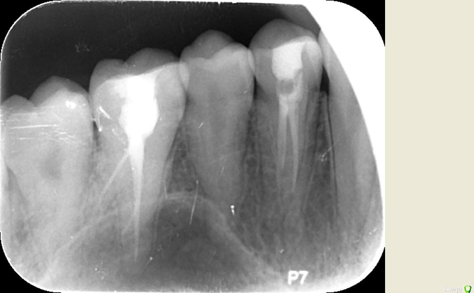
Nitrino1 Опубликовано 26 августа, 2016 Поделиться Опубликовано 26 августа, 2016 Уважаемые коллеги прошу у вас помощи так как сам не смог разобраться с данным случаем. Значит ситуация такая, приходила ко мне пациентка 3 месяца назад. Жалобы на боль слева сверху. Конкретно не знает какой зуб. Из анамнеза, боль появилась приблизительно год назад. Пошла к одному стоматологу, тот депульпировал 24-й заявляя что причина в нём. Боль не прошла. Пошли к другому стоматологу, тот заподозрил 26, депульпировал его. Боль не прошла. Пошли к третьему стоматологу, тот сказал что 24-й не правильно вылечен и "перелечил". Боль не прошла. Я четвёртый к кому они обращаются.Что имеем объективно. Пломбы на контактных пунктах нет. Десна была немного изменена в цвете в области сосочков между 24-25-26. При нажатии на десну небольшая боль. Перкуссия болезненная 24 и 26. Положил анестетик на десну - боль прошла. Заподозрил гингивит. Назначил лечение, флос, правильную чистку щеткой, Метрогил Дента на десну, Полоскание хлоргекседином и витамин общий. Боль прошла. Через неделю появилась, сделал в 3 посещения пасту из антибиотика и витамина А. Боль прошла на 2 месяца. Пришли ко мне недели 3 назад, те же самые боли. Перкуссия болезненна была на 24 в первое посещение. Во второе посещение болезенны были и 24 и 26. Промыл под сосочками хлоргексидином, назначил опять Метрогил Дента, полоскание хлоргекседином, правильную чистку. Прошла неделя, боли продолжаются. Помогите советами, что я упустил? Панораму сделал, там ничего такого. 24 и 26 вылечены не качественно и сам вижу, 24 даже в большей степени, но лечение десен же помогло, значит проблема в десне, а причину не могу определить. Ссылка на комментарий
сирена Опубликовано 26 августа, 2016 Поделиться Опубликовано 26 августа, 2016 На обоих зубах очаги,чё тут думать?Мазилки помогли не благодаря,а вопреки.Может,рефлекторное воздействие или самовнушение.Я так полагаю. 1 Ссылка на комментарий
DmitrySH Опубликовано 26 августа, 2016 Поделиться Опубликовано 26 августа, 2016 На обоих зубах очаги,чё тут думать?Мазилки помогли не благодаря,а вопреки.Может,рефлекторное воздействие или самовнушение.Я так полагаю. Поддерживаю. Если трудности с диагностикой, то лучше начать с очевидных вещей. В данном случае ревизия каналов точно нужна. Ссылка на комментарий
lightella Опубликовано 26 августа, 2016 Поделиться Опубликовано 26 августа, 2016 Присоединяюсь - перелечить 25,26+ проверьте 28, бывает от него иррадиация. Ссылка на комментарий
Nitrino1 Опубликовано 27 августа, 2016 Автор Поделиться Опубликовано 27 августа, 2016 Коллеги я с Вами согласен, сам так же хотел с перелечки начать, но напрягает два факта: боли начались до того как ей депульпировали два этих зуба и второй фактор - переходная складка не болезненная + после лечения десен 2 месяца болей не было + ей антибиотики назаначали перорально, а они как известно купируют хронический периодонтит, так вот, они ей вообще не помогли. Думаете все равно причина в 24 и 26? 28-ой я посмотрел сразу же, он прорезался но не полностью, в той области пальпация безболезненна, перкусия 27 тоже безболезненна. На 28 очагов кариеса нет Ссылка на комментарий
johniola Опубликовано 27 августа, 2016 Поделиться Опубликовано 27 августа, 2016 был такой пациент.у него даже после удаления зубов до сих пор присутствуют боли.уже 4 года.я его наблюдал уже после удалений но история похожая Ссылка на комментарий
Nitrino1 Опубликовано 27 августа, 2016 Автор Поделиться Опубликовано 27 августа, 2016 был такой пациент.у него даже после удаления зубов до сих пор присутствуют боли.уже 4 года.я его наблюдал уже после удалений но история похожаядиагноз не поставили? точки выхода нервов я проверял, болезненности нет Ссылка на комментарий
vse32 Опубликовано 27 августа, 2016 Поделиться Опубликовано 27 августа, 2016 Т.е. признаков гайморита нет? Нос не заложен, насморка нет и не было? А то на неврит похоже, при синусите частая жалоба и начинается безуспешная серия лечения "пульпитов", удаления. Ссылка на комментарий
