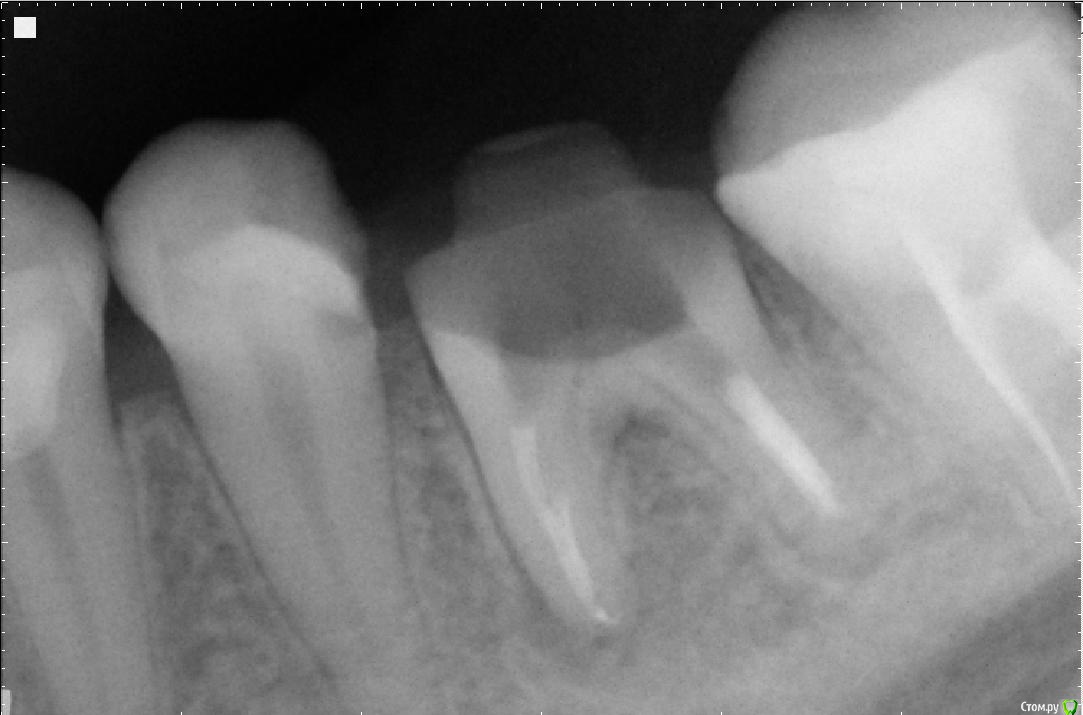
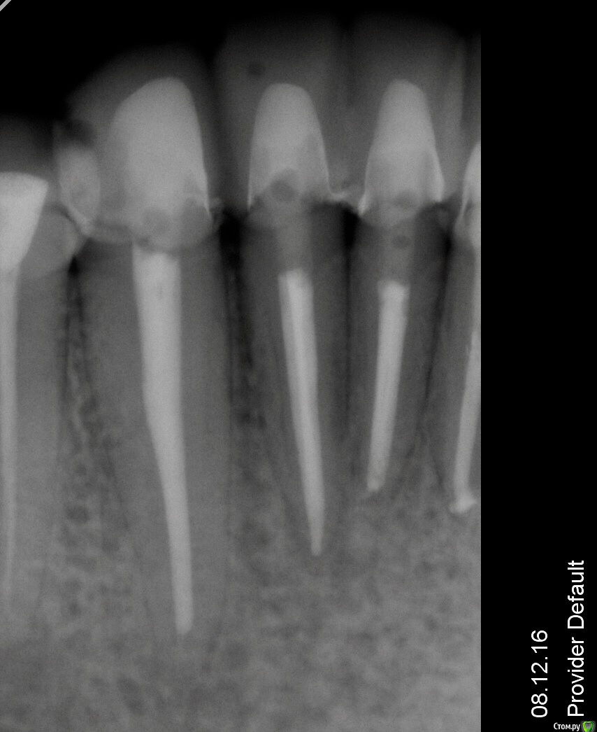
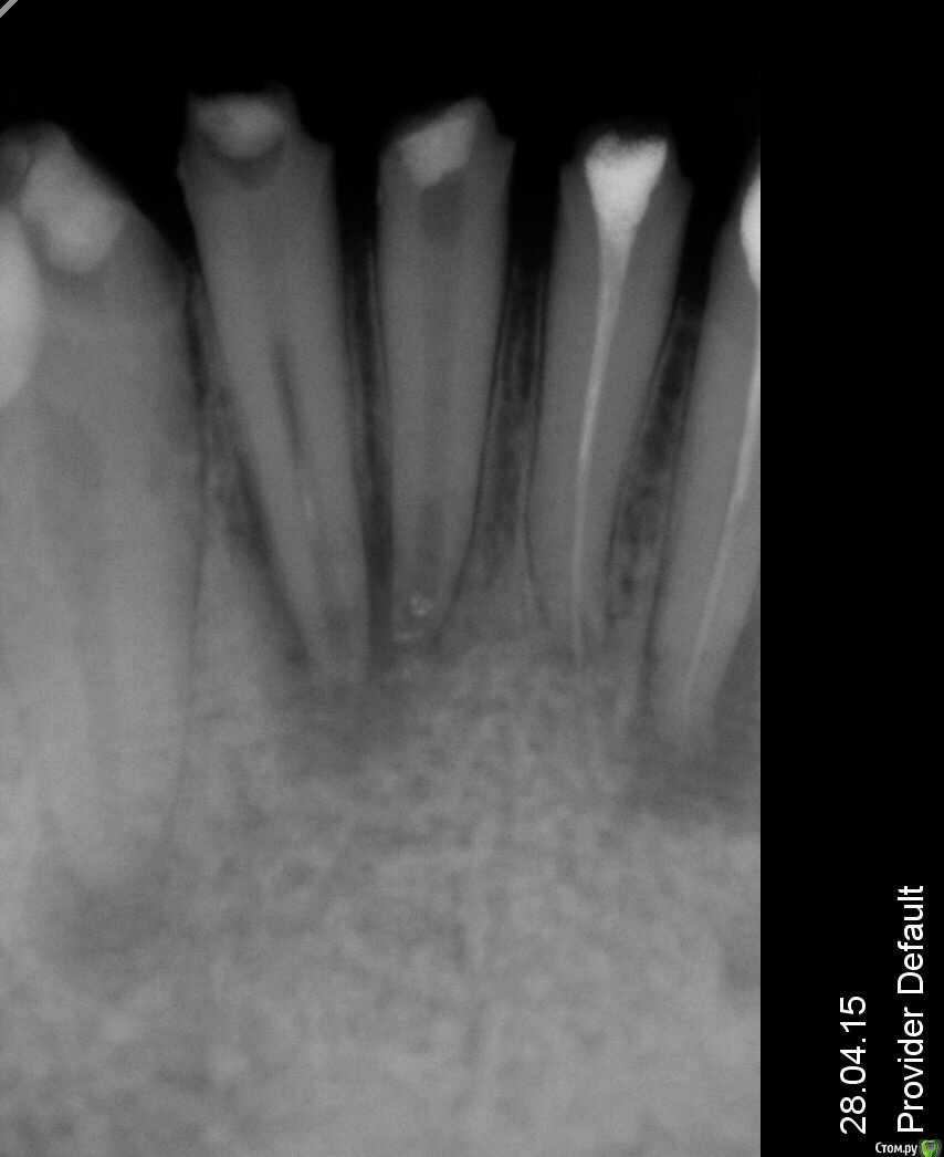
Сашуля Опубликовано 8 декабря, 2016 Поделиться Опубликовано 8 декабря, 2016 (изменено) Здравствуйте уважаемые стоматологи.Очень хочется получить совет.Имею хронический периодонтит. Температура 37,3 постоянно, впрочем, это мне не мешает.Первое фото. Когда обнаружили периодонтит. 2013 год.Второе фото-в процессе лечения.Мне запломбировали каналы, постави вкладку, налили пластиковую временную коронку и отправили в свободное плавание. Зуб никак не беспокоил.Наблюдалась, делала снимки с определённой периодичностью. Зуб не беспокоил.Сейчас настал решающий момент. Последние два снимка были сделаны сегодня. Сторона с проблемным зубом ноет, непонятно, что это болит, толи соседние зубы, толи периодонтит беспокоит. Боль усиливается к вечеру. При надавливании на проблемный зуб острая боль. При внешнем осмотре всё в норме.Вообще грозятся удалять или сделать Гемисекцию. Чего мне ожидать, может быть можно по данным снимкам чтото выяснить.Спасибо. Изменено 8 декабря, 2016 пользователем Сашуля Ссылка на комментарий
DmitrySH Опубликовано 8 декабря, 2016 Поделиться Опубликовано 8 декабря, 2016 Последний снимок не четкий. Видимо нужна ревизия каналов. Еще 5тый зуб, кариес под пломбой 1 Ссылка на комментарий
IvanK Опубликовано 8 декабря, 2016 Поделиться Опубликовано 8 декабря, 2016 Последний снимок выглядит не плохо, я бы сделал кт скорее всего у Вас пульпит 5го Боль усиливается к вечеру. 1 Ссылка на комментарий
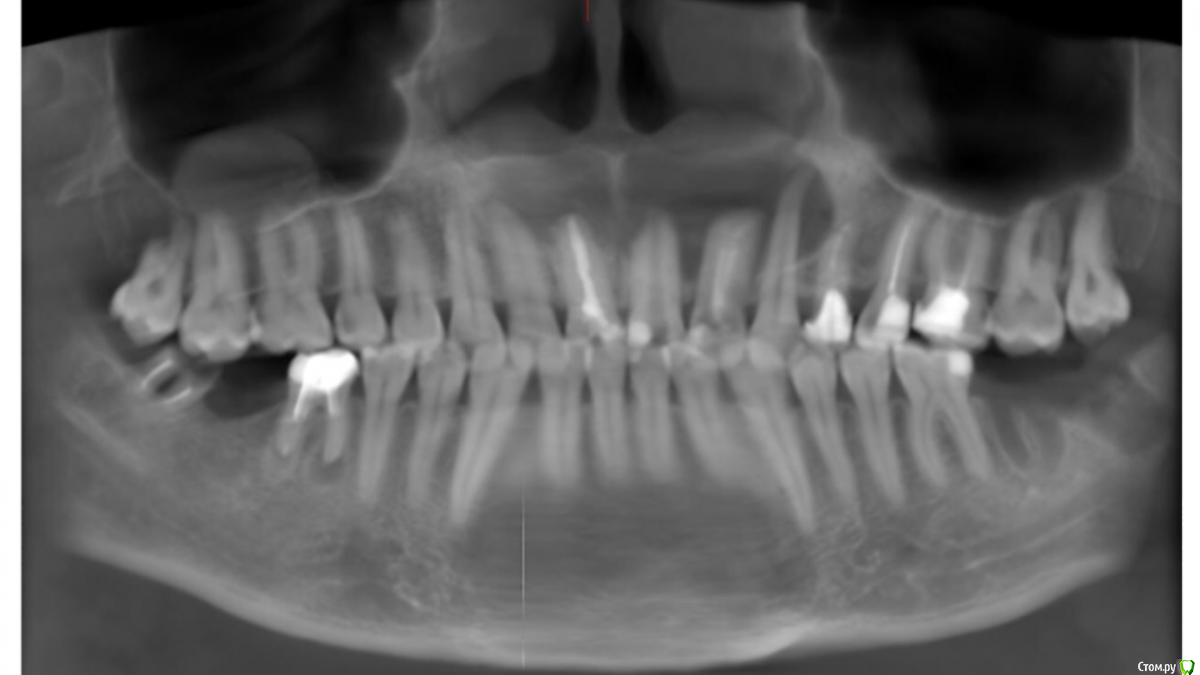
