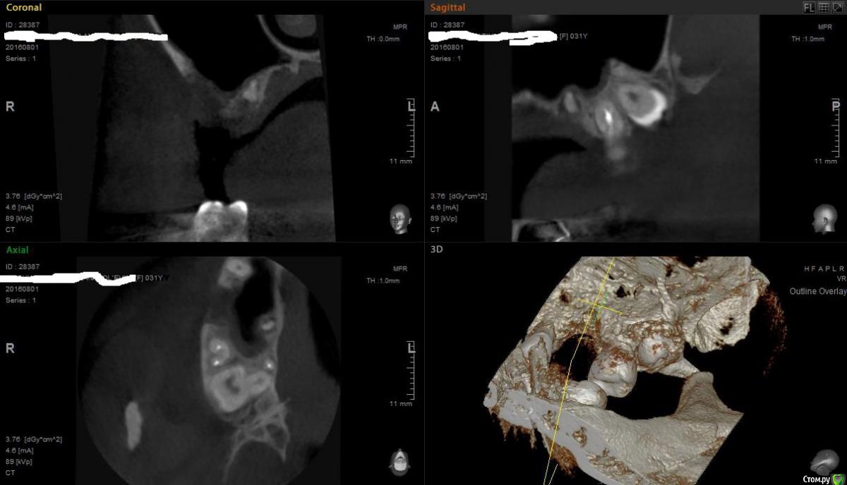
Павел7809 Опубликовано 3 августа, 2016 Поделиться Опубликовано 3 августа, 2016 Собственно все достаточно просто, пациент на синус, Зуб удалял я сам, каких то проблем насколько я помню небылоСделал на всякий случай кт шку, бегло ее посмотрел, записал на операцию. Заказал материалы!!! И тут сижу ее, прикидываю имплант - и что я вижу - корень! Как я мог проморгать(или может это и не корень а какой нибудь осколок? Прошу совета подальнейшей тактике. Возможно ли совместить открытый синус с удалением этого корешка? Или нежелательно? Ссылка на комментарий
red_butler Опубликовано 3 августа, 2016 Поделиться Опубликовано 3 августа, 2016 все бывает, и "Акелла промахнулся". Убрать при следующем заходе в эту область. 6 Ссылка на комментарий
Fibez Опубликовано 3 августа, 2016 Поделиться Опубликовано 3 августа, 2016 Это не осколок, это верхушка небного корня. Делать то, что запланировали. Плюс корень удалить. И после окончания операции вскользь сказать пациенту, мол еще какой-то мелкий фрагмент корня удалил "за компанию". 2 Ссылка на комментарий
Павел7809 Опубликовано 3 августа, 2016 Автор Поделиться Опубликовано 3 августа, 2016 Это не осколок, это верхушка небного корня. Делать то, что запланировали. Плюс корень удалить. И после окончания операции вскользь сказать пациенту, мол еще какой-то мелкий фрагмент корня удалил "за компанию".А возможно инфицирование графта в синусе от этого "хвоста", и не лучше ли было бы сначала удалить, через месяцок синус делать? Ссылка на комментарий
Fibez Опубликовано 3 августа, 2016 Поделиться Опубликовано 3 августа, 2016 возможно. не лучше. Ссылка на комментарий
Аслан Опубликовано 3 августа, 2016 Поделиться Опубликовано 3 августа, 2016 Имхо удалить вместе с синусом и засыпать графтом. 1 Ссылка на комментарий
voff Опубликовано 4 августа, 2016 Поделиться Опубликовано 4 августа, 2016 КаТэ полезная вещь Убрать и засыпать. Имплант "прикидывать" ни к чему и не к чему вообще тут... Ссылка на комментарий
Рекомендуемые сообщения
Для публикации сообщений создайте учётную запись или авторизуйтесь
Вы должны быть пользователем, чтобы оставить комментарий
Создать аккаунт
Зарегистрируйте новый аккаунт в нашем сообществе. Это очень просто!
Регистрация нового пользователяВойти
Уже есть аккаунт? Войти в систему.
Войти