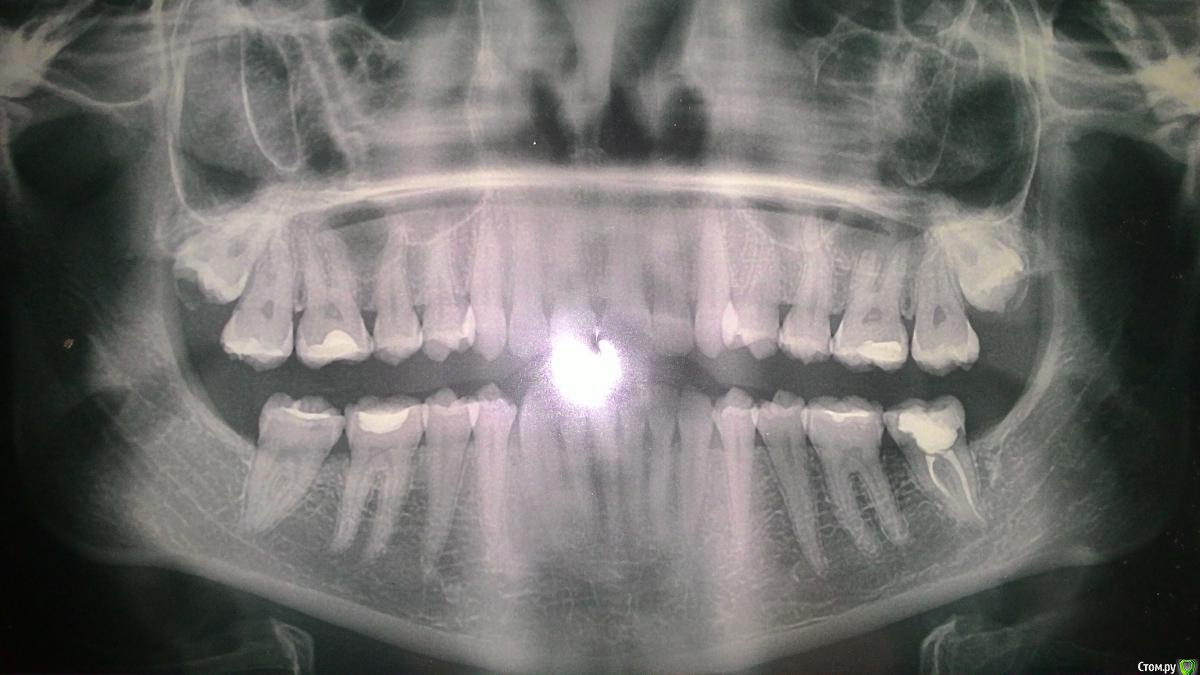
MargaritaM Опубликовано 29 октября, 2016 Поделиться Опубликовано 29 октября, 2016 Здравствуйте! Помогите, пожалуйста, советом, куда идти и что делать. С декабря 2013 года наблюдаюсь на Вучетича у профессора-хирурга (ЧЛХ). Диагноз: ретинированные верхние восьмерки, правая с зубосодержащей кистой. Хирург отказывается удалять, так как не видит хирургических причин удалять. На тему кисты говорит, что ничего страшного, если не растет - с ней можно всю жизнь проходить. Также не хочет удалять, т.к. с высокой вероятностью будет свищ, перфорация в пазуху. Делали ЭОД, хирург указал, что ноющая боль вызвана правой верхней шестеркой. Терапевт говорила, что всё с ней хорошо, но так как года 3 постоянно на нее жаловалась, удалили нерв. Удаление произошло не без приключений: заложили девитпасту на неделю, через 3 дня после заложения пасты адская боль, ее коллега удалила нерв (гноя, запаха не было, нерв не "рвался"), боль держалась, оставили зуб без пломбы на 2 дня, потом закладывали лекарство еще на 2 дня и прописали антибиотики. Боль постепенно стихала, но держалась. Дырку заделали пломбой. Сделали снимок - все каналы заделаны хорошо. После постановки пломбы зуб ныл около 2х недель. До сих пор периодичеки шестерка ныла, особенно когда простужалась или сильно нервничала. Сейчас есть как 4й день ноющая нестихающая боль в области между правой восьмеркой и шестеркой, с усилением ближе к ночи. Первые 3 дня ныла незначительно, сейчас уже сильнее. Есть ощущение, что десна немного припухла, цвет розовый, как у десны около других зубов. Подскажите, пожалуйста, шаг действий и куда еще можно обратиться на тему консультации с дальнейшим лечением/удалением.Пока записалась на прием к другому стоматологу-терапевту на консультацию на 2 ноября. Но сегодня 29 октября, как бы за 4 суток не стало поздно Ссылка на комментарий
IvanK Опубликовано 29 октября, 2016 Поделиться Опубликовано 29 октября, 2016 Советую послушать мнение других специалистов... http://forum.stom.ru/topic/4752-posovetujte-terapevta-v-gorode-n/page-38 выкладывайте снимки после и в процессе лечения Ссылка на комментарий
kramer Опубликовано 29 октября, 2016 Поделиться Опубликовано 29 октября, 2016 Я бы удалил обе 8ки. Риск перфорации есть всегда, но это управляемо - можно же пластику сделать, ушить. Далее разбираться с 6 зубом. 1 Ссылка на комментарий
MargaritaM Опубликовано 29 октября, 2016 Автор Поделиться Опубликовано 29 октября, 2016 Хирург говорил о такой перфорации, которую он не сможет заделать или ушить. Т.е. сразу предупредил, что будет вторая операция - уже в ЛОР-отделении. Вот эта страшилка и держит меня третий год от удаления. Ссылка на комментарий
