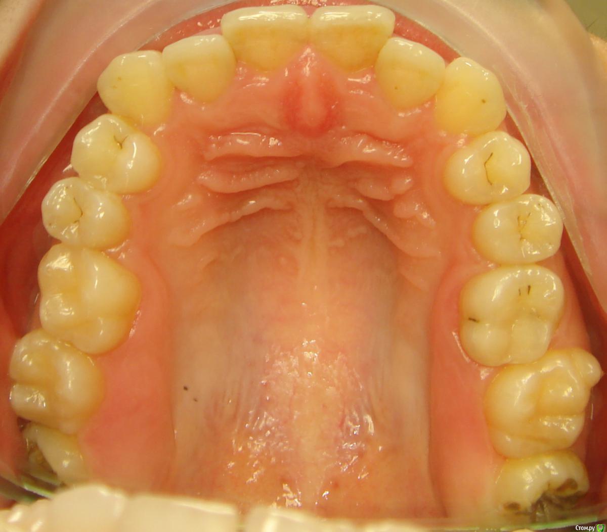
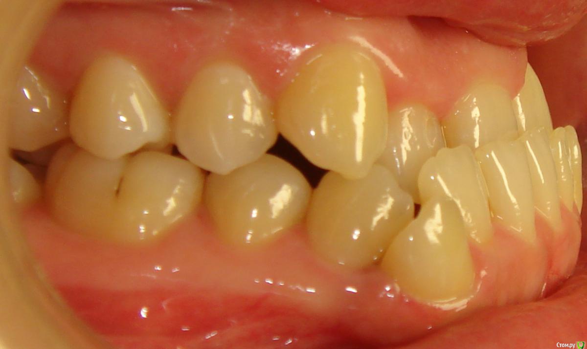
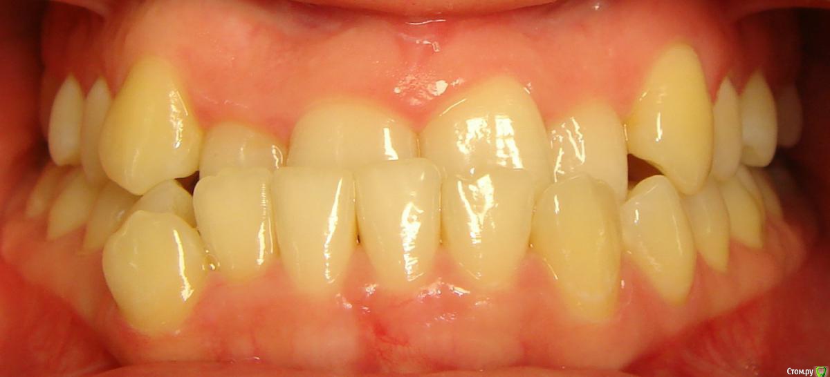
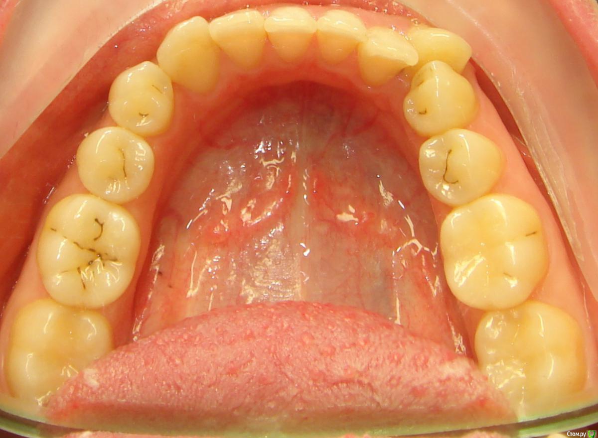
Opdihatop Опубликовано 10 декабря, 2016 Поделиться Опубликовано 10 декабря, 2016 Добрый вечер, коллеги! У меня вопрос к тем, у кого опыта по MEAW больше, чем у меня. Пациентка, 24 года, на данный момент все зубы мудрости удалены, привычная окклюзия по резцам - край в край. Сам процесс я понимаю, но есть несколько нюансов, которые хотелось бы уточнить:1) Нивелировать ли просто фронт в/ч, как книжка пишет (просто поставить дугу и все), или все-таки немного дистализировать боковые участки? С одной стороны простое нивелирование ускорит процесс и облегчит перебрасывание резцов, с другой стороны я опасаюсь чрезмерной протрузии из-за выравнивания дистопированных клыков; но при этом дистализация усугубит 3-й класс.2)Какой высоты делать окклюзионные накладки, в книжке они минимальные, а мне как то хочется побольше, чтобы резцы разомкнуть почти край в край, но не испортит ли это биомеханику?Буду очень благодарен вам за помощь! Ссылка на комментарий
Opdihatop Опубликовано 10 декабря, 2016 Автор Поделиться Опубликовано 10 декабря, 2016 P.S.: на хирургию пациентка согласна, но только, если мультилуп не сработает. Ссылка на комментарий
Yana guapa Опубликовано 10 декабря, 2016 Поделиться Опубликовано 10 декабря, 2016 P.S.: на хирургию пациентка согласна, но только, если мультилуп не сработает.у Криса Чанга похлеще третьеклассники!!! и все без хирургии)) так что шанс есть!) но ставку можно делать не только на петли, но и на винты. Пружины ставят вначале перед петлями не только для дистализации но и для апрайта седьмых и таким образом разобщения. Ссылка на комментарий
Opdihatop Опубликовано 10 декабря, 2016 Автор Поделиться Опубликовано 10 декабря, 2016 Ну, до Криса Чанга мне еще далеко. Я имел ввиду дистализацию на в/ч, там апрайтинг не нужен. Вот я и думаю, нужна ли дистализация на в/ч? Ссылка на комментарий
Yana guapa Опубликовано 10 декабря, 2016 Поделиться Опубликовано 10 декабря, 2016 Ну, до Криса Чанга мне еще далеко. Я имел ввиду дистализацию на в/ч, там апрайтинг не нужен. Вот я и думаю, нужна ли дистализация на в/ч?я так понимаю что Вы осваиваете самостоятельно эту технику. это здорово! но меня учили чуть по-другому ... я всегда ставлю пружины, повторюсь апрайт нужен! и верхним и нижним для поднятия высоты. по крайней мере я объясняю как я понимаю. Вы можете расспросить лектора подробнее, когда выберете себе учителя) Ссылка на комментарий
Yana guapa Опубликовано 10 декабря, 2016 Поделиться Опубликовано 10 декабря, 2016 http://i12.pixs.ru/thumbs/1/1/9/Ilyshenkor_3187470_24371119.jpg http://i11.pixs.ru/thumbs/1/7/0/reklamaily_3931420_24371170.jpg немного похожий кейс (второй мой пациент на петлях). у девушки были брекеты два года. и был рецедив. я уже применила здесь винты и петли . слева недо конца довела, к сожалению, пациентка стала счастлива слишком рано и захотела снять.. Но довести там тоже можно было ..(( петли стояли 6 недель в совокупности 2 Ссылка на комментарий
