togrul Опубликовано 25 ноября, 2016 Поделиться Опубликовано 25 ноября, 2016 Всем добрый вечер.Сазонова 1.bmpсазонова.bmp 4 Ссылка на комментарий
togrul Опубликовано 25 ноября, 2016 Автор Поделиться Опубликовано 25 ноября, 2016 снимки Ссылка на комментарий
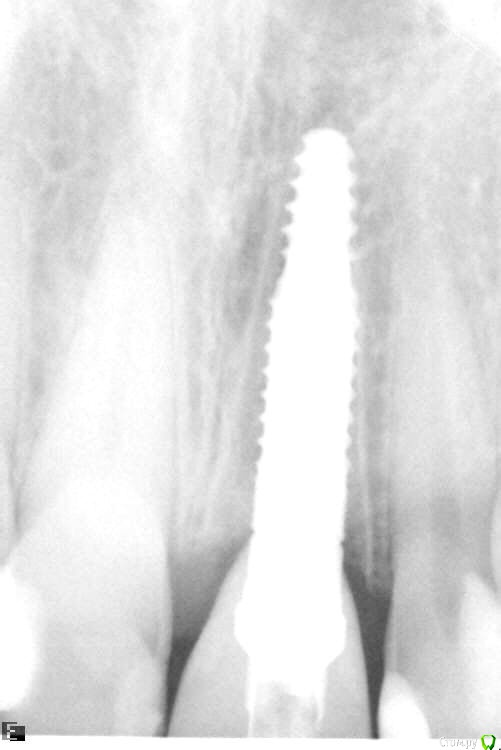
kamranchick Опубликовано 26 ноября, 2016 Поделиться Опубликовано 26 ноября, 2016 Отлично, надо было заглубить. был графт? Ссылка на комментарий
IvanK Опубликовано 26 ноября, 2016 Поделиться Опубликовано 26 ноября, 2016 в идеале, шахта должна выходить в слепую ямку 2 Ссылка на комментарий
Доктор Добрых Дел Опубликовано 26 ноября, 2016 Поделиться Опубликовано 26 ноября, 2016 Края лунки выглядят как будто в ней граната разорвалась. И согласен с коллегами нужно было ещё заглубить и платформу нёбнее немного. Ссылка на комментарий
togrul Опубликовано 26 ноября, 2016 Автор Поделиться Опубликовано 26 ноября, 2016 (изменено) Края лунки выглядят как будто в ней граната разорвалась. И согласен с коллегами нужно было ещё заглубить и платформу нёбе немного.Спасибо за замечание. При удалении пришлось повозиться. Отлично, надо было заглубить. был графт?Да надо было)Да был Лиопласт. Нужно было Bio oss Изменено 26 ноября, 2016 пользователем togrul Ссылка на комментарий
kamranchick Опубликовано 26 ноября, 2016 Поделиться Опубликовано 26 ноября, 2016 я думаю здесь лучше бы без графта) Ссылка на комментарий
Nazim_NV86 Опубликовано 27 ноября, 2016 Поделиться Опубликовано 27 ноября, 2016 Я в таких случаях сыплю немного керамики (bego-os) и сст пожирнее. Формик на уровне десны. Никогда не мучаюсь с точным углом имплантата. +-10`. В любом случае будет индивид абатмент. Ссылка на комментарий
kriokov Опубликовано 27 ноября, 2016 Поделиться Опубликовано 27 ноября, 2016 а почему Самадос глубже, чем у топикстартера крутить надо? Ссылка на комментарий
kamranchick Опубликовано 27 ноября, 2016 Поделиться Опубликовано 27 ноября, 2016 а почему Самадос глубже, чем у топикстартера крутить надо?по соотношению ЦЭС соседнего зуба, разницы нет какой имплик) Ссылка на комментарий
kriokov Опубликовано 27 ноября, 2016 Поделиться Опубликовано 27 ноября, 2016 по соотношению ЦЭС соседнего зуба, разницы нет какой имплик)я толком с семадос не знаком, но у них шестигранник и есть болты с фрезерованной шеей. Топикстартер мог бы лучше пояснить. Ссылка на комментарий
togrul Опубликовано 28 ноября, 2016 Автор Поделиться Опубликовано 28 ноября, 2016 я толком с семадос не знаком, но у них шестигранник и есть болты с фрезерованной шеей. Топикстартер мог бы лучше пояснить. Добрый день. Семадос шестигранное соединение, как мне объяснили имплантат должен быть поставлен на 3 мм от будущего зенита. Для формирования профиля мягких тканей . 1 Ссылка на комментарий
OMFS Опубликовано 29 ноября, 2016 Поделиться Опубликовано 29 ноября, 2016 Молодец! 1 Ссылка на комментарий
Рекомендуемые сообщения
Для публикации сообщений создайте учётную запись или авторизуйтесь
Вы должны быть пользователем, чтобы оставить комментарий
Создать аккаунт
Зарегистрируйте новый аккаунт в нашем сообществе. Это очень просто!
Регистрация нового пользователяВойти
Уже есть аккаунт? Войти в систему.
Войти