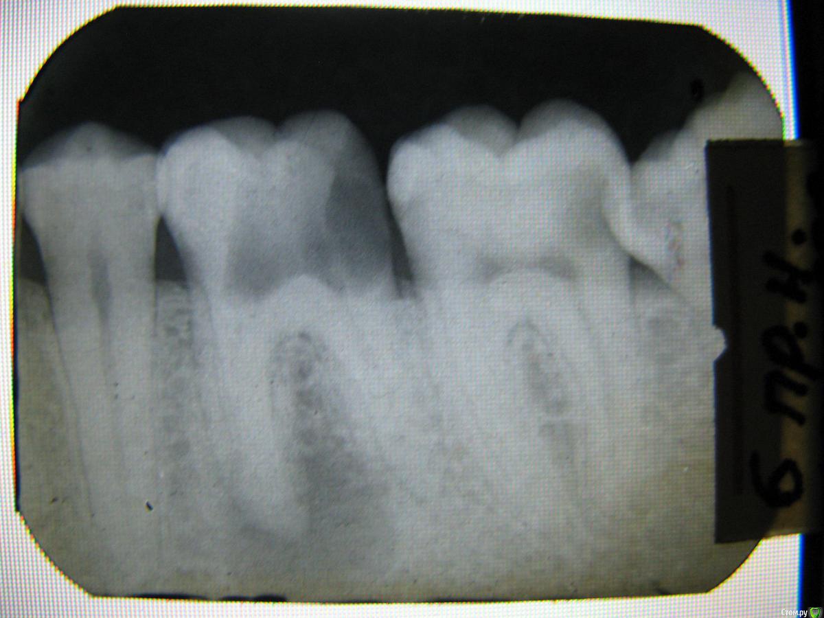
~~SERG~~ Опубликовано 26 декабря, 2016 Поделиться Опубликовано 26 декабря, 2016 Добрый день!Вопросы по 46 47, в первую очередь по 46. История 46 зуба началась в 1999 году, когда мне предложили в коммерческой клинике заменить "советсткую" химическую пломбу на новую, светоотверждаемую. заменили. через два дня флюс и депульпирование зуба.снимок "46_1999.jpg" это состояние после вскрытия новой пломбы и каналов, видно разряжение костной ткани в районе корня со стороны 45. Ссылка на комментарий
~~SERG~~ Опубликовано 26 декабря, 2016 Автор Поделиться Опубликовано 26 декабря, 2016 Далее был сломан каналонаполнитель без уведомления меня о случившемся, запломбированы каналы и зуб и я ни о чем не догадываясь жил с этим зубом до 2004 года, когда мне на это не указал другой врач. снимок "46_2004.jpg" показывает состояние зуба на момент 2004года. перелечивания каналов не проводилось, зуб был закрыт вкладкой из пломбировочного материала. Ссылка на комментарий
red_butler Опубликовано 26 декабря, 2016 Поделиться Опубликовано 26 декабря, 2016 Покажите снимок в настоящее время Ссылка на комментарий
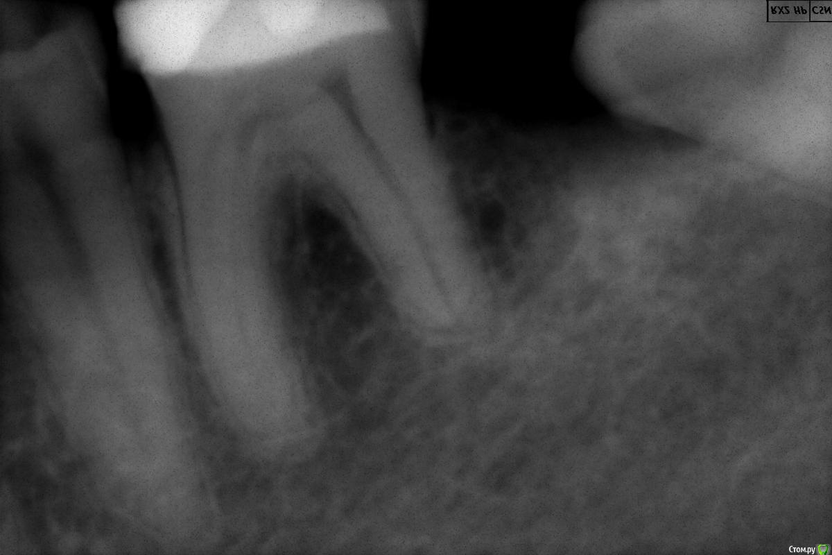
~~SERG~~ Опубликовано 26 декабря, 2016 Автор Поделиться Опубликовано 26 декабря, 2016 (изменено) А вот состояние 46 зуба на сегодняшний день. пошла резорбция корня со стороны 47, да и сам 47 просится на перелечивание, там в другой клинике тоже умудрились два инструмента сломать! И тоже мне ничего не сказали! PS если ктото решит что 46й зуб потреля большой кусок корня то "в защиту" прилагаю снимок 36го зуба - корень со стороны 37го короче чем со стороны 35. Изменено 26 декабря, 2016 пользователем ~~SERG~~ Ссылка на комментарий
~~SERG~~ Опубликовано 26 декабря, 2016 Автор Поделиться Опубликовано 26 декабря, 2016 все, закончил. интересует сохранение 46,47. Ссылка на комментарий
red_butler Опубликовано 26 декабря, 2016 Поделиться Опубликовано 26 декабря, 2016 Я бы шестой заменил на имплант, а седьмой перелечивал и протезировал. Ссылка на комментарий
~~SERG~~ Опубликовано 26 декабря, 2016 Автор Поделиться Опубликовано 26 декабря, 2016 Я бы шестой заменил на имплант, а седьмой перелечивал и протезировал. а если пролечить каналы 46го, протравить их от заразы и запломбировать - разорбция не остановится? в настоящее время 46 и 47 в прикусе, работают и не беспокоят. Ссылка на комментарий
~~SERG~~ Опубликовано 26 декабря, 2016 Автор Поделиться Опубликовано 26 декабря, 2016 вот еще ссылки на ОПТГ и КТ. сделанные в декабре этого, 2016 года. Ссылка для скачивания КТ в формате VATECH (в архиве есть программа для Windows): https://yadi.sk/d/cVliiOCozw3vq или https://yadi.sk/d/DtDBd07r32XQWo Ссылка для скачиванияОПТГ: https://yadi.sk/d/cagapICj32Vf7a Ссылка для скачивания прицельных снимков 16, 36, 46, 47: https://yadi.sk/d/dGaTGT6H33R2xj Ссылка на комментарий