АнтонТЛТ Опубликовано 29 октября, 2016 Поделиться Опубликовано 29 октября, 2016 Хирург говорил о такой перфорации, которую он не сможет заделать или ушить. Т.е. сразу предупредил, что будет вторая операция - уже в ЛОР-отделении. Вот эта страшилка и держит меня третий год от удаления.По ходу какой-то не опытный хирург 1 Ссылка на комментарий
MargaritaM Опубликовано 30 октября, 2016 Автор Поделиться Опубликовано 30 октября, 2016 Уважаемые доктора, я тогда верно понимаю, что хоть у меня и ретинированные зубы мудродсти (один с кистой - ?), то случай является достаточно простым и если умелые руки хирурга, то удалить их без осложнения возможно? Или нужно искать не просто стоматолога-хирурга, а ехать в больницу ЧЛХ? Ссылка на комментарий
kladoffka Опубликовано 30 октября, 2016 Поделиться Опубликовано 30 октября, 2016 Вообще сложностей не увидел в обоих зубах. 2 Ссылка на комментарий
kramer Опубликовано 30 октября, 2016 Поделиться Опубликовано 30 октября, 2016 Уважаемые доктора, я тогда верно понимаю, что хоть у меня и ретинированные зубы мудродсти (один с кистой - ?), то случай является достаточно простым и если умелые руки хирурга, то удалить их без осложнения возможно? Или нужно искать не просто стоматолога-хирурга, а ехать в больницу ЧЛХ?Никто не может гарантировать отсутствие осложнений. Но ложиться в стационар для таких удалений кажется мне нерациональным. Ссылка на комментарий
Kazankov.Egor Опубликовано 30 октября, 2016 Поделиться Опубликовано 30 октября, 2016 Кт верхней челюсти сделать нужно, сложности в удалении зубов нет, перфорация верхнечелюстной пазухи - рутинная амбулаторная процедура, решается за 20 минут.Не понятно что будет искать ЛОР. Ссылка на комментарий
MargaritaM Опубликовано 3 ноября, 2016 Автор Поделиться Опубликовано 3 ноября, 2016 Докладываюсь.Была у терапевта. Причина зубных болей - плохо пролеченный 6й зуб. Будем его переделывать и лечить. Как вылечу 6, обещала направить к хирургу по поводу 8ок на консультацию. Ссылка на комментарий
MargaritaM Опубликовано 3 января, 2017 Автор Поделиться Опубликовано 3 января, 2017 (изменено) Отписываюсь по статусу: правую восьмерку удалили. Удаляли около часа. Больно не было. Врач удалил зуб аккуратно, без перфорации. Уже сняли швы. Дорогие доктора, спасибо за помощь! Ваши ответы помогли принять правильное решение. Как же хорошо, когда зубки не болят! Тему можно закрывать. Изменено 3 января, 2017 пользователем MargaritaM 1 Ссылка на комментарий
Рекомендуемые сообщения