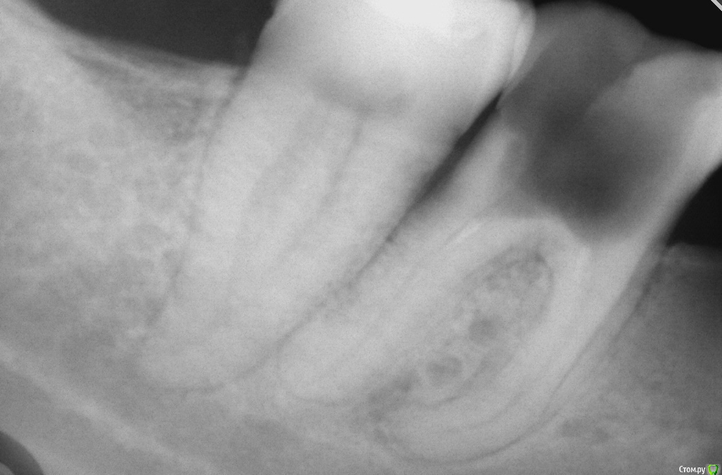
simpsons Опубликовано 7 декабря, 2016 Поделиться Опубликовано 7 декабря, 2016 Пациентка обратилась по поводу лечения 46. Ранее зуб был лечен 3 месяца назад в другой клинике. Зуб открыт,не беспокоит. Интересно мнение коллег. Удалять или лечить? Ссылка на комментарий
simpsons Опубликовано 7 декабря, 2016 Автор Поделиться Опубликовано 7 декабря, 2016 добавлю.Кариес в полости зуба снимался пластами. Рот открывается слабо. Ссылка на комментарий
St. Опубликовано 7 декабря, 2016 Поделиться Опубликовано 7 декабря, 2016 (изменено) Если твердых тканей достаточно по стенкам и по фуркации тоже( по снимку там тонковато...) то эндо и коронка.По поводу доступа - решать Вам, сможете это адекватно сделать или стоит отправить куда-то. Но тут еще нужно учитывать хочет ли это пациент и готов ли на это финансово. Если месяц ходит с открытым недолеченым зубом, то в этом есть сомнения. Изменено 7 декабря, 2016 пользователем St. 2 Ссылка на комментарий
vse32 Опубликовано 7 декабря, 2016 Поделиться Опубликовано 7 декабря, 2016 Согласна с предыдущим постом. Если есть возможности полноценного восстановления функции, а у пациента желание и финансы. Надо делать.У меня в настоящее время есть похожий 37. Все стенки на месте (хотя снимок выглядит страшновато), небольшая резорбция костной ткани на апексах, полгода открыт (мотивация госа не держит герметизм). Пациент молодой. После первой же обработки в эту пятницу "начал держать герметизм"))). Ссылка на комментарий
simpsons Опубликовано 7 декабря, 2016 Автор Поделиться Опубликовано 7 декабря, 2016 Спасибо.Стенки очень тонкие Ссылка на комментарий
Kolchanov Опубликовано 7 декабря, 2016 Поделиться Опубликовано 7 декабря, 2016 Это снимок после некрэктомии? Если так, то я бы предложил покрутиться. Вполне годный зуб. 1 Ссылка на комментарий
Рекомендуемые сообщения
Для публикации сообщений создайте учётную запись или авторизуйтесь
Вы должны быть пользователем, чтобы оставить комментарий
Создать аккаунт
Зарегистрируйте новый аккаунт в нашем сообществе. Это очень просто!
Регистрация нового пользователяВойти
Уже есть аккаунт? Войти в систему.
Войти