dentikl Опубликовано 21 декабря, 2016 Поделиться Опубликовано 21 декабря, 2016 Здравствуйте.Возник вопросПри выполнении операции -удаление гранулемы(кисто гранулемы) с резекцией верхушки-требуется или не требуется укладка индуктора и мембраны?Если мембрана не требуется-почему не врастает эпителий? Ссылка на комментарий
dok1 Опубликовано 21 декабря, 2016 Поделиться Опубликовано 21 декабря, 2016 Если полость идеальная можно подсыпать графт. Можно и под сгустком. Ссылка на комментарий
Большой Зеленый Опубликовано 21 декабря, 2016 Поделиться Опубликовано 21 декабря, 2016 Откуда там взяться эпителию?)) Ссылка на комментарий
dentikl Опубликовано 21 декабря, 2016 Автор Поделиться Опубликовано 21 декабря, 2016 Откуда там взяться эпителию?))он туда никогда не прорастает?(после операции) Ссылка на комментарий
Zubnik7 Опубликовано 21 декабря, 2016 Поделиться Опубликовано 21 декабря, 2016 Потому что дефект 3-х стеночный и не выходит за границы контура челюсти,об'ем конечно кости уменьшается Ссылка на комментарий
Bier Опубликовано 21 декабря, 2016 Поделиться Опубликовано 21 декабря, 2016 Здравствуйте.Возник вопросПри выполнении операции -удаление гранулемы(кисто гранулемы) с резекцией верхушки-требуется или не требуется укладка индуктора и мембраны?Если мембрана не требуется-почему не врастает эпителий?при выполнении операции "удаление гранулемы" с резекцией верхушки корня требуется прежде всего ретроградная пломбировка корня, все остальное опции, как в дорогом немецком авто ) 3 Ссылка на комментарий
DrNice Опубликовано 22 декабря, 2016 Поделиться Опубликовано 22 декабря, 2016 при выполнении операции "удаление гранулемы" с резекцией верхушки корня требуется прежде всего ретроградная пломбировка корня, все остальное опции, как в дорогом немецком авто )Золотые слова Ссылка на комментарий
dentikl Опубликовано 22 декабря, 2016 Автор Поделиться Опубликовано 22 декабря, 2016 при выполнении операции "удаление гранулемы" с резекцией верхушки корня требуется прежде всего ретроградная пломбировка корня, все остальное опции, как в дорогом немецком авто )даже если перед резекцией проведена адекватная перепломбировка ? Ссылка на комментарий
dentikl Опубликовано 22 декабря, 2016 Автор Поделиться Опубликовано 22 декабря, 2016 Потому что дефект 3-х стеночный и не выходит за границы контура челюсти,об'ем конечно кости уменьшаетсявот этот случай требует мембраны и индуктора?Ретроградно пломбировать даже если пройду на ревизии? Ссылка на комментарий
dentikl Опубликовано 22 декабря, 2016 Автор Поделиться Опубликовано 22 декабря, 2016 Откуда там взяться эпителию?))сам вопрос возник после прочтения этого....Неудачи чаще возникают не в результате недостатка хирургической техники, а из-за стремительного прорастания эпителия в область дефекта (Ramfjord, 1971). Апикальная пролиферация эпителия вдоль поверхности корня происходит быстрее, чем регенерируют соединительная ткань и кость, и приводит к образованию грануляционной ткани. Такой процесс называется контактное подавление. Prichard (1983) Ссылка на комментарий
Большой Зеленый Опубликовано 22 декабря, 2016 Поделиться Опубликовано 22 декабря, 2016 даже если перед резекцией проведена адекватная перепломбировка ? Зачем тогда вообще резекция!!!? 2 Ссылка на комментарий
red_butler Опубликовано 22 декабря, 2016 Поделиться Опубликовано 22 декабря, 2016 Показаний к РВК нет 2 Ссылка на комментарий
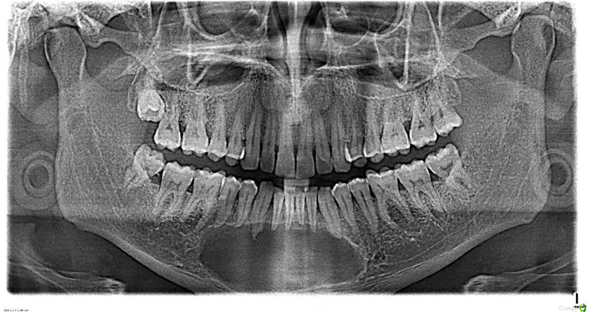
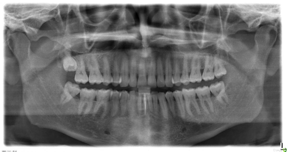
dentikl Опубликовано 22 декабря, 2016 Автор Поделиться Опубликовано 22 декабря, 2016 Зачем тогда вообще резекция!!!?там я фотки повесил.с Вашей точки зрения индуктор и мембрана нужны(Вы бы использовали в этом конкретном случае?) Ссылка на комментарий