Yana guapa Опубликовано 10 декабря, 2016 Поделиться Опубликовано 10 декабря, 2016 вопрос к АДМИНИСТРАТОРАМ - какую ссылку вставлять то? вроде все рекомендуют вторую - но тогда нужно переходить на сайт, а там одна реклама попробую третью..http://i11.pixs.ru/storage/1/7/0/reklamaily_3931420_24371170.jpg 1 Ссылка на комментарий
Yana guapa Опубликовано 10 декабря, 2016 Поделиться Опубликовано 10 декабря, 2016 http://i12.pixs.ru/storage/2/3/2/Ilyshenkor_6334897_24371232.jpg третья ссылка мне больше НРА)) Ссылка на комментарий
Opdihatop Опубликовано 10 декабря, 2016 Автор Поделиться Опубликовано 10 декабря, 2016 Да, самостоятельно. Корифеев у нас нет. А из-за событий у нас в стране, первый адекватный лектор за последние 3 года приезжает только в сентябре. Вот по книге и приходится. А пружины Вы как ставите, поэтапно перед каждым зубов, как при последовательной дистализации? Ссылка на комментарий
Opdihatop Опубликовано 11 декабря, 2016 Автор Поделиться Опубликовано 11 декабря, 2016 И все еще остается вопрос по нивелированию фронта. Ссылка на комментарий
Yana guapa Опубликовано 11 декабря, 2016 Поделиться Опубликовано 11 декабря, 2016 в первый день ставлю пружины от 5до7ки. вверху и внизу. на месяц иногда два (с активацией). на стальной дуге. а после занимаюсь нивелировкой. а после петли. Ссылка на комментарий
Opdihatop Опубликовано 13 декабря, 2016 Автор Поделиться Опубликовано 13 декабря, 2016 Я так понимаю, вы это делаете на круглой стали и вводите ее только в те пазы, куда она легко входит? Я имел ввиду нивелирование конкретно в этом случае. Как бы вы ставили в дугу эктопированные клыки: дистализацией, или просто на круглой дуге, вводя резцы в большую протрузию? P.s.: я понимаю, что про апрайтинге будет образовываться место, но конкретно тут, как я понимаю, оно полностью используется для деротации 16, 26, а ситуацию по резцам прижется решать отдельно. И снова спасибо заранее! :-) Ссылка на комментарий
Yana guapa Опубликовано 13 декабря, 2016 Поделиться Опубликовано 13 декабря, 2016 Я так понимаю, вы это делаете на круглой стали и вводите ее только в те пазы, куда она легко входит? да. где не вставляется - слегка подвязать Я имел ввиду нивелирование конкретно в этом случае. Как бы вы ставили в дугу эктопированные клыки: дистализацией, или просто на круглой дуге, вводя резцы в большую протрузию?P.s.: я понимаю, что про апрайтинге будет образовываться место, но конкретно тут, как я понимаю, оно полностью используется для деротации 16, 26, а ситуацию по резцам прижется решать отдельно. я на минивинте разруливала ситуацию с эктопированным клыком, и постоянно работала пружинами , создавая место. после полного выравнивая зубных рядов, поставила петли и на них улучшила перекрытие. вот как то так) Ссылка на комментарий
Brigita Опубликовано 14 декабря, 2016 Поделиться Опубликовано 14 декабря, 2016 в первый день ставлю пружины от 5до7ки. вверху и внизу. на месяц иногда два (с активацией). на стальной дуге. а после занимаюсь нивелировкой. а после петли. Яна, связываете фронт? Ссылка на комментарий
