bobrdobr Опубликовано 12 ноября, 2016 Поделиться Опубликовано 12 ноября, 2016 Здравствуйте, уважаемые доктора! Однажды здесь мне уже помогли. Большое спасибо. Теперь тема касается родственника. Планируется удаление части зубов и протезирование на имплантах. Уже отсутствуют 14, 24, 25, 31 зубы, 16 и 26 разрушены, 41 шатается. Заранее извиняюсь за размер снимка. Полноразмерный снимок прикреплю через несколько дней. Вопросы:Под удаление 16, 26, 37 и 41, верно? Правильно понимаю, что в идеале нужно 2 импланта в область 14-16, 2 импланта в область 24-26, 1 имплант вместо 37 и 2 импланта в область нижних резцов? Можно ли где-то применить мост с опорой на существующие зубы? В каком порядке лучше протезироваться? Сделать все сразу не позволяет бюджет Заранее спасибо. Ссылка на комментарий
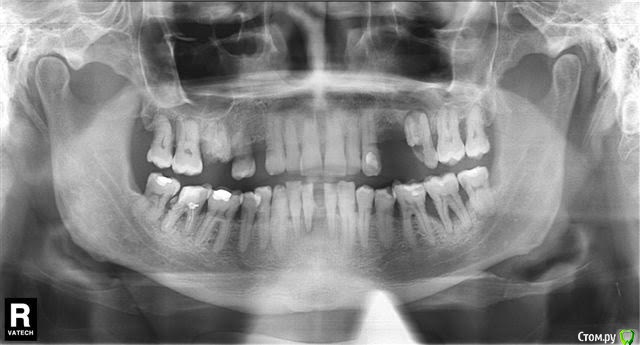
bobrdobr Опубликовано 14 ноября, 2016 Автор Поделиться Опубликовано 14 ноября, 2016 (изменено) Снимок в полном размере Изменено 14 ноября, 2016 пользователем bobrdobr Ссылка на комментарий
Nazim_NV86 Опубликовано 15 ноября, 2016 Поделиться Опубликовано 15 ноября, 2016 (изменено) Сначала удаления, пародонтолог,санация, бросить курить и потом планирование протезирования. Изменено 15 ноября, 2016 пользователем Nazim_NV86 Ссылка на комментарий
Nazim_NV86 Опубликовано 15 ноября, 2016 Поделиться Опубликовано 15 ноября, 2016 КЛКТ не забудьте. Обстоятельств много надо учесть. На первый взгляд я почти согласен с вашим планом. Ссылка на комментарий
bobrdobr Опубликовано 15 ноября, 2016 Автор Поделиться Опубликовано 15 ноября, 2016 Сначала удаления, пародонтолог,санация, бросить курить и потом планирование протезирования. Спасибо за ответ. Парадонтолога посетили, сделали чистку. Планируем лечение. Пациент бросил курить 20 лет назад. КЛКТ не забудьте. Обстоятельств много надо учесть. На первый взгляд я почти согласен с вашим планом. Спасибо за совет. Куда имплант просится в первую очередь? Рассматриваем вариант поставить имплант вместо 37, а на верхние жевательные зубы сделать съемный протез. Кстати, почему ушла кость вокруг 37? Зуб, по сути, потерян. Ссылка на комментарий
Рекомендуемые сообщения
Для публикации сообщений создайте учётную запись или авторизуйтесь
Вы должны быть пользователем, чтобы оставить комментарий
Создать аккаунт
Зарегистрируйте новый аккаунт в нашем сообществе. Это очень просто!
Регистрация нового пользователяВойти
Уже есть аккаунт? Войти в систему.
Войти