krokomot Опубликовано 26 декабря, 2016 Поделиться Опубликовано 26 декабря, 2016 По состоянию на 1999 год у вас уже был очаг воспаления как минимум 7-летней давности замена пломбы лишь спровоцировала на обострение хронический процесс, по поводу 4.6 - удалять, 4.7 перелечивание каналов, протезирование, в связи с возниушими деформациями зубных рядов необходимо ортодонтьическое лечение, замена ортопедических конструкций, ну и вылечить все кариесы Ссылка на комментарий
~~SERG~~ Опубликовано 26 декабря, 2016 Автор Поделиться Опубликовано 26 декабря, 2016 По состоянию на 1999 год у вас уже был очаг воспаления как минимум 7-летней давности так снимок сделан после флюса вернее после вскрытия коронковой части зуба с новой пломбой и флюсом. неужели даже в таком виде видно застарелый процесс? Ссылка на комментарий
shishok Опубликовано 26 декабря, 2016 Поделиться Опубликовано 26 декабря, 2016 Такое разряжение на корне за 2 дня после замены пломбы не успело бы образоваться.На это нужно ,как минимум,несколько недель(месяцев). Ссылка на комментарий
~~SERG~~ Опубликовано 28 декабря, 2016 Автор Поделиться Опубликовано 28 декабря, 2016 Такое разряжение на корне за 2 дня после замены пломбы не успело бы образоваться. точно вспомнить не могу сколько времени прошло от пломбы до флюса - 17 лет назад как никак. Ссылка на комментарий
~~SERG~~ Опубликовано 30 декабря, 2016 Автор Поделиться Опубликовано 30 декабря, 2016 подскажите удалено администратором не похож на мой 46й зуб? Ссылка на комментарий
red_butler Опубликовано 30 декабря, 2016 Поделиться Опубликовано 30 декабря, 2016 Основная проблема 4.6 зуба в степени его разрушения. Если Вы готовы потратить время и сумму сопоставимую с имплантацией, то ищите команду врачей. Зуб нужно пере лечить и протезировать. Но гарантированного результата не будет. Ссылка на комментарий
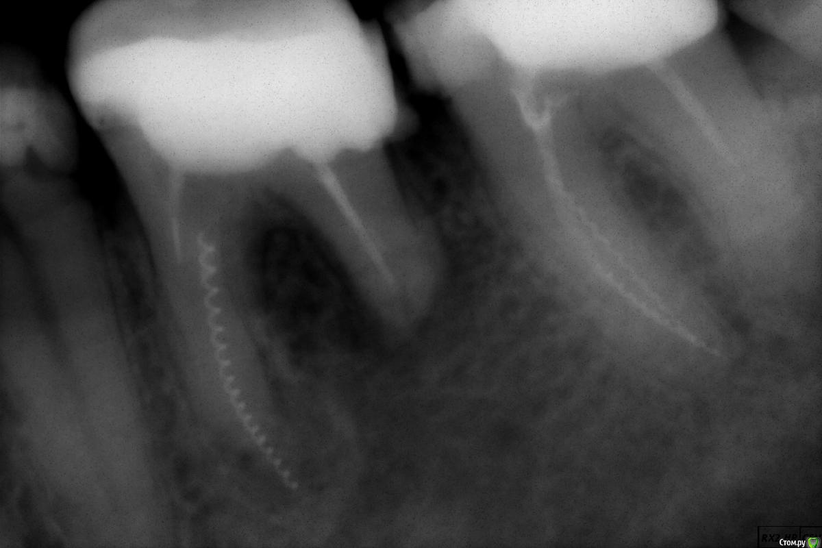
~~SERG~~ Опубликовано 10 мая, 2017 Автор Поделиться Опубликовано 10 мая, 2017 поднимаю тему - каналы 46 перелечены гуттаперчей. стоит вопрос о протезировании вкладкой и коронкой. что выбрать в качестве материала? можно выбирать между кобальтхромом и цирконием. Ссылка на комментарий
red_butler Опубликовано 10 мая, 2017 Поделиться Опубликовано 10 мая, 2017 поднимаю тему - каналы 46 перелечены гуттаперчей. стоит вопрос о протезировании вкладкой и коронкой. что выбрать в качестве материала? можно выбирать между кобальтхромом и цирконием.ищите врача, а вкладку лучше золотую Ссылка на комментарий
~~SERG~~ Опубликовано 10 мая, 2017 Автор Поделиться Опубликовано 10 мая, 2017 ищите врача так нашел уже - он говорит выбирай - кобальтхром или цирконий. Ссылка на комментарий
Рекомендуемые сообщения
Для публикации сообщений создайте учётную запись или авторизуйтесь
Вы должны быть пользователем, чтобы оставить комментарий
Создать аккаунт
Зарегистрируйте новый аккаунт в нашем сообществе. Это очень просто!
Регистрация нового пользователяВойти
Уже есть аккаунт? Войти в систему.
Войти