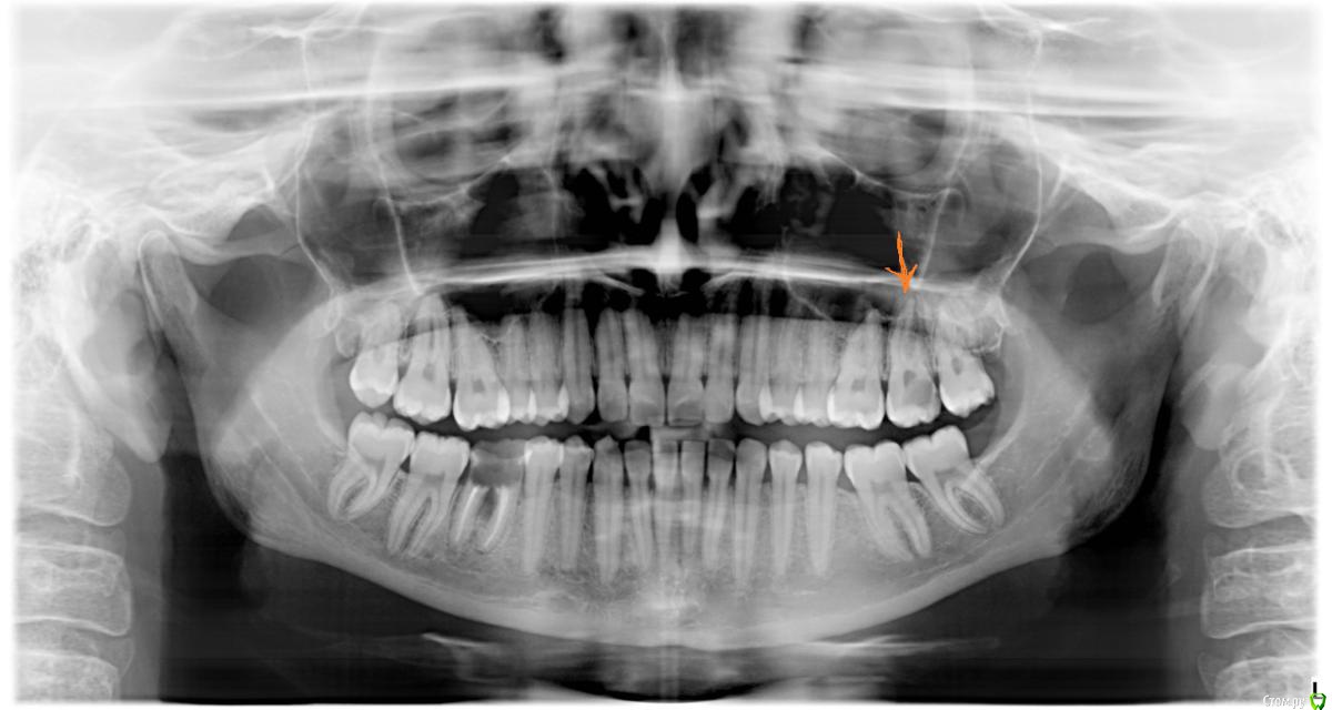
Оксана1318 Опубликовано 23 декабря, 2016 Поделиться Опубликовано 23 декабря, 2016 (изменено) Доброго времени суток! Подскажите, пожалуйста, какое лечение подойдет для зуба, над которым стрелка оранжевая на снимке (на снимке правая сторона сверху). Недели две назад болел, потом прошел, сейчас начинает болеть, только если не почистить зубы через час после еды (а именно реагирует на сладкое, крупы, иногда хлеб). На холодное и горячее появляется неприятные ощущения, но невысокой интенсивности. Врач сказал, что пульпит и полость кариозная большая (на снимке видно). Периодонтит под вопросом. Часть зуба отколота сбоку. Рекомендация первого врача - керамическая накладка. Подойдет она сюда? Какой риск, если поставить пломбу ? Другой врач назначил коронку, но я склоняюсь к накладке. Подскажите, как будет лучше в данной ситуации ?Заранее спасибо.Снимок прилагается. Изменено 23 декабря, 2016 пользователем Оксана1318 Ссылка на комментарий
diesel87 Опубликовано 23 декабря, 2016 Поделиться Опубликовано 23 декабря, 2016 Добрый вечер, коронку из какого материала вам советуют? Вы уточните, может тоже керамическую. Ссылка на комментарий
Оксана1318 Опубликовано 23 декабря, 2016 Автор Поделиться Опубликовано 23 декабря, 2016 Добрый вечер, коронку из какого материала вам советуют? Вы уточните, может тоже керамическую.Да, есть вариант керамической коронки. А что выдумаете по поводу накладки? Ссылка на комментарий
AndyAndy Опубликовано 23 декабря, 2016 Поделиться Опубликовано 23 декабря, 2016 Судя по снимку, для накладки условия не очень хорошие: глубокое разрушение тканей зуба скорее всего под десну, а также обширное разрушение. Своих твёрдых тканей мало останется. Ссылка на комментарий
DmitrySH Опубликовано 23 декабря, 2016 Поделиться Опубликовано 23 декабря, 2016 Хороший вариант, но восьмой зуб надо убрать 1 Ссылка на комментарий
Оксана1318 Опубликовано 23 декабря, 2016 Автор Поделиться Опубликовано 23 декабря, 2016 (изменено) Хороший вариант, но восьмой зуб надо убратьСпасибо за ответ! Да, восьмые уберут. Керамическая вкладка- хороший вариант ? Скажите, а остатки моего зуба не разрушатся от времени в таком случае ? Изменено 23 декабря, 2016 пользователем Оксана1318 Ссылка на комментарий
M@estro Опубликовано 23 декабря, 2016 Поделиться Опубликовано 23 декабря, 2016 (изменено) Спасибо за ответ! Да, восьмые уберут. Керамическая вкладка- хороший вариант ? Скажите, а остатки моего зуба не разрушатся от времени в таком случае ? Добрый вечер. Если все сделать грамотно - то вряд ли тканям что-то угрожает больше, нежели при протезировании коронкой. Главное - хорошо пролечить каналы, чтобы не пришлось к этому вопросу возвращаться вновь. P.S. Зуб справа на нижней челюсти - на удаление и имплантацию Изменено 23 декабря, 2016 пользователем M@estro 1 Ссылка на комментарий
