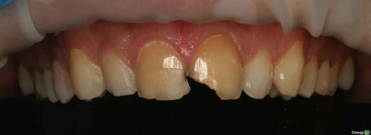
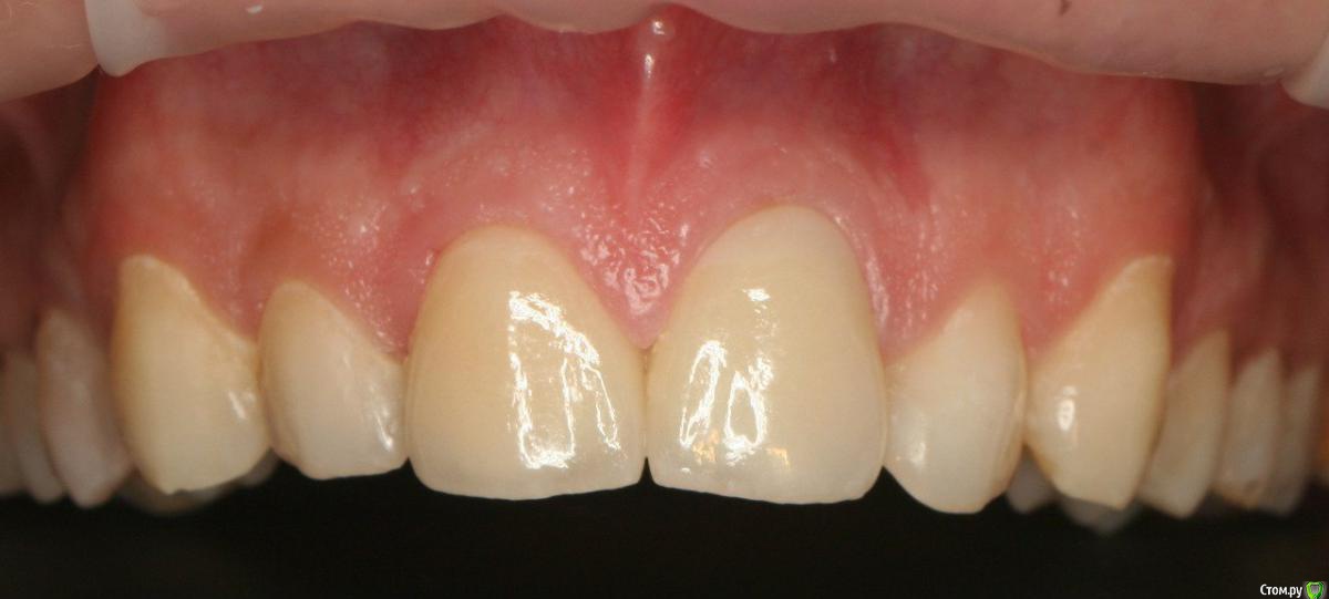
ShkipeR Опубликовано 14 августа, 2016 Поделиться Опубликовано 14 августа, 2016 Интересный клинический случай восстаноаления улыбкиОчень сильный дисколорит (потемнение) центральных резцов,старые композитные реставрации с вторичным кариесом под ними,интересная форма зубов,разный уровень зенитов и вдобавок разный наклон и форма боковых резцовПервый этап:Выполнена замена пломб,билд-ап,препарирование под винир 3/4,снятие оттисков,временные винирыВторой этап:Примерка керамических реставраций,фиксация по адгезивному протоколу Variolink;)Кропотливая работа техника и как итог-гармоничная улыбка пациента 6 Ссылка на комментарий
stomalolog Опубликовано 15 августа, 2016 Поделиться Опубликовано 15 августа, 2016 Да, интересно получилось, все зубы разные, длина левой стороны больше, но смотрится на удивление гармонично. Это еще раз доказывает, что не стоит идти на поводу у пациентов, стремящихся к забору Ссылка на комментарий
Rumata Опубликовано 22 августа, 2016 Поделиться Опубликовано 22 августа, 2016 Отлично смотрится, Серый! Молодчик Ссылка на комментарий
Evikrol Опубликовано 22 августа, 2016 Поделиться Опубликовано 22 августа, 2016 Доктор вы скрываете самое интересное, фотографии этапа препарирования. Вашей работы не видно, Вижу что техник старался, вижу что вы фотографировали и все Ссылка на комментарий
Рекомендуемые сообщения
Для публикации сообщений создайте учётную запись или авторизуйтесь
Вы должны быть пользователем, чтобы оставить комментарий
Создать аккаунт
Зарегистрируйте новый аккаунт в нашем сообществе. Это очень просто!
Регистрация нового пользователяВойти
Уже есть аккаунт? Войти в систему.
Войти