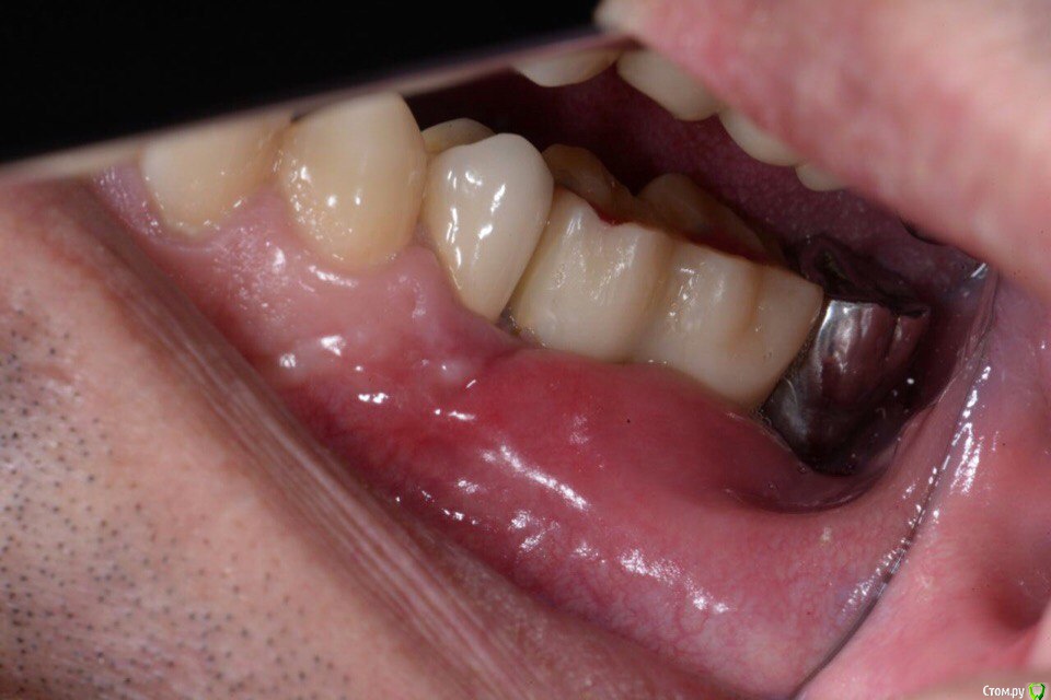
Малик Опубликовано 13 октября, 2016 Поделиться Опубликовано 13 октября, 2016 (изменено) Установлено 2 имплантата одномоментно с НКР, заживление без особенностей. Через 6 месяцев поставил формирователи с пластикой десны (Использовал шашлычки). Получил объем неприкрепленной десны, планировал провести вестибулопластику,но более старшие коллеги посоветовали ничего не делать,сказав,что со временем ситуация сама улучшится и что нужно нужно начать временное протезирование. После того как ортопед установил временные коронки,через 2 недели пациент пришел с жалобами на зуд в области 8-го зуба,было выявлена небольшая гиперемия в области 8 зуба, ортопед снял коронки, в области имплантатов все было стабильно,промыл и зафиксировал все на место, посетовав на возможную небольшую травму во время приема пищи. Но через неделю пациент пациент вернулся ,но уже с жалобами на сильный зуд в области имплантатов, болей нет , просто зуд и жжение и хочется все снять - это по словам пациента. Наблюдается гиперемия десны в этой области. Подскажите что это может быть? связано ли это с отсутствием прикрепленной слизистой? фотки ниже прилагаю.Ситуация до через месяц после пластики десны на сегодняшний день Изменено 13 октября, 2016 пользователем Малик Ссылка на комментарий
Жандос Муратович Опубликовано 13 октября, 2016 Поделиться Опубликовано 13 октября, 2016 снимок не делали? материал времянок попробуйте поменять Ссылка на комментарий
Малик Опубликовано 13 октября, 2016 Автор Поделиться Опубликовано 13 октября, 2016 снимок не делали? материал времянок попробуйте поменятьортопед смотрел без меня,снимок не делали.. в субботу сделаем. Думаете аллергическая реакция? Ссылка на комментарий
АнтонТЛТ Опубликовано 13 октября, 2016 Поделиться Опубликовано 13 октября, 2016 Сделали бы лучше винтовую фиксацию на временных абатментах 3 Ссылка на комментарий
Малик Опубликовано 13 октября, 2016 Автор Поделиться Опубликовано 13 октября, 2016 Сделали бы лучше винтовую фиксацию на временных абатментахну насколько мне известно, так и сделали Ссылка на комментарий
АнтонТЛТ Опубликовано 13 октября, 2016 Поделиться Опубликовано 13 октября, 2016 На фото абатменты не очень похоже на временные, но Вам виднее. Что за система? 1 Ссылка на комментарий
Doctorstomlis Опубликовано 13 октября, 2016 Поделиться Опубликовано 13 октября, 2016 Временные не нравятся совсем.Никакого пространства под межзубный сосочек между времянками.И судя по фото- коронки на временном цементе,а не винтовые.Я думаю,что здесь слишком много разнородных материалов либо аллергическая реакция. 1 Ссылка на комментарий
TIGER Опубликовано 13 октября, 2016 Поделиться Опубликовано 13 октября, 2016 Судя по качеству времянок...там надо искать косяк в ортопедии...да абатменты вообще ниочём 1 Ссылка на комментарий
Малик Опубликовано 13 октября, 2016 Автор Поделиться Опубликовано 13 октября, 2016 На фото абатменты не очень похоже на временные, но Вам виднее. Что за система?. Система биогоризонт,на фото действительно постоянные абатменты ,но ортопед использовал их в качестве временных. На данный момент винтовая фиксация времяшек на этих абатментах,уточнил у ортопеда. Ссылка на комментарий
