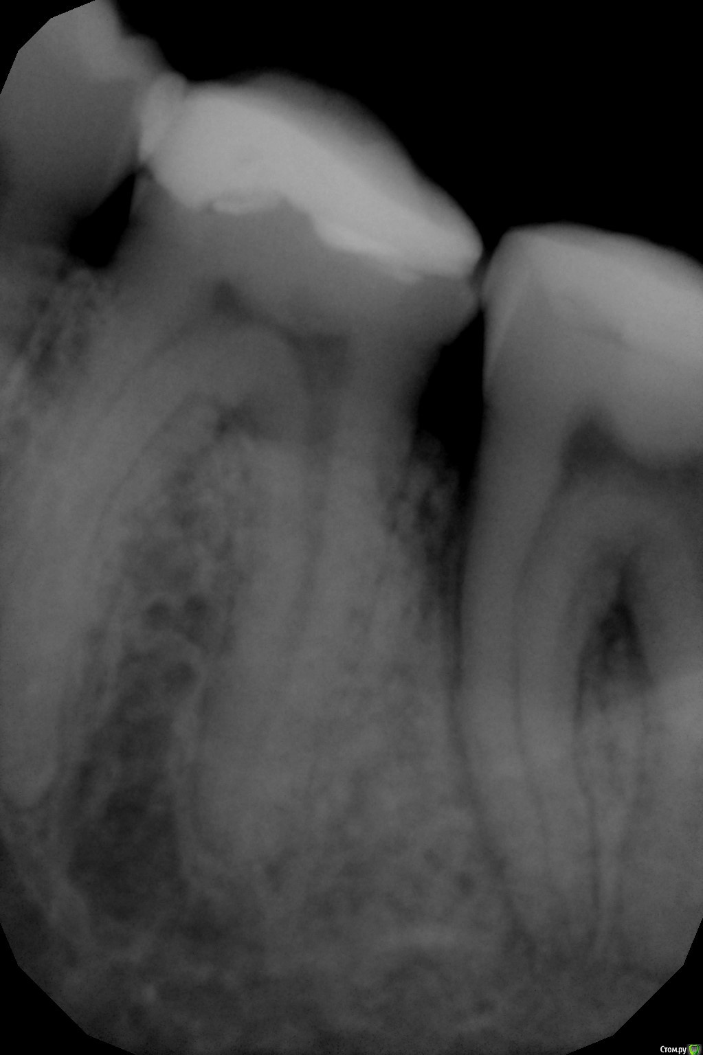
Yulechka1986 Опубликовано 12 сентября, 2016 Поделиться Опубликовано 12 сентября, 2016 Уважаемые коллеги! Прошу совета! Практически интактная семерка, 3.7. обратился пациент по поводу скола пломбы, боли при накусывании. После лечения боли продолжаются, на снимке обнаружена гранулирующее изменение костной ткани. Депульпировать? Как лечить гранулему? Выводить туда кальций? Ссылка на комментарий
Yulechka1986 Опубликовано 12 сентября, 2016 Автор Поделиться Опубликовано 12 сентября, 2016 снимок сейчас прикреплю Ссылка на комментарий
Yulechka1986 Опубликовано 12 сентября, 2016 Автор Поделиться Опубликовано 12 сентября, 2016 снимок Ссылка на комментарий
vse32 Опубликовано 12 сентября, 2016 Поделиться Опубликовано 12 сентября, 2016 (изменено) Нету снимка Изменено 12 сентября, 2016 пользователем vse32 Ссылка на комментарий
Yulechka1986 Опубликовано 12 сентября, 2016 Автор Поделиться Опубликовано 12 сентября, 2016 снимок Ссылка на комментарий
vse32 Опубликовано 12 сентября, 2016 Поделиться Опубликовано 12 сентября, 2016 (изменено) Почти интактный? Ну это Вы погорячились. Я никаких гранулем на апексах не вижу. Неплохо бы снимок перевернуть. Тест на витальность делали? Мне карман у 38 не нравится. Изменено 12 сентября, 2016 пользователем vse32 Ссылка на комментарий
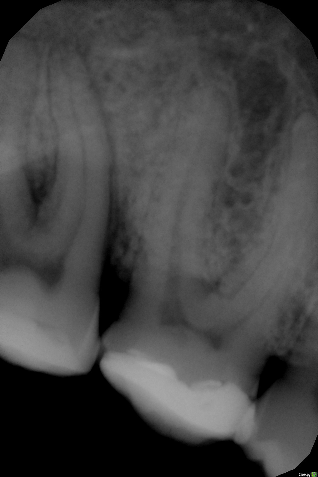
Yulechka1986 Опубликовано 12 сентября, 2016 Автор Поделиться Опубликовано 12 сентября, 2016 вот снимок! Ссылка на комментарий
Yulechka1986 Опубликовано 12 сентября, 2016 Автор Поделиться Опубликовано 12 сентября, 2016 Почти интактный? Ну это Вы погорячились. Я никаких гранулем на апексах не вижу. Неплохо бы снимок перевернуть.Тест на витальность делали?Мне карман дистально не нравитсядумаете пломба близко к рогу пульпы? Карман есть, между корней разряжение костной ткани.. Ссылка на комментарий
Yulechka1986 Опубликовано 12 сентября, 2016 Автор Поделиться Опубликовано 12 сентября, 2016 ну интактный я имела в виду полечила по среднему кариесу... Ссылка на комментарий
Yulechka1986 Опубликовано 12 сентября, 2016 Автор Поделиться Опубликовано 12 сентября, 2016 сн Ссылка на комментарий
vse32 Опубликовано 12 сентября, 2016 Поделиться Опубликовано 12 сентября, 2016 Тогда вопрос 37 это тот что у Вас на снимке справа или слева? Ссылка на комментарий
vse32 Опубликовано 12 сентября, 2016 Поделиться Опубликовано 12 сентября, 2016 Похоже начинаю понимать. 37 это тот, что обрезанный? Мне кажется там паро проблемы есть. И не без участия плохого контакта 36-37.Тест на витальность нужен. Ссылка на комментарий
Бардо Опубликовано 12 сентября, 2016 Поделиться Опубликовано 12 сентября, 2016 (изменено) Видимо справа. Депульпировать не надо. Делайте адекватные реставрации на 6 и 7, устраняйте проблему с пародонтом Изменено 12 сентября, 2016 пользователем Бардо 2 Ссылка на комментарий