Сашуля Опубликовано 8 декабря, 2016 Автор Поделиться Опубликовано 8 декабря, 2016 (изменено) Спасибо за внимание к моей проблеме. Меня отправили на 3Д снимок, завтра. Потом иду к доктору. Но эта боль. Боюсь принять окончательное решение.На 5 чтото непонятное, да. Разные доктора это видели, но ничего не говорили, за 3 года это пятно не изменилось никак. Изменено 8 декабря, 2016 пользователем Сашуля Ссылка на комментарий
IvanK Опубликовано 8 декабря, 2016 Поделиться Опубликовано 8 декабря, 2016 за 3 года это пятно не изменилось никак. очень сомневаюсь Ссылка на комментарий
Сашуля Опубликовано 8 декабря, 2016 Автор Поделиться Опубликовано 8 декабря, 2016 очень сомневаюсь На снимке 2013 года и сегодняшнего дня, мне кажется, нет разницы. Добавила ещё одно фото сегодняшнего снимка. Но если Вы, как специалист, рекомендуете сделать внимание и на этом зубе, не могу не согласиться. Ссылка на комментарий
IvanK Опубликовано 8 декабря, 2016 Поделиться Опубликовано 8 декабря, 2016 Считаю, что изменения есть 1 Ссылка на комментарий
DmitrySH Опубликовано 8 декабря, 2016 Поделиться Опубликовано 8 декабря, 2016 Сделайте КТ и посмотрим. 1 Ссылка на комментарий
Сашуля Опубликовано 8 декабря, 2016 Автор Поделиться Опубликовано 8 декабря, 2016 Считаю, что изменения естьА вообще, при периодонтиты может болеть зуб? Нерва же нет в зубе уже. Совсем в этом не разбираюсь и мой периодонтит был обнаружен случайно. И сейчас, при нажатии на этот зуб какая то странная боль. При нажатии на 5 боли нет....совсем путаница от нервов и беспокойства началась. Ссылка на комментарий
DmitrySH Опубликовано 8 декабря, 2016 Поделиться Опубликовано 8 декабря, 2016 А вообще, при периодонтиты может болеть зуб? Нерва же нет в зубе уже. Совсем в этом не разбираюсь и мой периодонтит был обнаружен случайно. И сейчас, при нажатии на этот зуб какая то странная боль. При нажатии на 5 боли нет....совсем путаница от нервов и беспокойства началась. Да, может. Еще как может болеть. Только не сам зуб болит, а ткани вокруг зуба. 3 Ссылка на комментарий
