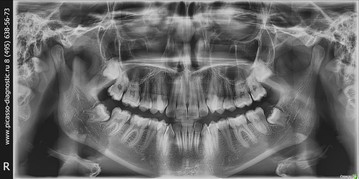
Павел7809 Опубликовано 19 декабря, 2016 Поделиться Опубликовано 19 декабря, 2016 (изменено) Уважаемые коллеги, собственно вопрос от моего пациента.Надо ли удалять все 8 зубы.Планируется ортодонтия. Я в этом соображаю мало поэтому прошу совета у вас... Изменено 19 декабря, 2016 пользователем Павел7809 Ссылка на комментарий
red_butler Опубликовано 19 декабря, 2016 Поделиться Опубликовано 19 декабря, 2016 не понял смысла данной темы Ссылка на комментарий
Павел7809 Опубликовано 19 декабря, 2016 Автор Поделиться Опубликовано 19 декабря, 2016 Одни ортодонты говорят удалять другие что не надо Ссылка на комментарий
red_butler Опубликовано 19 декабря, 2016 Поделиться Опубликовано 19 декабря, 2016 Одни ортодонты говорят удалять другие что не надодля всего есть показания. Выкладывайте снимки своего пациента и я перенесу тему во врачебный раздел. Или закрою. Ссылка на комментарий
Павел7809 Опубликовано 19 декабря, 2016 Автор Поделиться Опубликовано 19 декабря, 2016 Так снимок же выложил Ссылка на комментарий
red_butler Опубликовано 19 декабря, 2016 Поделиться Опубликовано 19 декабря, 2016 Так снимок же выложилВидимо Вы его не сразу прикрепили. Все восьмые удалять. Ссылка на комментарий
Brigita Опубликовано 19 декабря, 2016 Поделиться Опубликовано 19 декабря, 2016 все восьмерки нужно удалить Ссылка на комментарий
IvanK Опубликовано 21 декабря, 2016 Поделиться Опубликовано 21 декабря, 2016 +1 Ссылка на комментарий
Dok22 Опубликовано 11 января, 2017 Поделиться Опубликовано 11 января, 2017 Однозначно убирать. Ссылка на комментарий
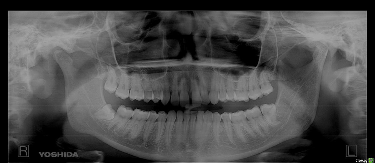
Orange1 Опубликовано 17 марта, 2017 Поделиться Опубликовано 17 марта, 2017 (изменено) Коллеги а в этом случае как думаете по верхним 8 кам? Изменено 17 марта, 2017 пользователем Orange1 Ссылка на комментарий
Brigita Опубликовано 18 марта, 2017 Поделиться Опубликовано 18 марта, 2017 Опять задачки от ортодонтов? Ссылка на комментарий
Orange1 Опубликовано 18 марта, 2017 Поделиться Опубликовано 18 марта, 2017 Опять задачки от ортодонтов? да.настаивают на удалении верхних.без аргументов.смысл не понятен мне Ссылка на комментарий
Рекомендуемые сообщения
Для публикации сообщений создайте учётную запись или авторизуйтесь
Вы должны быть пользователем, чтобы оставить комментарий
Создать аккаунт
Зарегистрируйте новый аккаунт в нашем сообществе. Это очень просто!
Регистрация нового пользователяВойти
Уже есть аккаунт? Войти в систему.
Войти