vse32 Опубликовано 12 сентября, 2016 Поделиться Опубликовано 12 сентября, 2016 Вводить кальций можно только в систему корневых каналов. В гранулему мы ничего не вводим. Она лишь следствие. А лечим мы причину. Давайте сначала определимся, а есть ли там периодонтит. Перкуссия? Пальпация? Холодовой тест? Возможно ЭОД? Ссылка на комментарий
Yulechka1986 Опубликовано 12 сентября, 2016 Автор Поделиться Опубликовано 12 сентября, 2016 Вводить кальций можно только в систему корневых каналов. В гранулему мы ничего не вводим. Она лишь следствие. А лечим мы причину.Давайте сначала определимся, а есть ли там периодонтит. Перкуссия? Пальпация? Холодовой тест? Возможно ЭОД?перкуссия слабо положительная, пальпация слабоположительная, холодовой положительный, эод.. пока не сделали сделаем Ссылка на комментарий
vse32 Опубликовано 12 сентября, 2016 Поделиться Опубликовано 12 сентября, 2016 холодовой положительный В таком случае там еще пока точно не периодонтит. Восстанавливайте нормальные контактные пункты, исключайте пародонтальные проблемы. Ссылка на комментарий
krokomot Опубликовано 12 сентября, 2016 Поделиться Опубликовано 12 сентября, 2016 Может к ортопеду?)) Ссылка на комментарий
ger_berra Опубликовано 13 сентября, 2016 Поделиться Опубликовано 13 сентября, 2016 Оверлеи на 36 и на 37. Проблемы уйдут. Ссылка на комментарий
Yulechka1986 Опубликовано 19 сентября, 2016 Автор Поделиться Опубликовано 19 сентября, 2016 Оверлеи на 36 и на 37. Проблемы уйдут.это вкладки? Ссылка на комментарий
Yulechka1986 Опубликовано 19 сентября, 2016 Автор Поделиться Опубликовано 19 сентября, 2016 пациент говорит на холодное боли проходят но сегодня попало сладкое и сильно разболелось Ссылка на комментарий
vse32 Опубликовано 19 сентября, 2016 Поделиться Опубликовано 19 сентября, 2016 это вкладки? да пациент говорит на холодное боли проходят но сегодня попало сладкое и сильно разболелось Так на 36 кариес, вот и боли на сладкое в том числе. Ссылка на комментарий
dentikl Опубликовано 21 сентября, 2016 Поделиться Опубликовано 21 сентября, 2016 или пат стираемость или дебондинг или отбеливающая паста или... Ссылка на комментарий
federman Опубликовано 21 сентября, 2016 Поделиться Опубликовано 21 сентября, 2016 (изменено) Перкуссия более болезненна вертикальная или горизонтальная?ЗЫ ЭОД надо бы... Изменено 21 сентября, 2016 пользователем federman Ссылка на комментарий
Yulechka1986 Опубликовано 2 октября, 2016 Автор Поделиться Опубликовано 2 октября, 2016 стираемость есть ага.. вобщем депульпировала семерку - стало хорошо Ссылка на комментарий
vse32 Опубликовано 2 октября, 2016 Поделиться Опубликовано 2 октября, 2016 вобщем депульпировала семерку - стало хорошо Эх, кому хорошо?За что же Вы так с 37 то? Вроде от сладкого болел, холод чувствовал, жить хотел. 3 Ссылка на комментарий
Рекомендуемые сообщения
Для публикации сообщений создайте учётную запись или авторизуйтесь
Вы должны быть пользователем, чтобы оставить комментарий
Создать аккаунт
Зарегистрируйте новый аккаунт в нашем сообществе. Это очень просто!
Регистрация нового пользователяВойти
Уже есть аккаунт? Войти в систему.
Войти