Сашуля Опубликовано 8 декабря, 2016 Автор Поделиться Опубликовано 8 декабря, 2016 (изменено) Да, может. Еще как может болеть. Только не сам зуб болит, а ткани вокруг зуба. Утром пила кетанов( есть только он), надеюсь, ничего страшного не будет, если выпью перед сном, чтоб завтра на утро до визита к врачу хватило. Пока потерплю.Вот про гемисекцию никто ничего не ответил. Завтра надо думать, что делать. Болит сильно, на кетанове долго не просидишь, впереди ещё выходные. Изменено 8 декабря, 2016 пользователем Сашуля Ссылка на комментарий
DmitrySH Опубликовано 8 декабря, 2016 Поделиться Опубликовано 8 декабря, 2016 Вот про гемисекцию никто ничего не ответил. нет смысла 4 Ссылка на комментарий
Сашуля Опубликовано 8 декабря, 2016 Автор Поделиться Опубликовано 8 декабря, 2016 нет смыслаВ каком смысле, нет смысла?Вообще, процедура бессмысленная или как? Просто, если так сильно болит надо срочно чтото делать? И предложили только два варианта. Ссылка на комментарий
DmitrySH Опубликовано 8 декабря, 2016 Поделиться Опубликовано 8 декабря, 2016 В каком смысле, нет смысла?Вообще, процедура бессмысленная или как? Просто, если так сильно болит надо срочно чтото делать? И предложили только два варианта. Можно убрать проблемную половину зуба, но со второй половиной ничего толкового не сделать потом. тупиковый путь. У вас 2 варианта.извлечение вкладки и перелечивание зуба либо удаление и имплантация. 1 Ссылка на комментарий
