.

 

16 декабря - сложное удаление восьмерки (ссылка поста на форуме). Прописали хлоргексидиновые ванночки, амоксиклав и супрастин. Ванночки делала по 6 раз в день с 16 по 23 декабря, потом лишь утром и вечером.

28 декабря почувствовала, что как будто под языком что-то есть и оно мешается. Увидела эти пузырьки. Не болят.

29 декабря поехала снимать швы. Снимал другая доктор (мой был уже в отпуске), показала ей эти пузырьки, она сказала, что на вид пока не страшно, но что это - ей не понятно. Она показала меня еще другому доктору, та тоже сказала, что ничего страшного не видит, но толком не понимает, что это, порекомендовала наблюдать.

03 января - пузырьки сохраняются.

 

Подскажите, пожалуйста, что это может быть?

Это опасно или само пройдет со временем?

Если с этим что-то быстро не сделать, могут ли быть необратимые негативные последствия?

К какому специалисту и куда лучше всего обратиться с данным вопросом?

 

Спасибо! И с Праздниками :)

post-49502-0-35678700-1483443022_thumb.jpg

post-49502-0-35819000-1483443023_thumb.jpg

post-49502-0-29557400-1483443024_thumb.jpg

post-49502-0-35872500-1483443025_thumb.jpg

post-49502-0-28517800-1483443026_thumb.jpg

Ссылка на комментарий

Для публикации сообщений создайте учётную запись или авторизуйтесь

Вы должны быть пользователем, чтобы оставить комментарий

Создать аккаунт

Зарегистрируйте новый аккаунт в нашем сообществе. Это очень просто!

Регистрация нового пользователя

Войти

Уже есть аккаунт? Войти в систему.

Войти
×
×
  • Создать...
Вверх