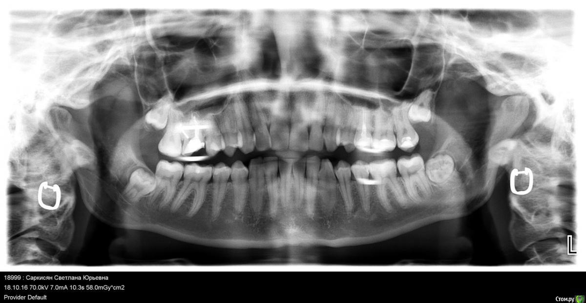
Setasy Опубликовано 14 декабря, 2016 Поделиться Опубликовано 14 декабря, 2016 (изменено) Здравствуйте! Очень нужен совет. В июле мне пролечили глубокий кариес 6-ки сверху слева. Примерно в то же время лечили и 6-ку снизу, там никак не могли подобрать нормально пломбу, больно было на ней жевать, пока не поставили ветример. Таким образом, я не могла полноценно кушать на левой стороне и проверить, все ли в порядке с верхним 6 зубом. Когда наконец смогла это делать, стала ощущать постоянный дискомфорт при жевании твердой пищи ближе к 5 зубу. Обратилась к другому доктору, он снял пломбу, думали, может что-то проседает там, ничего не изменилось. Когда он снял в следующий раз всю реставрацию, сказал, что видит там трещину корня, но не был уверен. У меня в тот же день начался острый пульпит, сильнейшая боль. Каналы мне врач пролечил, с коффердамом, с бинокулярами, все как положено, заложил кальций. Но есть на зубе по-прежнему невозможно было. Так не болит, но даже минимальная нагрузка (мягкой пищей) и все, чувствуется языком снова боль, неприятно дотрагиваться. Врач от меня отказался, говорит, что все правильно делает и не знает, почему у меня не проходит. Наверное все-таки трещина, тогда любое лечение несостоятельно. Обратилась еще к одному врачу, она рассверлила временную пломбу, промыла хлоргексидином каналы и заложила какую-то йодовую пасту. Трещины не увидела. После этого вообще до зуба не дотронуться было, все вокруг было очень болезненно и как будто камней наложили. На 4 день это острое состояние прошло и вернулось все то же, что и было. До зуба больно дотрагиваться языком и невозможно есть. Сегодня мне сделали КТ. Врач, смотревший КТ, сказал, что трещины корня не видит (хотя я прочла, что трещину корня по КТ вообще нельзя увидеть). Якобы надо расширять каналы. Что имелось ввиду, непонятно. Каналы мне точно лечили хорошо (4 штуки нашли). КТ прилагаю https://yadi.sk/d/_2x90byG33Wtt8 Снимки есть до лечения каналов. Прикладываю...и также ортопонарама. Я планирую беременность и мне хочется как можно быстрее разобраться с этим зубом. Можно ли оставить пока так как есть (допустим, если там трещина все-таки) или необходимо удаление? Если удалять, возможно ли сразу поставить имплант при удалении или нужно ждать? Ну и вообще хотелось бы услышать мнение по поводу ситуации, что может быть и что делать. Спасибо!!!!!!!! Изменено 14 декабря, 2016 пользователем Setasy Ссылка на комментарий
DmitrySH Опубликовано 14 декабря, 2016 Поделиться Опубликовано 14 декабря, 2016 Здравствуйте, а снимки есть во время лечния каналов и после? Ссылка на комментарий
Setasy Опубликовано 14 декабря, 2016 Автор Поделиться Опубликовано 14 декабря, 2016 Здравствуйте, а снимки есть во время лечния каналов и после?Мне пролечили каналы, положили кальций туда, но он не рентгеноконтрастен. По снимку ничего не видно. С йодовой пастой снимка нет, завтра иду к очередному врачу, может сделает. Ссылка на комментарий
DmitrySH Опубликовано 14 декабря, 2016 Поделиться Опубликовано 14 декабря, 2016 КТ не открывается, попробуйте еще раз выложить Ссылка на комментарий
Setasy Опубликовано 16 декабря, 2016 Автор Поделиться Опубликовано 16 декабря, 2016 КТ не открывается, попробуйте еще раз выложитьСкачайте папку и переименуйте ее в цифру 1, должно все заработать. Спасибо! Ссылка на комментарий
DmitrySH Опубликовано 17 декабря, 2016 Поделиться Опубликовано 17 декабря, 2016 Увы не желает открываться Ссылка на комментарий
Setasy Опубликовано 18 декабря, 2016 Автор Поделиться Опубликовано 18 декабря, 2016 Увы не желает открыватьсяпопробуйте скачать с новой ссылки https://yadi.sk/d/WwWExlBm33yZTK нужно распаковать, открыть папку с фамилией и там голубой значок... Ссылка на комментарий
DmitrySH Опубликовано 18 декабря, 2016 Поделиться Опубликовано 18 декабря, 2016 Со значком то все понятно, программа открывалась и раньше, но сами данные не загружаются Ссылка на комментарий
Setasy Опубликовано 18 декабря, 2016 Автор Поделиться Опубликовано 18 декабря, 2016 Со значком то все понятно, программа открывалась и раньше, но сами данные не загружаютсяНе знаю, почему так. У меня все работает( Ладно, спасибо, попробую. скрины попросить кого-нибудь сделать, если кто-то сможет открыть Ссылка на комментарий
Рекомендуемые сообщения
Для публикации сообщений создайте учётную запись или авторизуйтесь
Вы должны быть пользователем, чтобы оставить комментарий
Создать аккаунт
Зарегистрируйте новый аккаунт в нашем сообществе. Это очень просто!
Регистрация нового пользователяВойти
Уже есть аккаунт? Войти в систему.
Войти