IvanK Опубликовано 9 декабря, 2016 Поделиться Опубликовано 9 декабря, 2016 нет смысла перелечивание зуба либо удаление и имплантация. +1 1 Ссылка на комментарий
Гарриевич Опубликовано 9 декабря, 2016 Поделиться Опубликовано 9 декабря, 2016 + 1 Ссылка на комментарий
Сашуля Опубликовано 9 декабря, 2016 Автор Поделиться Опубликовано 9 декабря, 2016 (изменено) Можно убрать проблемную половину зуба, но со второй половиной ничего толкового не сделать потом. тупиковый путь. У вас 2 варианта.извлечение вкладки и перелечивание зуба либо удаление и имплантация. +1 +Всем спасибо за ответ.Сделали мне снимок и обнаружилась киста. В клинике хирургов не оказалось, один в отпуске второй в Америке. Сказали либо удалять кисту и попробовать оставить зуб либо удалять зуб.Сейчас попробую извлечь снимки. Или если болит с кистой, то только удалять? Изменено 9 декабря, 2016 пользователем Сашуля Ссылка на комментарий
Гарриевич Опубликовано 9 декабря, 2016 Поделиться Опубликовано 9 декабря, 2016 вот "киста"А ниже снимок через 1,5 года, нет "киста". Лечите, если есть мотивация 1 Ссылка на комментарий
IvanK Опубликовано 11 декабря, 2016 Поделиться Опубликовано 11 декабря, 2016 @Гарриевич,отличный результата! Сказали либо удалять кисту и попробовать оставить зуб либо удалять зуб. советую сходить к Коллеге.. 1 Ссылка на комментарий
Гарриевич Опубликовано 12 декабря, 2016 Поделиться Опубликовано 12 декабря, 2016 @Гарриевич,отличный результата! Спасибо)Позже выложу полный кейс) Ссылка на комментарий
Сашуля Опубликовано 12 декабря, 2016 Автор Поделиться Опубликовано 12 декабря, 2016 (изменено) Увы, киста была слишком большого размера, 7 - 8 мм, не подлежащая лечению. Всё, сильно воспалённое, удалили.Но, у всех специалистов разное мнение.... Будет имплант. Изменено 12 декабря, 2016 пользователем Сашуля Ссылка на комментарий
