Гарриевич Опубликовано 1 ноября, 2017 Автор Поделиться Опубликовано 1 ноября, 2017 Юр,не мудри! Наковырял и еще крови радуешься при недоразвитом апексе.И про прыщ вообще убило.Там уже гноем всё давным давно расплавлено.Ну ты даёшь! Делай апексификацию и не насилуй несчастного человека Да никто и не насиловал. Вырастить ничего не получилось, а избавиться от периодонтита получилось)Придёт на осмотр скоро, выложуНа счёт гной расплавил, рикуччи по данным своих опытов утверждает, что даже при огромных процессиях, часть пульпы ещё есть. Тут мне просмотре хватило мануала Ссылка на комментарий
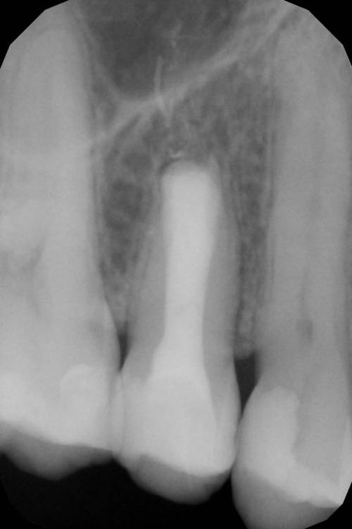
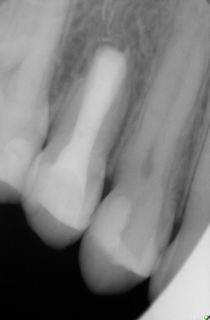
Гарриевич Опубликовано 2 августа, 2018 Автор Поделиться Опубликовано 2 августа, 2018 Вот вся история в картинках 13 Ссылка на комментарий
ger_berra Опубликовано 9 августа, 2018 Поделиться Опубликовано 9 августа, 2018 Вот вся история в картинкахF3CD8F8E-36A2-482B-BFD4-6A0883546283.jpeg2A06B29D-2BDF-4869-A8F8-E02567619146.jpeg47F31C36-F9FE-40C6-9236-3A6203A894B7.jpeg8459AB75-F819-4664-9906-DB4BDCE505D2.jpeg9937DA00-9922-402C-AA29-5DD806AA0714.jpeg37DDB315-6893-49F4-A949-06BC6B58F996.jpegОтличный результат! 1 Ссылка на комментарий
Гарриевич Опубликовано 2 октября, 2018 Автор Поделиться Опубликовано 2 октября, 2018 Спасибо) Ссылка на комментарий
Гарриевич Опубликовано 15 сентября, 2019 Автор Поделиться Опубликовано 15 сентября, 2019 результат через 2,5 года 5 Ссылка на комментарий
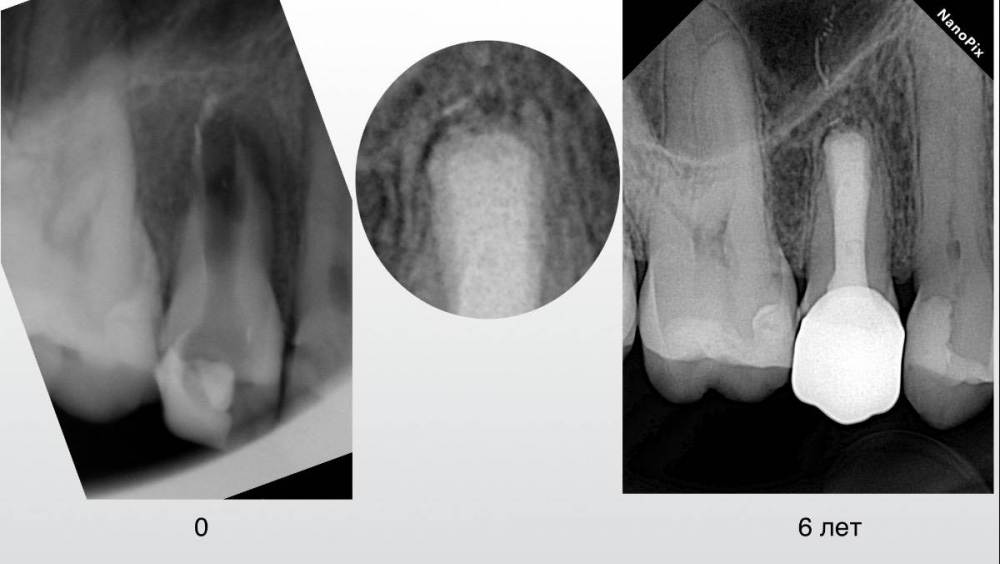
Гарриевич Опубликовано 22 апреля, 2022 Автор Поделиться Опубликовано 22 апреля, 2022 (изменено) 2020 год. Прошло 4 Года. Скоро посмотрим реколл 6 лет:) Изменено 22 апреля, 2022 пользователем Гарриевич 5 1 Ссылка на комментарий
Гарриевич Опубликовано 27 марта, 2023 Автор Поделиться Опубликовано 27 марта, 2023 6 лет прошло 3 1 2 Ссылка на комментарий
Рекомендуемые сообщения
Для публикации сообщений создайте учётную запись или авторизуйтесь
Вы должны быть пользователем, чтобы оставить комментарий
Создать аккаунт
Зарегистрируйте новый аккаунт в нашем сообществе. Это очень просто!
Регистрация нового пользователяВойти
Уже есть аккаунт? Войти в систему.
Войти