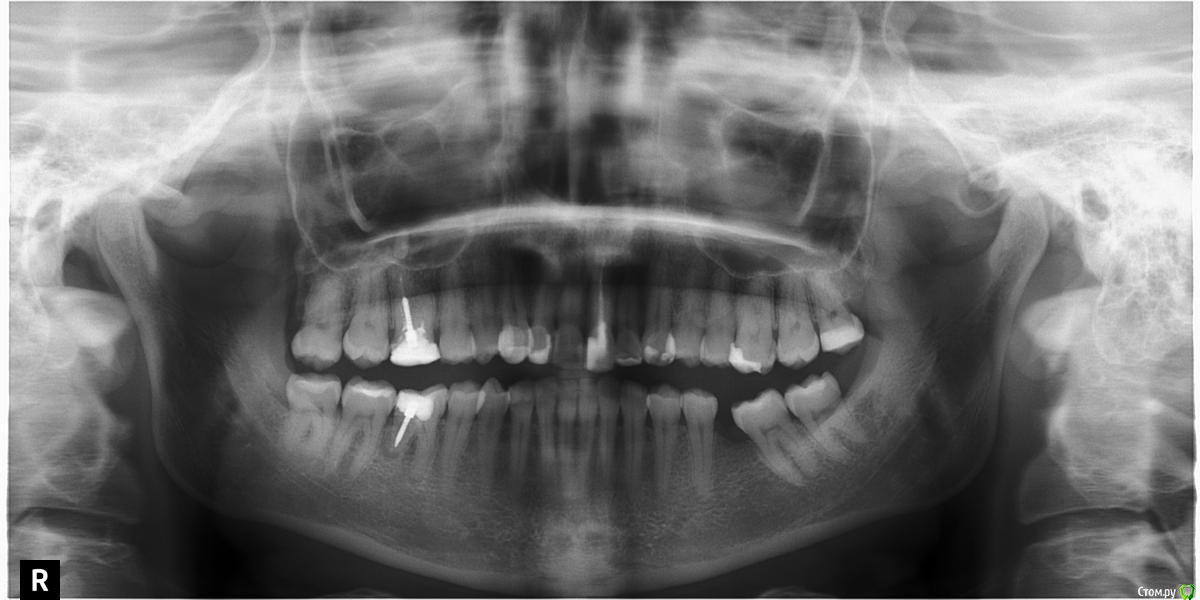
Валерьич Опубликовано 24 сентября, 2016 Поделиться Опубликовано 24 сентября, 2016 Добрый день. Снимок моей супруги ходившей на прием сегодня. Одно мнение хорошо,а много- лучше.Пояснение- передние сверху в винирах, которым 13 лет. Пора менять, это факт. Те что справа коренные под пломбами темные, верхний как бы амортизирует. Врач(или рвач?)- сказал что виниры надо убирать, зубы прятать под коронки. Насчитали 300 тысяч за 6 коронок . В общем мы в шоке от этой суммы, вроде в бюджетную клинику ходила и тут такое.Прошу многоуважаемое сообщество посмотреть снимок и дать план лечения. посоветовать с чего начинать если и вправду о таких суммах идет речь.Жена коронки вперед не хочет однозначно... 2 Ссылка на комментарий
shishok Опубликовано 24 сентября, 2016 Поделиться Опубликовано 24 сентября, 2016 Хорошо бы ещё фото передних зубов. Ссылка на комментарий
Валерьич Опубликовано 24 сентября, 2016 Автор Поделиться Опубликовано 24 сентября, 2016 Сфоткали как смогли. Ссылка на комментарий
krokomot Опубликовано 25 сентября, 2016 Поделиться Опубликовано 25 сентября, 2016 Проблем у вас много и не только с передними зубами, на форуме финансовые вопросы не обсуждаются, сходите на консультацию в другую клинику вместе с женой, пусть вам объяснят что и за сколько и высможете выбрать из разных вариантов. 1 1 Ссылка на комментарий
Валерьич Опубликовано 25 сентября, 2016 Автор Поделиться Опубликовано 25 сентября, 2016 Проблем у вас много и не только с передними зубами, на форуме финансовые вопросы не обсуждаются, сходите на консультацию в другую клинику вместе с женой, пусть вам объяснят что и за сколько и высможете выбрать из разных вариантов.Отличный совет, достойный профессионала. Да,со спиной тоже есть проблемы,и с венами тоже. Я рад что вы их увидели по снимку. А главное увидели мой вопрос не про лечение а стоимость. Ваше сообщение не есть ответ по существу, это называется флуд. Спасибо за помощь. 1 3 Ссылка на комментарий
krokomot Опубликовано 25 сентября, 2016 Поделиться Опубликовано 25 сентября, 2016 Отличный совет, достойный профессионала. Да,со спиной тоже есть проблемы,и с венами тоже. Я рад что вы их увидели по снимку. А главное увидели мой вопрос не про лечение а стоимость. Ваше сообщение не есть ответ по существу, это называется флуд. Спасибо за помощь.Каков вопрос такой и ответ, еще раз повторю финансовые вопросы не обсуждаются, Коронки вы не хотите, много платить вы не хотите, а что вы хотите? Конкретизируйте. Надменность и грубость не приветствуется на форуме, задавайте вопросы понятно и по существу, тогда получите ответы на свои вопросы. 1 1 Ссылка на комментарий
red_butler Опубликовано 25 сентября, 2016 Поделиться Опубликовано 25 сентября, 2016 Врач(или рвач?) к чему клеить ярлыки??? Жена коронки вперед не хочет однозначно... хотеть не хотеть, уже не важно, если не будет коронок на зубах, то будут на коронки на имплантах.По плану... профессиональная гигиена и затем1. удалять зубы мудрости и возможно 4.62. перелечивать 1.63. ревизия корневого канала 2.14. создания места для протезирования в области 3.6 (брекеты)5. имплантация в позицию 3.6 и возможно 4.66. протезирование вкладками и коронками 1.6 2.1, импланта/тов, фронт керамические коронки или виниры. А главное увидели мой вопрос не про лечение а стоимость. я тоже увидел... Насчитали 300 тысяч за 6 коронок . В общем мы в шоке от этой суммы, вроде в бюджетную клинику ходила и тут такое. Прошу многоуважаемое сообщество посмотреть снимок и дать план лечения. посоветовать с чего начинать если и вправду о таких суммах идет речь. 1 1 Ссылка на комментарий
Валерьич Опубликовано 25 сентября, 2016 Автор Поделиться Опубликовано 25 сентября, 2016 Прошу прощения за эмоциональность. Спасибо за совет,уважаемый red batler. Ссылка на комментарий
red_butler Опубликовано 25 сентября, 2016 Поделиться Опубликовано 25 сентября, 2016 Прошу прощения за эмоциональность. Спасибо за совет,уважаемый red batler.пожалуйстая red butler Ссылка на комментарий
DmitrySH Опубликовано 27 сентября, 2016 Поделиться Опубликовано 27 сентября, 2016 Маленькое уточнение.Тканей у зуба 21 фактически нет, соответственно коронка. Можете ее обозвать полным виниром, можно керамической реставрацией. Ссылка на комментарий
Рекомендуемые сообщения
Для публикации сообщений создайте учётную запись или авторизуйтесь
Вы должны быть пользователем, чтобы оставить комментарий
Создать аккаунт
Зарегистрируйте новый аккаунт в нашем сообществе. Это очень просто!
Регистрация нового пользователяВойти
Уже есть аккаунт? Войти в систему.
Войти