red_butler Опубликовано 12 декабря, 2016 Поделиться Опубликовано 12 декабря, 2016 тему можно закрывать? 1 Ссылка на комментарий
Гарриевич Опубликовано 13 декабря, 2016 Поделиться Опубликовано 13 декабря, 2016 (изменено) Просто для понимания и для других пациентов, которые может буду читать вашу тему. Вот тут "киста" размером в 2-3 см и это НЕ показание к удалению. Сейчас пациент проходит терапевтическое лечение, все симптомы исчезли. Размер поражения абсолютно не влияет на исход лечения Изменено 13 декабря, 2016 пользователем Гарриевич 5 Ссылка на комментарий
Сашуля Опубликовано 13 декабря, 2016 Автор Поделиться Опубликовано 13 декабря, 2016 Просто для понимания и для других пациентов, которые может буду читать вашу тему. Вот тут "киста" размером в 2-3 см и это НЕ показание к удалению. Сейчас пациент проходит терапевтическое лечение, все симптомы исчезли. Размер поражения абсолютно не влияет на исход леченияIMG_9649.PNGЗначит, возможно, мой зуб можно было спасти?!!!!Жаль, что не смогла попасть к Вам на приём. Все стоматологи разные, для кого-то это просто бизнес((( думаешь, идёшь к специалисту ..... Ссылка на комментарий
IvanK Опубликовано 14 декабря, 2016 Поделиться Опубликовано 14 декабря, 2016 удаление - один из вариантов лечения, тему закрываем? Ссылка на комментарий
Рекомендуемые сообщения
Для публикации сообщений создайте учётную запись или авторизуйтесь
Вы должны быть пользователем, чтобы оставить комментарий
Создать аккаунт
Зарегистрируйте новый аккаунт в нашем сообществе. Это очень просто!
Регистрация нового пользователяВойти
Уже есть аккаунт? Войти в систему.
Войти