Rina753 Опубликовано 12 декабря, 2016 Поделиться Опубликовано 12 декабря, 2016 Здравствуйте.Киста корня зуба разраслась в кисту гайморовой пазухи. Выделяется гной из пазухи в носоглотку. Киста выявлена на кт.На данный момент хотелось бы провести лечение всего этого. Каким образом проводится и с чего начать? С уважением, Ирина Ссылка на комментарий
red_butler Опубликовано 12 декабря, 2016 Поделиться Опубликовано 12 декабря, 2016 Только по этому снимку сказать что процесс одонтогенный нельзя. Если все таки причина в зубе, то начинайте с его перелечивания. http://forum.stom.ru/topic/31090-kruzhok/ 2 Ссылка на комментарий
Rina753 Опубликовано 12 декабря, 2016 Автор Поделиться Опубликовано 12 декабря, 2016 Спасибо за ответ. КТ снимок тут https://yadi.sk/d/C9qvEchh33GygJ Только по этому снимку сказать что процесс одонтогенный нельзя. Если все таки причина в зубе, то начинайте с его перелечивания. http://forum.stom.ru/topic/31090-kruzhok/ Ссылка на комментарий
DmitrySH Опубликовано 12 декабря, 2016 Поделиться Опубликовано 12 декабря, 2016 Здравствуйте.Киста корня зуба разраслась в кисту гайморовой пазухи. Выделяется гной из пазухи в носоглотку. Киста выявлена на кт.На данный момент хотелось бы провести лечение всего этого. Каким образом проводится и с чего начать? С уважением, Ирина Ирина, начните с поиска грамотного эндодонтиста для ревизии каналов зуба. 1 Ссылка на комментарий
Гарриевич Опубликовано 12 декабря, 2016 Поделиться Опубликовано 12 декабря, 2016 Начните с лечения 6 зуба, так как по Кт он является возможной причиной процесса Ссылка на комментарий
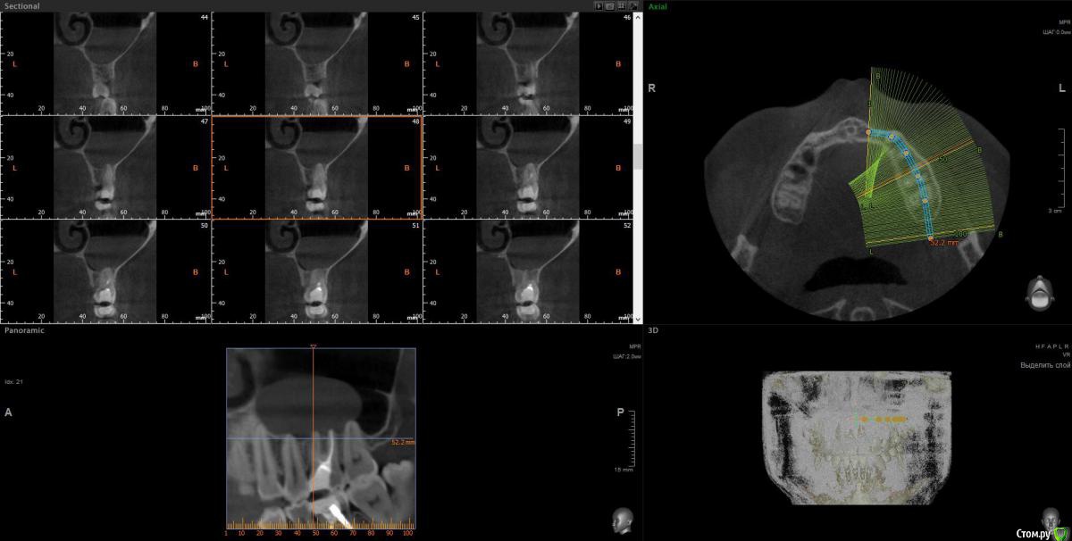
wladdX Опубликовано 13 декабря, 2016 Поделиться Опубликовано 13 декабря, 2016 Несколько скриншотов. Ссылка на комментарий
Гарриевич Опубликовано 13 декабря, 2016 Поделиться Опубликовано 13 декабря, 2016 рекомендации прежние Ссылка на комментарий
red_butler Опубликовано 13 декабря, 2016 Поделиться Опубликовано 13 декабря, 2016 Лор назначает консервативное лечение с целью снятия обострения, лечите зуб и диспансерно наблюдаетесь. 1 Ссылка на комментарий
Rina753 Опубликовано 13 декабря, 2016 Автор Поделиться Опубликовано 13 декабря, 2016 Правильно ли я поняла что зуб можно будет сохранить?Спасибо большое за ответы :-) Ссылка на комментарий
DmitrySH Опубликовано 13 декабря, 2016 Поделиться Опубликовано 13 декабря, 2016 Правильно ли я поняла что зуб можно будет сохранить? Правильно, ищите врача. Ссылка на комментарий
Рекомендуемые сообщения
Для публикации сообщений создайте учётную запись или авторизуйтесь
Вы должны быть пользователем, чтобы оставить комментарий
Создать аккаунт
Зарегистрируйте новый аккаунт в нашем сообществе. Это очень просто!
Регистрация нового пользователяВойти
Уже есть аккаунт? Войти в систему.
Войти