Малик Опубликовано 13 октября, 2016 Автор Поделиться Опубликовано 13 октября, 2016 Временные не нравятся совсем.Никакого пространства под межзубный сосочек между времянками.И судя по фото- коронки на временном цементе,а не винтовые.Я думаю,что здесь слишком много разнородных материалов либо аллергическая реакция. чтобы посоветовали? Какую тактику предпринять? Ссылка на комментарий
Малик Опубликовано 13 октября, 2016 Автор Поделиться Опубликовано 13 октября, 2016 Судя по качеству времянок...там надо искать косяк в ортопедии...да абатменты вообще ниочём что по-вашему не так? Где исправлять ошибку ? Ссылка на комментарий
Малик Опубликовано 13 октября, 2016 Автор Поделиться Опубликовано 13 октября, 2016 Ну и вопрос ко всем хирургам.. нужна ли здесь была вестибулопластика после полученного результата? Или всё-таки старшие коллеги правы,и со временем десна будет только улучшаться? Ссылка на комментарий
johniola Опубликовано 13 октября, 2016 Поделиться Опубликовано 13 октября, 2016 проблемма во времянках.снимите времянки,поставьте формики на 10-15 дней,хлоргексидин полоскать.И потом обязательно поменять времянки сделать винтовую фиксацию и нормалиное межзубное пространство 4 Ссылка на комментарий
Doctorstomlis Опубликовано 13 октября, 2016 Поделиться Опубликовано 13 октября, 2016 Плностью согласна с johniola.Пока будут формирователи заодно и посмотрите на зуд(будет или пройдёт).Но времянками такими Вы десну красиво и грамотно не сформируете.Какой тогда в них смысл? 1 Ссылка на комментарий
Nazim_NV86 Опубликовано 13 октября, 2016 Поделиться Опубликовано 13 октября, 2016 (изменено) Гальванизм?Ну или времяшками защемлена десна. Он померла, лейкоциты ею позавтракали и теперь рвутся на свободу. Дайте десне выходной, а лучше 5 выходных. Изменено 13 октября, 2016 пользователем Nazim_NV86 1 Ссылка на комментарий
Малик Опубликовано 15 октября, 2016 Автор Поделиться Опубликовано 15 октября, 2016 (изменено) проблемма во времянках.снимите времянки,поставьте формики на 10-15 дней,хлоргексидин полоскать.И потом обязательно поменять времянки сделать винтовую фиксацию и нормалиное межзубное пространствоСпасибо большое) сниму коронки и поставлю формики.. Но мне не совсем понятен механизм образования данной проблемы( времянки и так на винтовой фиксации,гиперкомпрессии на слизистую оболочку по словам ортопеда нет, с гигиеной все ок.. и только некорректное межзубное пространство могло привести к появлению этих симптомов? Изменено 15 октября, 2016 пользователем Малик Ссылка на комментарий
Рекомендуемые сообщения
Для публикации сообщений создайте учётную запись или авторизуйтесь
Вы должны быть пользователем, чтобы оставить комментарий
Создать аккаунт
Зарегистрируйте новый аккаунт в нашем сообществе. Это очень просто!
Регистрация нового пользователяВойти
Уже есть аккаунт? Войти в систему.
Войти