Nitrino1 Опубликовано 30 августа, 2016 Автор Поделиться Опубликовано 30 августа, 2016 Т.е. признаков гайморита нет? Нос не заложен, насморка нет и не было? А то на неврит похоже, при синусите частая жалоба и начинается безуспешная серия лечения "пульпитов", удаления.проверял точки выходов нервов, нос проверил, ничего такого нет Ссылка на комментарий
доквика Опубликовано 31 августа, 2016 Поделиться Опубликовано 31 августа, 2016 проверял точки выходов нервов, нос проверил, ничего такого нет . Может нужны снимки гайморовых пазух, консультация ЛОР-вр., а с нижним рядом все в порядке? Прикус какой? Ссылка на комментарий
lightella Опубликовано 31 августа, 2016 Поделиться Опубликовано 31 августа, 2016 Какой характер боли? От ревизии 1.4 и 1.6 пациентка отказывается? Ссылка на комментарий
Nitrino1 Опубликовано 8 сентября, 2016 Автор Поделиться Опубликовано 8 сентября, 2016 . Может нужны снимки гайморовых пазух, консультация ЛОР-вр., а с нижним рядом все в порядке? Прикус какой?в прикусе таких серьезных отклонений не заметил, панораму делал, там в гайморовых ничего нет Ссылка на комментарий
Nitrino1 Опубликовано 8 сентября, 2016 Автор Поделиться Опубликовано 8 сентября, 2016 Какой характер боли?От ревизии 1.4 и 1.6 пациентка отказывается?Боли ноющие, усиливающиеся ближе к вечеру. Она согласна на ревизию только с условием того, что я точно буду знать что причина в них, и гарантия. Я объяснил что гарантию давать в данном случае смешно, но ревизию надо сделать. Пока думают Ссылка на комментарий
vse32 Опубликовано 8 сентября, 2016 Поделиться Опубликовано 8 сентября, 2016 Боли ноющие, усиливающиеся ближе к вечеру. Классика гайморита прямо. У меня был (есть) хр. гайморит. Знаю о чем говорю. Ссылка на комментарий
Nitrino1 Опубликовано 8 сентября, 2016 Автор Поделиться Опубликовано 8 сентября, 2016 Классика гайморита прямо. У меня был (есть) хр. гайморит. Знаю о чем говорю.о если носовое дыхание не нарушено можно подозревать гайморит:? Ссылка на комментарий
vse32 Опубликовано 8 сентября, 2016 Поделиться Опубликовано 8 сентября, 2016 Подозревать нужно и можно всегда. Ссылка на комментарий
lightella Опубликовано 8 сентября, 2016 Поделиться Опубликовано 8 сентября, 2016 (изменено) Консультация ЛОРа,конечно, не помешает... ЛОР первым делом направит на рентген, и если на снимке не будет характерных признаков синусита, но будут такие зубы, то с большой вероятностью пациент переадресуется обратно. Изменено 8 сентября, 2016 пользователем lightella Ссылка на комментарий
vse32 Опубликовано 8 сентября, 2016 Поделиться Опубликовано 8 сентября, 2016 но будут такие зубы, то с большой вероятностью пациент переадресуется обратно. По моему Вы переоцениваете ЛОРов, вернее их стомат. компетенцию. Но надеюсь есть и такие, которые могут реально оценить качество эндолечения. Ссылка на комментарий
lightella Опубликовано 8 сентября, 2016 Поделиться Опубликовано 8 сентября, 2016 (изменено) По моему Вы переоцениваете ЛОРов, вернее их стомат. компетенцию. Но надеюсь есть и такие, которые могут реально оценить качество эндолечения.Речь не о том,что они могут оценить качество пломбировки каналов. Просто неоднократно убеждалась, что они любят валить все на стоматологов.(Возможно,у них есть для этого свои основания) Логика такая: в анамнезе эпизодов гайморита нет, на данный момент клиника отсутствует, Rg признаки не выявлены, но в зоне жалоб леченые зубы; вывод - причина в зубах, идите лечите/перелечивайте. На моей памяти три случая обращения к ЛОРам,и каждый раз они первым делом подозревали стом.патологию. К слову, из этих трех раз только у одного пациента действительно болел зуб, причем, это был ретроградный пульпит от того же гайморита. У второго оказалась невралгия, но опять же, сначала мне пришлось объясняться с ЛОРом. Третьего пациента я направила к ЛОРу уже с полной выпиской и Rg снимками до и после лечения, дала контактный телефон для врача, если возникнут вопросы, он был госпитализирован в ЛОР отделение.В общем, не знаю, какие из этого выводы сделать. Наверное, нужно непосредственное общение стоматолога с ЛОРом, чтобы не футболить пациента туда-сюда.PS. Кстати, у пациента из топика есть же ОПТГ, по нему можно предварительно просмотреть пазухи. Либо направить на снимок в прямой проекции, минуя ЛОРа. А потом уже к нему, если будет смысл. Изменено 8 сентября, 2016 пользователем lightella Ссылка на комментарий