Opdihatop Опубликовано 14 декабря, 2016 Автор Поделиться Опубликовано 14 декабря, 2016 я на минивинте разруливала ситуацию с эктопированным клыком, и постоянно работала пружинами , создавая место. после полного выравнивая зубных рядов, поставила петли и на них улучшила перекрытие. То бишь, вы бы все таки дистализировали сверху. Понял, спасибо! Ссылка на комментарий
Yana guapa Опубликовано 14 декабря, 2016 Поделиться Опубликовано 14 декабря, 2016 Яна, связываете фронт?нет, зачем. Ссылка на комментарий
Yana guapa Опубликовано 14 декабря, 2016 Поделиться Опубликовано 14 декабря, 2016 То бишь, вы бы все таки дистализировали сверху. Понял, спасибо! да Ссылка на комментарий
Kazankov.Egor Опубликовано 15 декабря, 2016 Поделиться Опубликовано 15 декабря, 2016 в первый день ставлю пружины от 5до7ки. вверху и внизу. на месяц иногда два (с активацией). на стальной дуге. а после занимаюсь нивелировкой. а после петли. Есть фото этой стадии? Ссылка на комментарий
Yana guapa Опубликовано 15 декабря, 2016 Поделиться Опубликовано 15 декабря, 2016 Есть фото этой стадии? какой ЭТОЙ? первой самой? Ссылка на комментарий
Opdihatop Опубликовано 15 декабря, 2016 Автор Поделиться Опубликовано 15 декабря, 2016 какой ЭТОЙ? первой самой? Угу. Именно это имелось ввиду. И правда интересно, а в идеале вообще хоть один случай по фото увидеть от начала до конца. Ссылка на комментарий
Yana guapa Опубликовано 15 декабря, 2016 Поделиться Опубликовано 15 декабря, 2016 (изменено) Угу. Именно это имелось ввиду. И правда интересно, а в идеале вообще хоть один случай по фото увидеть от начала до конца. уж извините, все, что есть)) это предыдущая пациентка http://i12.pixs.ru/storage/3/9/5/Snimokekra_3974793_24436395.png Изменено 15 декабря, 2016 пользователем Yana guapa 1 Ссылка на комментарий
Yana guapa Опубликовано 15 декабря, 2016 Поделиться Опубликовано 15 декабря, 2016 самая первая)http://i12.pixs.ru/storage/4/7/3/Snimokekra_5156925_24436473.png http://i11.pixs.ru/storage/4/7/8/Snimokekra_2867042_24436478.png http://i11.pixs.ru/storage/4/8/2/Snimokekra_9382775_24436482.png http://i12.pixs.ru/storage/4/9/9/Snimokekra_2777842_24436499.png http://i12.pixs.ru/storage/5/0/4/Snimokekra_6276498_24436504.png http://i11.pixs.ru/storage/5/0/7/Blagovarek_6222577_24436507.jpg http://i12.pixs.ru/storage/5/2/2/Snimokekra_4257470_24436522.png 1 Ссылка на комментарий
Opdihatop Опубликовано 16 декабря, 2016 Автор Поделиться Опубликовано 16 декабря, 2016 А у "самой первой" снизу была просто обратная активация кончика в начале? А то по фото сразу как-то не пойму вид активации... Ссылка на комментарий
Kazankov.Egor Опубликовано 19 декабря, 2016 Поделиться Опубликовано 19 декабря, 2016 в книжке Подскажите пожалуйста, о какой книге идет речь? Ссылка на комментарий
azerty Опубликовано 22 декабря, 2016 Поделиться Опубликовано 22 декабря, 2016 Подскажите пожалуйста, о какой книге идет речь? Ссылка на комментарий
Рекомендуемые сообщения
Для публикации сообщений создайте учётную запись или авторизуйтесь
Вы должны быть пользователем, чтобы оставить комментарий
Создать аккаунт
Зарегистрируйте новый аккаунт в нашем сообществе. Это очень просто!
Регистрация нового пользователяВойти
Уже есть аккаунт? Войти в систему.
Войти