dr.Dre Опубликовано 15 октября, 2016 Поделиться Опубликовано 15 октября, 2016 Добрый день коллеги,реально ли извлечь инструмет,в наличии есть бинокуляры ,какими методиками посоветуете? Ссылка на комментарий
vse32 Опубликовано 15 октября, 2016 Поделиться Опубликовано 15 октября, 2016 Нет, мне кажется не реально при таких условиях. Максимум, обойти и запаковать. Если удастся. Ссылка на комментарий
Pan Опубликовано 15 октября, 2016 Поделиться Опубликовано 15 октября, 2016 ценность такого зуба для будущего протезирования также не очевидна 2 Ссылка на комментарий
johniola Опубликовано 15 октября, 2016 Поделиться Опубликовано 15 октября, 2016 Попец. Ссылка на комментарий
Л Ю С Я Опубликовано 15 октября, 2016 Поделиться Опубликовано 15 октября, 2016 Без микроскопа никак Ссылка на комментарий
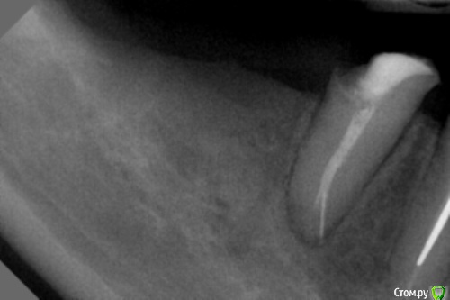
Stom22 Опубликовано 19 октября, 2016 Поделиться Опубликовано 19 октября, 2016 (изменено) Тут велика вероятность при извлечении инструмента протолкнуть его за апекс. Лучше там его и оставить. Из двух зол выбирать надо меньшее. Пациенту объяснить, что зуб не гарантийный, "сколько послужит - столько послужит", у некоторых такие зубы по 10 лет стоят без симптоматики. И по снимку не очень понятно, кажется ложный ход создан инструментом, если так, то это уже хуже и может развиться симптоматика. Изменено 19 октября, 2016 пользователем Stom22 Ссылка на комментарий
dr.Dre Опубликовано 20 октября, 2016 Автор Поделиться Опубликовано 20 октября, 2016 Всем спасибо за ответы Ссылка на комментарий
Kolchanov Опубликовано 20 октября, 2016 Поделиться Опубликовано 20 октября, 2016 Вопрос был о технической стороне дела, но не в ней дело, а в том, надо ли вообще его извлекать? Что с зубом, почему пришел, что за инструмент, когда там очутился, при каких условиях и т.д. и т.п. Ссылка на комментарий
dr.Dre Опубликовано 4 ноября, 2016 Автор Поделиться Опубликовано 4 ноября, 2016 Вопрос был о технической стороне дела, но не в ней дело, а в том, надо ли вообще его извлекать? Что с зубом, почему пришел, что за инструмент, когда там очутился, при каких условиях и т.д. и т.п.нужно извлекать пациент жалуется на боли,зуб обтурирован года 2 говорит пациент Ссылка на комментарий
red_butler Опубликовано 6 ноября, 2016 Поделиться Опубликовано 6 ноября, 2016 что с антагонистами? Я бы убрал зуб Ссылка на комментарий
Рекомендуемые сообщения
Для публикации сообщений создайте учётную запись или авторизуйтесь
Вы должны быть пользователем, чтобы оставить комментарий
Создать аккаунт
Зарегистрируйте новый аккаунт в нашем сообществе. Это очень просто!
Регистрация нового пользователяВойти
Уже есть аккаунт? Войти в систему.
Войти