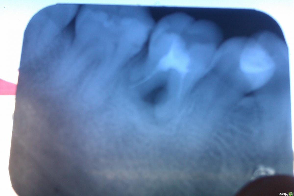
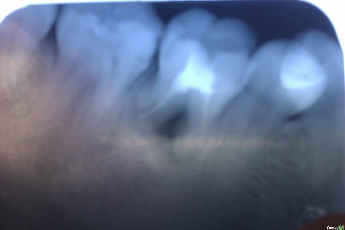
Iwan Опубликовано 20 июля, 2016 Поделиться Опубликовано 20 июля, 2016 Здравствуйте, коллеги! У моей медсестры начал поднывать 36, его много раз перелечивали, говорят, что медиальный канал до конца не проходим. Сделали снимок.Простите за качество фоток!. Какие будут варианты, я сам хирург, но она не готова в 24 года расстаться с 36 зубом. Может есть какой-нибудь вариант попробовать сохранить? Ссылка на комментарий
AlexanderGudkov Опубликовано 20 июля, 2016 Поделиться Опубликовано 20 июля, 2016 Удалть его только лишь возможно Ссылка на комментарий
St. Опубликовано 20 июля, 2016 Поделиться Опубликовано 20 июля, 2016 Если считаете возможным, лучше предложите ей имплантацию со скидкой. За зуб бороться смысла не вижу. Ссылка на комментарий
Stomart Опубликовано 20 июля, 2016 Поделиться Опубликовано 20 июля, 2016 От дистального корня почти ничего не осталось, медиальный тоже "съеденый". За удаление. Ссылка на комментарий
ajk Опубликовано 20 июля, 2016 Поделиться Опубликовано 20 июля, 2016 Я бы помучал ещё этот зуб, прежде чем удалять. Судя по картинке и словам ТС, этот зуб адекватного лечения ещё не видел. Ссылка на комментарий
Iwan Опубликовано 20 июля, 2016 Автор Поделиться Опубликовано 20 июля, 2016 Я вот тоже думаю если попытаться пройти каналы и в бифуркации ревизию сделать. Ссылка на комментарий
Iwan Опубликовано 20 июля, 2016 Автор Поделиться Опубликовано 20 июля, 2016 может таким образом оттянем удаление) Ссылка на комментарий
Jurai Опубликовано 20 июля, 2016 Поделиться Опубликовано 20 июля, 2016 Тяните до последнего, пока совсем не останется кости, остеопластика это увлекательно!А без шуток, удалите, и без особых проблем поставьте имплантат. Ссылка на комментарий
St. Опубликовано 20 июля, 2016 Поделиться Опубликовано 20 июля, 2016 (изменено) может таким образом оттянем удаление)если бы там не было резорбции по обоим корням, помимо процесса в фуркации - можно было бы попробовать, а так... Изменено 20 июля, 2016 пользователем St. Ссылка на комментарий
Iwan Опубликовано 20 июля, 2016 Автор Поделиться Опубликовано 20 июля, 2016 Я вас понял, всем спасибо! Ссылка на комментарий
ajk Опубликовано 20 июля, 2016 Поделиться Опубликовано 20 июля, 2016 Я вот тоже думаю если попытаться пройти каналы и в бифуркации ревизию сделать. Ну, удалить - дело нехитрое. Можно попытаться пройти каналы как положено, отмыться, кальций и наблюдать. Не улучшится картинка, тогда и думать что дальше. Ссылка на комментарий
krokomot Опубликовано 20 июля, 2016 Поделиться Опубликовано 20 июля, 2016 Дергать и имплант, оптимально. зуб укакошен! Ссылка на комментарий
molchanoff Опубликовано 21 июля, 2016 Поделиться Опубликовано 21 июля, 2016 +100 за экстирпацию и имплантацию Ссылка на комментарий
red_butler Опубликовано 22 июля, 2016 Поделиться Опубликовано 22 июля, 2016 + 1 за удаление, и похоже ортодонтия требуется Ссылка на комментарий
Audutor Опубликовано 22 июля, 2016 Поделиться Опубликовано 22 июля, 2016 Его много раз перелечивалиЭто ключевой момент, особенно учитывая как выглядит данное перелечивание.Как сотруднице я бы возможно и взялся, в вашем случае все от вас зависит, но там должен быть, качественный эндо протокол, дезинфекция 40 мин, закрытие апексов с МТА.И контроль каждые 3 месяца. до года и пол года до 2х лет.Но есть ли такой специалист-микроскопист у неё в доступе, скорее всего нет.Так что проще удалять и крутить... Ссылка на комментарий
Kolchanov Опубликовано 22 июля, 2016 Поделиться Опубликовано 22 июля, 2016 Я думаю, что надо снимок переделать. На этом все завалено и не видать ни черта. Ссылка на комментарий
Hudish Опубликовано 22 июля, 2016 Поделиться Опубликовано 22 июля, 2016 А что сразу имплант?А после удаления на косультацию к ортодонту нельзя хотя бы направить? 1 Ссылка на комментарий
Бардо Опубликовано 22 июля, 2016 Поделиться Опубликовано 22 июля, 2016 А что с зубом, я так и не понял. Снимок нужен нормальный. Ссылка на комментарий
Audutor Опубликовано 22 июля, 2016 Поделиться Опубликовано 22 июля, 2016 А что сразу имплант?А после удаления на косультацию к ортодонту нельзя хотя бы направить?Плюсую+ Ссылка на комментарий
Рекомендуемые сообщения
Для публикации сообщений создайте учётную запись или авторизуйтесь
Вы должны быть пользователем, чтобы оставить комментарий
Создать аккаунт
Зарегистрируйте новый аккаунт в нашем сообществе. Это очень просто!
Регистрация нового пользователяВойти
Уже есть аккаунт? Войти в систему.
Войти