vse32 Опубликовано 9 сентября, 2016 Поделиться Опубликовано 9 сентября, 2016 Кстати, у пациента из топика есть же ОПТГ Кто-то из умных людей мне объяснял, что по ОПТГ нельзя диагностировать ЛОР патологию. Думаю надо сделать как Вы советуете. Описать что проблема началась еще до депульпирований, постараться все подробно расписать и оставить свои контакты ЛОР врачу, что-бы тот не спихивал сразу на стоматологов, а попытался как следует отдиференцировать свои диагнозы. Ссылка на комментарий
Л Ю С Я Опубликовано 9 сентября, 2016 Поделиться Опубликовано 9 сентября, 2016 Вообще, найти хорошего лор проблема. Тем более малоинвазивно оперирующего. Ссылка на комментарий
Nitrino1 Опубликовано 9 сентября, 2016 Автор Поделиться Опубликовано 9 сентября, 2016 Речь не о том,что они могут оценить качество пломбировки каналов. Просто неоднократно убеждалась, что они любят валить все на стоматологов.(Возможно,у них есть для этого свои основания) Логика такая: в анамнезе эпизодов гайморита нет, на данный момент клиника отсутствует, Rg признаки не выявлены, но в зоне жалоб леченые зубы; вывод - причина в зубах, идите лечите/перелечивайте. На моей памяти три случая обращения к ЛОРам,и каждый раз они первым делом подозревали стом.патологию. К слову, из этих трех раз только у одного пациента действительно болел зуб, причем, это был ретроградный пульпит от того же гайморита. У второго оказалась невралгия, но опять же, сначала мне пришлось объясняться с ЛОРом. Третьего пациента я направила к ЛОРу уже с полной выпиской и Rg снимками до и после лечения, дала контактный телефон для врача, если возникнут вопросы, он был госпитализирован в ЛОР отделение.В общем, не знаю, какие из этого выводы сделать. Наверное, нужно непосредственное общение стоматолога с ЛОРом, чтобы не футболить пациента туда-сюда.PS. Кстати, у пациента из топика есть же ОПТГ, по нему можно предварительно просмотреть пазухи. Либо направить на снимок в прямой проекции, минуя ЛОРа. А потом уже к нему, если будет смысл.ОПТГ есть, я почему то думал что выставил её..... Как руки дойдут в ближайшие дни выставлю, а так я понял что надо отправить на консультацию к ЛОР врачу Ссылка на комментарий
lightella Опубликовано 9 сентября, 2016 Поделиться Опубликовано 9 сентября, 2016 ОПТГ есть, я почему то думал что выставил её..... Как руки дойдут в ближайшие дни выставлю, а так я понял что надо отправить на консультацию к ЛОР врачуКоллега выше ответила, что ОПТГ неинформативна. Направьте на снимок в прямой проекции, ЛОРу все равно он потребуется. Здесь на форуме, кажется, тоже был ЛОР врач, может глянет снимок Ваш. Ссылка на комментарий
Yuliyastomgos Опубликовано 11 сентября, 2016 Поделиться Опубликовано 11 сентября, 2016 К теме про боли неясной этиологии.помню,был случай-молодая девушка,боли в области нижней челюсти слева,пришла к стоматологу,решили-3.8 перекоронит-удадили,боли есть,невралгия-лечили,боли есть,3.7-периодонтит-удалили,боли есть,смотрели её все -невролог, лор,стоматолог,короче...спустя полгода,выяснили-отит.вот так бывает Ссылка на комментарий
annda Опубликовано 12 сентября, 2016 Поделиться Опубликовано 12 сентября, 2016 24 и 26 вылечены не качественно и сам вижу, 24 даже в большей степени, но лечение десен же помогло, значит проблема в десне, а причину не могу определить. http://forum.stom.ru/topic/31772-pomogite-s-diagnozom/?hl=%2B%D0%BC%D0%B8%D0%BE%D1%84%D0%B0%D1%81%D1%86%D0%B8%D0%B0%D0%BB%D1%8C%D0%BD%D1%8B%D0%B5+%2B%D0%B1%D0%BE%D0%BB%D0%B8&do=findComment&comment=537100 Похоже или нет? Ссылка на комментарий
Рекомендуемые сообщения
Для публикации сообщений создайте учётную запись или авторизуйтесь
Вы должны быть пользователем, чтобы оставить комментарий
Создать аккаунт
Зарегистрируйте новый аккаунт в нашем сообществе. Это очень просто!
Регистрация нового пользователяВойти
Уже есть аккаунт? Войти в систему.
Войти