dok1 Опубликовано 22 декабря, 2016 Поделиться Опубликовано 22 декабря, 2016 Не использовал бы мембрану точно. Графта сыпануть можно. Можно не сыпать. И так и так сойдёт. 2 Ссылка на комментарий
dentikl Опубликовано 22 декабря, 2016 Автор Поделиться Опубликовано 22 декабря, 2016 Не использовал бы мембрану точно. Графта сыпануть можно. Можно не сыпать. И так и так сойдёт.благодарю Ссылка на комментарий
Доктор Добрых Дел Опубликовано 22 декабря, 2016 Поделиться Опубликовано 22 декабря, 2016 В области 11 случайно не трещина корня? Медиально очаг деструкции как-то намекает на это 1 Ссылка на комментарий
Тимур86 Опубликовано 22 декабря, 2016 Поделиться Опубликовано 22 декабря, 2016 киста сбоку говорит о том что в корне скорее всего трещина Ссылка на комментарий
Большой Зеленый Опубликовано 22 декабря, 2016 Поделиться Опубликовано 22 декабря, 2016 Консервативное лечение. (взято с ФБ) 1 Ссылка на комментарий
Bier Опубликовано 22 декабря, 2016 Поделиться Опубликовано 22 декабря, 2016 не трещина там, а латераль скорее всего. Так высоко корень только от удара может сломаться. dentikl методика РВК применяется только при невозможности или безуспешности ортоградного лечения. Т.е. в вашем случае оперировать не нужно, нужно ждать излечения. Если же вы проводите РВК - единственным смыслом этой операции является установка апикальной пломбы, желательно не короче 3-4мм вглубь канала. Прорут, Триоксидент, IRM, или биокерамика - подходят для этих целей. 4 Ссылка на комментарий
dentikl Опубликовано 22 декабря, 2016 Автор Поделиться Опубликовано 22 декабря, 2016 Консервативное лечение. (взято с ФБ)класс.похоже на сказку Ссылка на комментарий
dentikl Опубликовано 22 декабря, 2016 Автор Поделиться Опубликовано 22 декабря, 2016 киста сбоку говорит о том что в корне скорее всего трещинаСори.Я дал неудачный вид Ссылка на комментарий
dentikl Опубликовано 22 декабря, 2016 Автор Поделиться Опубликовано 22 декабря, 2016 не трещина там, а латераль скорее всего. Так высоко корень только от удара может сломаться. dentiklметодика РВК применяется только при невозможности или безуспешности ортоградного лечения. Т.е. в вашем случае оперировать не нужно, нужно ждать излечения. Если же вы проводите РВК - единственным смыслом этой операции является установка апикальной пломбы, желательно не короче 3-4мм вглубь канала. Прорут, Триоксидент, IRM, или биокерамика - подходят для этих целей.корни и коронковые настолько выработаны по толщине предыдущими реставрациями,что я не могу вести их терапевтически до победного конца.Ревизия-вкладки-временная реставрация-хирургия.Резекции здесь будут только в случае,если верхушки помешают работе.Теоретически я понимаю-мембрана не нужна.Но столкнулся с заметкой на чьем то сайте и возник вопрос.Все советы-очень логичны.спасибо всем. Ссылка на комментарий
Большой Зеленый Опубликовано 22 декабря, 2016 Поделиться Опубликовано 22 декабря, 2016 http://forum.stom.ru/topic/30148-igraiu-v-terapevta/?hl=%2B%D0%B8%D0%B3%D1%80%D0%B0%D1%8E+%2B%D1%82%D0%B5%D1%80%D0%B0%D0%BF%D0%B5%D0%B2%D1%82%D0%B0 1 Ссылка на комментарий
dentikl Опубликовано 3 января, 2017 Автор Поделиться Опубликовано 3 января, 2017 В области 11 случайно не трещина корня? Медиально очаг деструкции как-то намекает на этоВы правы.Там таки была перфа не середине мщ поверхности корня.Кисту извлекли,перф прикрыли,жду. Ссылка на комментарий
dentikl Опубликовано 3 января, 2017 Автор Поделиться Опубликовано 3 января, 2017 киста сбоку говорит о том что в корне скорее всего трещинаДа,там была перфа,Вы-правы. Ссылка на комментарий
Рекомендуемые сообщения
Для публикации сообщений создайте учётную запись или авторизуйтесь
Вы должны быть пользователем, чтобы оставить комментарий
Создать аккаунт
Зарегистрируйте новый аккаунт в нашем сообществе. Это очень просто!
Регистрация нового пользователяВойти
Уже есть аккаунт? Войти в систему.
Войти