полосатая Опубликовано 15 декабря, 2016 Поделиться Опубликовано 15 декабря, 2016 Здравствуйте. Раньше в пятерке стоял штифт и фотополимерная пломба. Зуб не болел, но учитывая давность лечения , да штифт стал просвечивать через пломбу, я попросила перелечить этот зуб.Штифт был удален с ультразвуком, положили кальций на пару недель под временную пломбу.Зуб стал чувствительным при постукивании. На снимке вроде бы все нормально.Врач предположила перелом корня...и положила в канал кальций с йодоформом + трихопол. Зуб стал болеть, появился отек и припухлость. Я предупреждала о том, что аллергии на йод у меня нет, но йодоформ у меня всегда вызывает обострения с гноем и отеком. Но она настояла та том что "лучше пусть будет обострение, чтобы с гноем все вышло".У меня вопрос: применение йода и вызывание обострения - это обязательно при эндодонтическом лечении? Насколько это оправдано при переломах корней? Ссылка на комментарий
red_butler Опубликовано 15 декабря, 2016 Поделиться Опубликовано 15 декабря, 2016 сделайте новый снимок Ссылка на комментарий
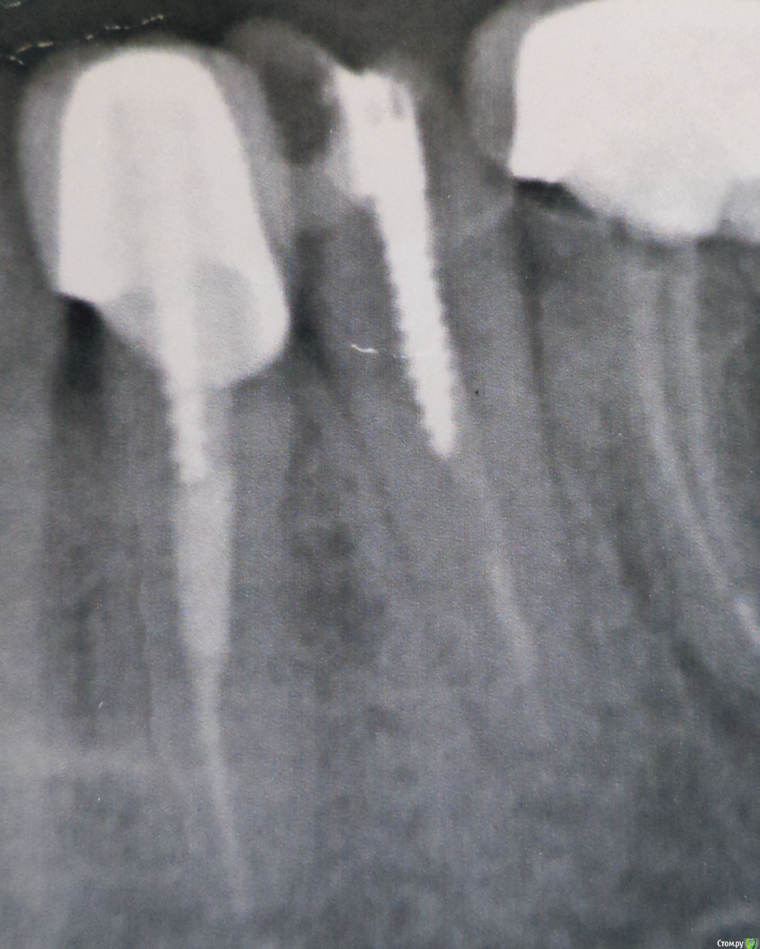
полосатая Опубликовано 15 декабря, 2016 Автор Поделиться Опубликовано 15 декабря, 2016 Снимок сделан два дня назад. Ссылка на комментарий
DmitrySH Опубликовано 15 декабря, 2016 Поделиться Опубликовано 15 декабря, 2016 (изменено) По этому снимку сложно что-то сказать про трещину. Трещина обычно выявляется при визуальном осмотре. На снимках она видна когда зуб совсем развалился. Изменено 15 декабря, 2016 пользователем DmitrySH 1 Ссылка на комментарий
полосатая Опубликовано 15 декабря, 2016 Автор Поделиться Опубликовано 15 декабря, 2016 (изменено) Спасибо большое за правду. Мне делали снимок на визиографе и сказали что все хорошо, а оказывается во как! Нервы уже сдают ....Пожалуйста , объясните, зачем класть йодоформ, понимая что это вызовет обострение, боль отек? тем более, я предупреждала о такой реакции. Неужели это стандарт лечения? ( можно в личку). Изменено 15 декабря, 2016 пользователем полосатая Ссылка на комментарий
St. Опубликовано 15 декабря, 2016 Поделиться Опубликовано 15 декабря, 2016 Стандарта лечения в этой стране увы нет, поэтому каждый врач может поступать на своё усмотрение. Наиболее рациональным по данным литературы да и по собственному опыту является просто кальций без примесей.Но даже кальций с йодоформом далеко не всегда вызывает обострения. Ссылка на комментарий
полосатая Опубликовано 15 декабря, 2016 Автор Поделиться Опубликовано 15 декабря, 2016 (изменено) Стандарта лечения в этой стране увы нет, поэтому каждый врач может поступать на своё усмотрение. Наиболее рациональным по данным литературы да и по собственному опыту является просто кальций без примесей.Но даже кальций с йодоформом далеко не всегда вызывает обостренияБлагодарю за ответ. Речь идет именно о 5-м зубе.Прошу прощения.Но как бы вы, уважаемые доктора, поступили в данной ситуации, если бы пациент сразу предупредил о негативной реакции на йодоформ? Применили бы другой препарат?Прошу понять правильно. Если такой метод с болью,отеками, "обострением" дает лучший результат, то конечно буду терпеть. Изменено 15 декабря, 2016 пользователем полосатая Ссылка на комментарий
red_butler Опубликовано 15 декабря, 2016 Поделиться Опубликовано 15 декабря, 2016 Стандарта лечения в этой стране увы нет, поэтому каждый врач может поступать на своё усмотрениеЕсли Вы о РФ, то стандарты уже есть, но разговор не об этом. Ссылка на комментарий
