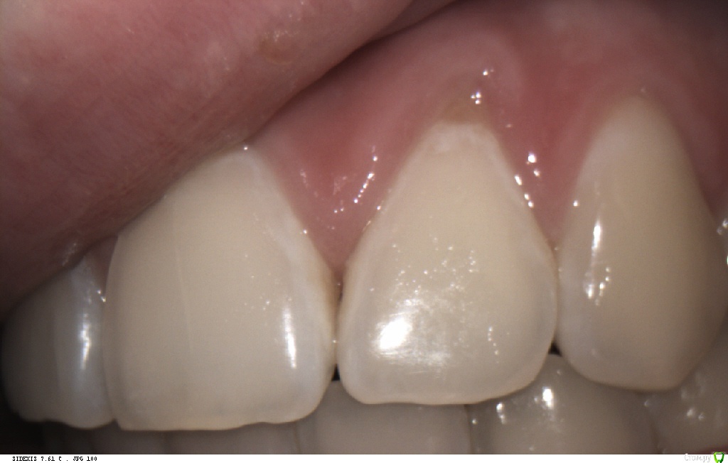
St. Опубликовано 3 октября, 2016 Поделиться Опубликовано 3 октября, 2016 Добрый вечер. Предстоит лечение кариеса на апроксималках резцов. Небно стоит ретейнет. Снимать не планируется. Собственно вопрос: как поставить матрицу если есть ретейнер? Ссылка на комментарий
vse32 Опубликовано 3 октября, 2016 Поделиться Опубликовано 3 октября, 2016 Такое же меня в пятницу ждет.1 вариант - завести немного и чуть чуть заправить под ретейнер до зоны его приклеивания, что бы реставрация не приклеилась к проволоке. И не было потом проблем при снятии.2 вариант - ввести на пару миллиметров до ретейнера и оставить матрицу перпендикулярно проволоке. Ну и выворачиваться как то дальше.3 вариант - попробовать снять только с 1-2 зубов. Отреставрировать, а потом приклеить все назад композитом.В пятницу узнаю, как именно у меня получится выйти из ситуации. Ссылка на комментарий
DmitrySH Опубликовано 3 октября, 2016 Поделиться Опубликовано 3 октября, 2016 В данном случае наличие ретейнера приведет к более инвазивному препу с вестибулярки. Я бы попросил ортодонта снять, разобрался с кариесами и сразу к ортодонту на фиксацию ретейнера. Желательно все одним днем. Ссылка на комментарий
vse32 Опубликовано 3 октября, 2016 Поделиться Опубликовано 3 октября, 2016 У меня проблема еще в том, что кариозное поражение находится четко под ретейнером. Очень будет проблематично препарировать.А чем конкретно ортодонты клеят проволоку к зубам? Все же думаю снять. У моей пациентки ретейнер состоит из 3х сегментов, изначально так было сделано. Ссылка на комментарий
St. Опубликовано 3 октября, 2016 Автор Поделиться Опубликовано 3 октября, 2016 (изменено) Я тоже размышляла о металлической матрице до ретейнера. Ещё пришла мысль придесневую часть как вариант восстанавливать прозрачной матрицей обрезав ее по высоте чтоб под ретейнер прошла.Я склоняюсь какому-то из таких вариантов. Правда опять же не понятно как потом всю эту красоту полировать. Если не получится, тогда конечно придется и правда снимать и клеить потом, просто если что снимать-клеить, то самой придется. А этого не хотелось бы. Правда радует что небно не пошло, только вестибулярно и апроксимально. Изменено 3 октября, 2016 пользователем St. Ссылка на комментарий
anvladd Опубликовано 3 октября, 2016 Поделиться Опубликовано 3 октября, 2016 Много раз лечил таких,просто снимал с нужного зуба,лечил,и клеил обратно жидкотекучим,отдаленно все норм 1 Ссылка на комментарий
anvladd Опубликовано 3 октября, 2016 Поделиться Опубликовано 3 октября, 2016 (изменено) Ничего сложного,ну потратите чуток больше времени,если хотите плюсаните жидкотекучку к счету за труды так сказать Изменено 3 октября, 2016 пользователем anvladd Ссылка на комментарий
St. Опубликовано 3 октября, 2016 Автор Поделиться Опубликовано 3 октября, 2016 У меня такая радость с двух сторон симметрично. Т.е. думаете нет смысла морочится не снимая? Ссылка на комментарий
St. Опубликовано 3 октября, 2016 Автор Поделиться Опубликовано 3 октября, 2016 И ещё вопрос: если снимать, получается оставить только на клыках, если лечить 12 11 21 22? Ссылка на комментарий
anvladd Опубликовано 3 октября, 2016 Поделиться Опубликовано 3 октября, 2016 Снимайте не мучайтесь,заполировать норм не получиться 1 Ссылка на комментарий
anvladd Опубликовано 3 октября, 2016 Поделиться Опубликовано 3 октября, 2016 Так и есть,отщелкнуть от резцов и отогнуть небно после лечения на место Ссылка на комментарий
St. Опубликовано 3 октября, 2016 Автор Поделиться Опубликовано 3 октября, 2016 Спасибо за советы. В среду попробую реализовать на практике) Ссылка на комментарий
DR.P Опубликовано 3 октября, 2016 Поделиться Опубликовано 3 октября, 2016 Частичное отклеивание ретейнера и отгибание, может после обратной фиксации привести к нежелательному торку и перемещению зуба. Ретейнер должен пассивно лежать на зубе, и только потом полимеризован. Думаю знаете, но решил предостеречь вас 1 Ссылка на комментарий
Brigita Опубликовано 4 октября, 2016 Поделиться Опубликовано 4 октября, 2016 Вот вариант " отщелкнуть" ретейнер тоже насторожил.Лучше аккуратно все снять и приклеить обратно.А в идеале - новый ретейнер. Ссылка на комментарий
Л Ю С Я Опубликовано 4 октября, 2016 Поделиться Опубликовано 4 октября, 2016 Если множественное лечение кариеса перед лечением полностью снять. Затем в этот же день к ортодонту. Если небольшое поражение, обойти никак нельзя, довариваюсь заранее с отртодонтом, что в процессе лечения я ретейнер частично убираю, затем ортодонт полностью меняет ретейнер. Правда иногда они клеют рядом новый, частичный. Кстати все хорошо, ничего не уезжает))) только конечно это является ещё одним поводом для кариеса у пациентов с недостаточной гигиеной. Если вообще нет возможности снять , лечение с подписью и предупреждением, матрицу до ретейнера, или разрезную, зажать клином Ссылка на комментарий
anvladd Опубликовано 4 октября, 2016 Поделиться Опубликовано 4 октября, 2016 Вот вариант " отщелкнуть" ретейнер тоже насторожил.Лучше аккуратно все снять и приклеить обратно.А в идеале - новый ретейнер.просто так выразился Ссылка на комментарий
Рекомендуемые сообщения
Для публикации сообщений создайте учётную запись или авторизуйтесь
Вы должны быть пользователем, чтобы оставить комментарий
Создать аккаунт
Зарегистрируйте новый аккаунт в нашем сообществе. Это очень просто!
Регистрация нового пользователяВойти
Уже есть аккаунт? Войти в систему.
Войти