Перейти к содержанию
Стоматология для всех

Эндобудни


SatoSan

Рекомендуемые сообщения

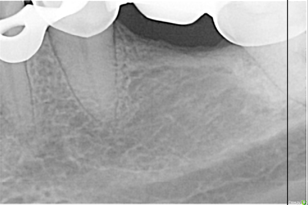
Всем доброго дня! В коем то веке появилась свободная минутка и решил поделиться с вами несколькими кейсами. Обострение хронического периодонтита 27, каналонаполнитель в нёбном канале. Коффердам, извлечение каналонаполнителя, хлорка, лимонка, УЗ, кальций. Обтурация Ah+ латеральная компакция.

post-33842-0-30571900-1481155446_thumb.png

post-33842-0-51446800-1481155482_thumb.png

Ссылка на комментарий

По закону парных случаев с интервалом в неделю приходит обострение хронического периодонтита 15 с каналонаполнителем в вестибулярном канале. Стандартная обработка. На обтурации долго возился с определением рабочей длинны и видимо получилось так себе... Аверон не тащит, да и снимок не всегда объективен. Коплю на Морита Root ZX Mini)))

post-33842-0-26925900-1481157455_thumb.png

post-33842-0-99151600-1481157487_thumb.png

Ссылка на комментарий

Закон парных случаев в этот летний месяц превзошел себя! Апогеем стал периодонтит 34 с двумя каналонаполнителями, при этом один торчал за апекс. Тут пришлось повозиться, достал через 40 минут. И вроде бы апикальный упор был и мерял-перемерял и всё равно паф.((( Как думаете мастер за апексом? Так как дело было летом, после НГ вызову на контроль и обязательно поделюсь результатом! 

post-33842-0-57412900-1481158370_thumb.png

post-33842-0-93881800-1481158390_thumb.png

post-33842-0-07981100-1481158411_thumb.png

post-33842-0-71911800-1481158425_thumb.png

Ссылка на комментарий

Для публикации сообщений создайте учётную запись или авторизуйтесь

Вы должны быть пользователем, чтобы оставить комментарий

Создать аккаунт

Зарегистрируйте новый аккаунт в нашем сообществе. Это очень просто!

Регистрация нового пользователя

Войти

Уже есть аккаунт? Войти в систему.

Войти
×
×
  • Создать...
Вверх