DmitrySH Опубликовано 23 декабря, 2016 Поделиться Опубликовано 23 декабря, 2016 Спасибо за ответ! Да, восьмые уберут. Керамическая вкладка- хороший вариант ? Скажите, а остатки моего зуба не разрушатся от времени в таком случае ? Единственное чего мы не знаем, так это сколько тканей зуба останется после лечения. Если все сделано грамотно, то нет, в ближайшее время не разрушится зуб. Считайте это промежуточным этапом, между пломбой и коронкой. 1 Ссылка на комментарий
Оксана1318 Опубликовано 23 декабря, 2016 Автор Поделиться Опубликовано 23 декабря, 2016 Добрый вечер. Если все сделать грамотно - то вряд ли тканям что-то угрожает больше, нежели при протезировании коронкой. Главное - хорошо пролечить каналы, чтобы не пришлось к этому вопросу возвращаться вновь. P.S. Зуб справа на нижней челюсти - на удаление и имплантациюСпасибо Вам!) Теперь со спокойной душой пойду делать керамич. вкладку Да, с шестеркой внизу скоро так и поступлю. Ссылка на комментарий
Оксана1318 Опубликовано 23 декабря, 2016 Автор Поделиться Опубликовано 23 декабря, 2016 Единственное чего мы не знаем, так это сколько тканей зуба останется после лечения. Если все сделано грамотно, то нет, в ближайшее время не разрушится зуб. Считайте это промежуточным этапом, между пломбой и коронкой. Поняла. Т.е. всё равно потом коронку ставить. А в таких случаях сколько примерно может прослужить накладка ? Можно ли будет есть твердое, например орехи после такого лечения? Заранее прошу прощения, а то я завалила Вас вопросами Ссылка на комментарий
DmitrySH Опубликовано 23 декабря, 2016 Поделиться Опубликовано 23 декабря, 2016 Поняла. Т.е. всё равно потом коронку ставить. А в таких случаях сколько примерно может прослужить накладка ? Можно ли будет есть твердое, например орехи после такого лечения? Заранее прошу прощения, а то я завалила Вас вопросами Нет ничего вечного. Срока службы у накладок и коронок нет.Орехи есть можно, но колоть неочищенный фундук не надо. Впрочем бывает люди и коронки раскалывают и свои зубы тоже. 2 Ссылка на комментарий
Рекомендуемые сообщения
Для публикации сообщений создайте учётную запись или авторизуйтесь
Вы должны быть пользователем, чтобы оставить комментарий
Создать аккаунт
Зарегистрируйте новый аккаунт в нашем сообществе. Это очень просто!
Регистрация нового пользователяВойти
Уже есть аккаунт? Войти в систему.
Войти