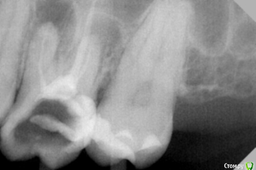
dr.Dre Опубликовано 5 сентября, 2016 Поделиться Опубликовано 5 сентября, 2016 Добрый день коллеги,26 зуб асимптоматический апикальный периодонтит,перелечивание.Мезиальный канал перфорнул,все время попадаю в перфорацию никак не могу зацепить корневой канал.Есть ли смыл в лечение такого зуба? Ссылка на комментарий
vse32 Опубликовано 5 сентября, 2016 Поделиться Опубликовано 5 сентября, 2016 Похоже Вы не мезиальный перфорнули, а сделали перфу на дне в бифуркацию. Мне кажется все еще реально пройти по каналу.Во всяком случае так по снимку видится. 1 Ссылка на комментарий
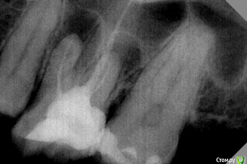
inSight Опубликовано 5 сентября, 2016 Поделиться Опубликовано 5 сентября, 2016 Чем быстрее закрыли тем лучше. Тут ортопедия нужна. Есть в течении 6 мес не бомбанет и улучшение на рг. То есть вариант лечить с целью дальнейшего протезирования , а так год другой и ретрит только под микроскопом. Гутаперкой если по одной пломбировали то печальнее.=) Ссылка на комментарий
inSight Опубликовано 5 сентября, 2016 Поделиться Опубликовано 5 сентября, 2016 Тож склоняюсь к такому варианту. Причем часто такое вижу псевдо устье в переходе от мед.щечного. к небному как раз по центру иль рядом,коварное устье =))) заливаю дно хлоркой жду минутку далее смотрю белосоватые точки когда как дно, более темное , тык тык и кирдык вообщем. Сидею когда крестовой вариант встречаю. Прям русская рулетка куда тыкать =)))) Ссылка на комментарий
dr.Dre Опубликовано 5 сентября, 2016 Автор Поделиться Опубликовано 5 сентября, 2016 Тож склоняюсь к такому варианту. Причем часто такое вижу псевдо устье в переходе от мед.щечного. к небному как раз по центру иль рядом,коварное устье =))) заливаю дно хлоркой жду минутку далее смотрю белосоватые точки когда как дно, более темное , тык тык и кирдык вообщем. Сидею когда крестовой вариант встречаю. Прям русская рулетка куда тыкать =))))ого никогда не слышал про псевдо устья,спасибо вам огромное за ответ Ссылка на комментарий
Ker Опубликовано 6 сентября, 2016 Поделиться Опубликовано 6 сентября, 2016 Чем перфо сделали? Чем запломбирован канал? Ссылка на комментарий
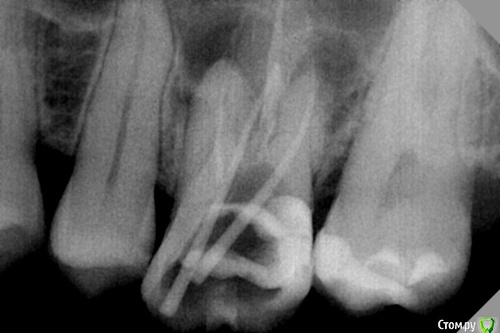
dr.Dre Опубликовано 6 сентября, 2016 Автор Поделиться Опубликовано 6 сентября, 2016 Чем перфо сделали? Чем запломбирован канал?с -pilot,каналы ещё не пломбировал Ссылка на комментарий
Паращук Роман Опубликовано 6 сентября, 2016 Поделиться Опубликовано 6 сентября, 2016 Я вот никак не пойму как ручным файлом,тем более с-пилотом сделать перфо?! Думаю вы изначально сильно бором поработали. 2 Ссылка на комментарий
vse32 Опубликовано 6 сентября, 2016 Поделиться Опубликовано 6 сентября, 2016 Думаю вы изначально сильно бором поработали. Или УЗ. Тоже при определенном упорстве делает перфо на ура. Ну и, черт возьми - угол то совсем другой. Измените направление и ковыряйте. Ссылка на комментарий
Ker Опубликовано 6 сентября, 2016 Поделиться Опубликовано 6 сентября, 2016 (изменено) с -pilot,каналы ещё не пломбировалчем были запломбированы.p.s. точно не бором? Изменено 6 сентября, 2016 пользователем Ker Ссылка на комментарий
dr.Dre Опубликовано 6 сентября, 2016 Автор Поделиться Опубликовано 6 сентября, 2016 чем были запломбированы.p.s. точно не бором?резорцином,я думаю ультразвуком Ссылка на комментарий
DmitrySH Опубликовано 6 сентября, 2016 Поделиться Опубликовано 6 сентября, 2016 С оптикой такие вещи легко закрываются. Да и без оптики можно. Это же не в средней/апикальной части Ссылка на комментарий
red_butler Опубликовано 8 сентября, 2016 Поделиться Опубликовано 8 сентября, 2016 без коффера прогноз перфорации плохой 1 Ссылка на комментарий
DmitrySH Опубликовано 8 сентября, 2016 Поделиться Опубликовано 8 сентября, 2016 без коффера прогноз перфорации плохойэто точно. Не посмотрел (( Ссылка на комментарий
Ker Опубликовано 15 сентября, 2016 Поделиться Опубликовано 15 сентября, 2016 Доктор, думаю вы не видели устье глазами. Если не видите устье - пилите пока не увидите, особенно при перелечивании. Лучше немного твердых тканей убрать чем сделать перфо, особенно при перелечивании таких зубов, когда терять уже не слишком много. Ссылка на комментарий
dr.Dre Опубликовано 22 сентября, 2016 Автор Поделиться Опубликовано 22 сентября, 2016 Доктор, думаю вы не видели устье глазами. Если не видите устье - пилите пока не увидите, особенно при перелечивании. Лучше немного твердых тканей убрать чем сделать перфо, особенно при перелечивании таких зубов, когда терять уже не слишком много.спасибо за совет Ссылка на комментарий
Fred Опубликовано 22 сентября, 2016 Поделиться Опубликовано 22 сентября, 2016 Фатальная триада: ноу коффер, ноу МБ2 и перфа. Зуб погиб Ссылка на комментарий
Рекомендуемые сообщения
Для публикации сообщений создайте учётную запись или авторизуйтесь
Вы должны быть пользователем, чтобы оставить комментарий
Создать аккаунт
Зарегистрируйте новый аккаунт в нашем сообществе. Это очень просто!
Регистрация нового пользователяВойти
Уже есть аккаунт? Войти в систему.
Войти