red_butler Опубликовано 15 декабря, 2016 Поделиться Опубликовано 15 декабря, 2016 Думается мне йодоформ не при чем. На снимках перелома, или того что свидетельствовало бы о его наличии не увидел. Нужно смотреть очно. Ищите врача. Ссылка на комментарий
полосатая Опубликовано 15 декабря, 2016 Автор Поделиться Опубликовано 15 декабря, 2016 Думается мне йодоформ не при чем. На снимках перелома, или того что свидетельствовало бы о его наличии не увидел. Нужно смотреть очно. Ищите врача.Йодоформ не причем????Ничего не понимаю. Завтра еду в другую клинику. Ссылка на комментарий
Гарриевич Опубликовано 15 декабря, 2016 Поделиться Опубликовано 15 декабря, 2016 Уберите в стороны эмоции. Не нравится протокол врача или Вам кажется что он вас не понимает, меняйте клинику и Вам и врачу будет легче. В вашем случае возможно не йодоформ дал такую реакцию, но все равно учесть Ваши особенности стоило. Ищите клинику где врач работает с кофферламом, а как найдёте, то я думаю наладится процесс лечения Ссылка на комментарий
St. Опубликовано 15 декабря, 2016 Поделиться Опубликовано 15 декабря, 2016 Если Вы о РФ, то стандарты уже есть, но разговор не об этом.Ой, видимо отстала от жизни. Не знала. Не нравится протокол врача или Вам кажется что он вас не понимает, меняйте клинику и Вам и врачу будет легче. В вашем случае возможно не йодоформ дал такую реакцию, но все равно учесть Ваши особенности стоило. 100% Лучше и не скажешь.Хорошие результаты гораздо легче получить если Вам с доктором комфортно и Вы доверяете. 1 Ссылка на комментарий
полосатая Опубликовано 15 декабря, 2016 Автор Поделиться Опубликовано 15 декабря, 2016 Причем тут нравится или не нравится мне протокол лечения или что-то кажется... Резина во рту и расшикарное оборудование, как видите не показатель.Вопрос был задан по существу. К сожалению ответ не получила. Ссылка на комментарий
inSight Опубликовано 15 декабря, 2016 Поделиться Опубликовано 15 декабря, 2016 Вопрос был задан по существу. К сожалению ответ не получила. Хорошая моя, для Вас еще разок: DmitrySH По этому снимку сложно что-то сказать про трещину. Трещина обычно выявляется при визуальном осмотре. red_butlerНа снимках перелома, или того что свидетельствовало бы о его наличии не увидел. Нужно смотреть очно. Ваш Вопрос был таким: "применение йода и вызывание обострения - это обязательно при эндодонтическом лечении? Насколько это оправдано при переломах корней?" Наиболее рациональным по данным литературы да и по собственному опыту является просто кальций без примесей. Но даже кальций с йодоформом далеко не всегда вызывает обострения. Мой ответжеж: Применение Йода не обязательно, Йодом не вызывают обострение, применение именно Йода не оправданно. И на последок доктора Вам говорят что по данным снимков у вас нет прелома! Нет перелома - какой йод? Ссылка на комментарий
red_butler Опубликовано 15 декабря, 2016 Поделиться Опубликовано 15 декабря, 2016 Тему можно закрывать? 1 Ссылка на комментарий
Гарриевич Опубликовано 15 декабря, 2016 Поделиться Опубликовано 15 декабря, 2016 Нужно)) Ссылка на комментарий
IvanK Опубликовано 16 декабря, 2016 Поделиться Опубликовано 16 декабря, 2016 Тему можно закрывать?вот это скорость!) Ссылка на комментарий
Рекомендуемые сообщения
Для публикации сообщений создайте учётную запись или авторизуйтесь
Вы должны быть пользователем, чтобы оставить комментарий
Создать аккаунт
Зарегистрируйте новый аккаунт в нашем сообществе. Это очень просто!
Регистрация нового пользователяВойти
Уже есть аккаунт? Войти в систему.
Войти