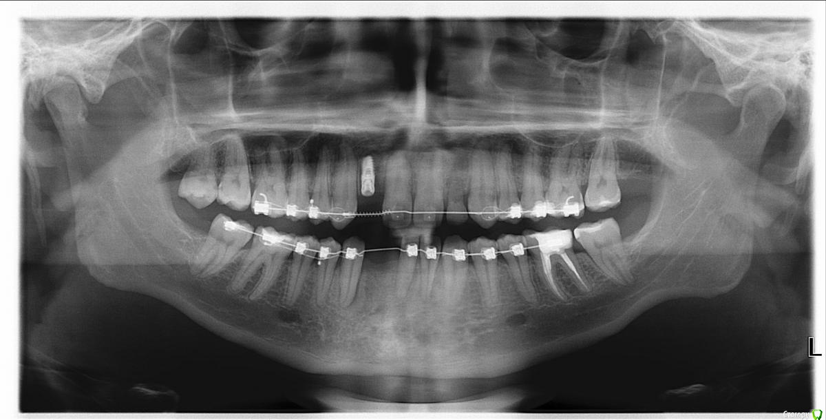
kimon Опубликовано 28 июля, 2016 Поделиться Опубликовано 28 июля, 2016 Здравствуйте, прошу совета. Мне 27 лет, нет двух передних нижних зубов (снимок приложил), нет, потому что просто не выросли коренные зубы. Сейчас занялся зубами, ношу брекеты, дошло дело до имплантации и выяснилось(делали КТ), что в нижней челюсти для двух имплантатов просто не хватает места.Хирург посоветовал поставить 1 имплантат, а соседние зубы увеличить пломбированием. Сказал что вместо 4х передних зубов будет 3 больших. Но там как буд-то слишком большое расстояние и будут щели. Между зубами сейчас щель шириной в 9 мм. Подскажите пожалуйста, есть ли возможность в такой ситуации сделать красиво?Консультировался с ортопедом, но он сказал что на импланте как предлагает хирург красиво точно не получится и предложил сделать мост на зубах. Незнаю что делать, любые деньги готов был отдать чтобы все эстетично получилось.. Ссылка на комментарий
red_butler Опубликовано 28 июля, 2016 Поделиться Опубликовано 28 июля, 2016 один имплант и две коронки, покажите фото во рту 2 Ссылка на комментарий
kimon Опубликовано 28 июля, 2016 Автор Поделиться Опубликовано 28 июля, 2016 один имплант и две коронки, покажите фото во рту Мне все утверждают что так нельзя, что это не потехнологии Фото приложил. Два зуба(коронки) вроде влазит, а для имплантов места мало. Фото приложил. Ссылка на комментарий
Ст@ся Опубликовано 28 июля, 2016 Поделиться Опубликовано 28 июля, 2016 Мне все утверждают что так нельзя, что это не потехнологии Фото приложил. Два зуба(коронки) вроде влазит, а для имплантов места мало. Фото приложил.Можно.Один имплант, 2 коронки - консоль, плюс много-много десны 2 Ссылка на комментарий
Ст@ся Опубликовано 28 июля, 2016 Поделиться Опубликовано 28 июля, 2016 http://images.vfl.ru/ii/1469688558/7f9846da/13535565_m.jpg 1 Ссылка на комментарий
red_butler Опубликовано 28 июля, 2016 Поделиться Опубликовано 28 июля, 2016 Мне все утверждают что так нельзя, что это не потехнологииеще как можно, только хирург и ортопед должны знать и уметь как это делать (работа с десной и временными коронками), иначе красиво не получиться.Покажите фото верха, к установленному имплантату это тоже относиться Ссылка на комментарий
колесников Опубликовано 28 июля, 2016 Поделиться Опубликовано 28 июля, 2016 Мне кажется или центральная линия не совпадает,а 33 на уровне 22? Вы уверены что ортодонтическое лечение завершено? Ссылка на комментарий
Рекомендуемые сообщения
Для публикации сообщений создайте учётную запись или авторизуйтесь
Вы должны быть пользователем, чтобы оставить комментарий
Создать аккаунт
Зарегистрируйте новый аккаунт в нашем сообществе. Это очень просто!
Регистрация нового пользователяВойти
Уже есть аккаунт? Войти в систему.
Войти