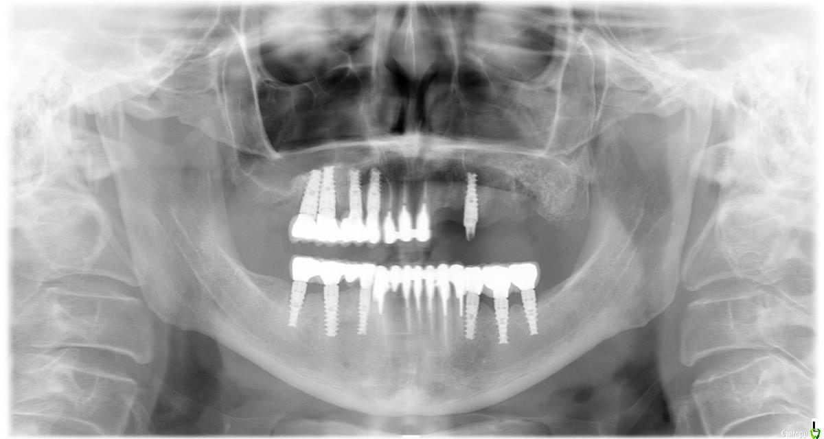
jell273 Опубликовано 12 июля, 2016 Поделиться Опубликовано 12 июля, 2016 Всем доброй ночи. В прошлой теме http://forum.stom.ru/topic/10643-ochen-slozhnoe-protezirovanie-pomogite/, я писала о плане протезирования и установки имплантов. Все манипуляции с зубами , были закончены в 2011 году и радостно ходила до ноября 2015 года. Пока верхние, левые импланты не стали качаться и не выпали,, Потом оказалось, что у меня Гаймороэтмоидит. Болей особо не было и доктор , мне через разрез в десне, пытался, почистить гайморову пазуху. Толку было ноль,. Потом был 1 мед. Проколы, уколы, таблетки и.т д. Вроде все вылечили. Хотя до имплантации , гайморитов не было. Сейчас сделали сьемный протез, . К осени, доктор хочет нарастить кость , с синуслифтингом. Подождать месяцев 6???.. Потом поставит импланты, и только потом через еще несколько месяцев коронки. Гарантии, что, что то пойдет не так никто не дает. Не лор, не имплантолог. Врач у меня, очень хороший и грамотный. У меня, к вам вопрос, уважаемые врачи. Были ли случаи, выпадения имплантов, через 4 года??? Или , мне одной, так не повезло??? Шок уже прошел. Теперь с врачем , пытаемся действовать очень осторожно. Остальные импланты стоят на месте и слава богу не шатаются. Снимки прилагаю. Спасибо Ссылка на комментарий
red_butler Опубликовано 13 июля, 2016 Поделиться Опубликовано 13 июля, 2016 у живых людей и не такое бывает.Можете показать более ранний снимки? 1 Ссылка на комментарий
jell273 Опубликовано 13 июля, 2016 Автор Поделиться Опубликовано 13 июля, 2016 у живых людей и не такое бывает.Можете показать более ранний снимки? Есть снимок без имплантов. red_butler, странно просто. Стояли себе импланты, как влитые и потом через 4 года стали шататься, да так, что доктор их вытащил руками. Можно предположить, что все это время, был хронический гайморит, который я не замечала и кость постепенно стала уходить. Но как можно, не заметить Гайморит ??.Диабета нет . Есть гастрит, холецистит и аденомиоз. Но как, эти заболевания, влияют на убыль кости.??? Ссылка на комментарий
Alejandro Опубликовано 14 июля, 2016 Поделиться Опубликовано 14 июля, 2016 (изменено) При имплантации в 2011 году синуслифтинг проводился? Изменено 14 июля, 2016 пользователем Alejandro Ссылка на комментарий
Bier Опубликовано 14 июля, 2016 Поделиться Опубликовано 14 июля, 2016 Судя по всему кость в пазухе не образовалась. На мой взгляд нужно сделать нормальную ревизию, если старый материал не окостенел, его нужно вычистить. Ссылка на комментарий
jell273 Опубликовано 14 июля, 2016 Автор Поделиться Опубликовано 14 июля, 2016 При имплантации в 2011 году синуслифтинг проводился?Да, проводился. Стоматолог, после выпадения имплантов и найденном гаймороэтмоидит, мне через разрез в десне, сделал гайморотомию. Ощущение было не забываемое. Может он тогда и ревизию сделал??? Хочется, после подсадки кости, что бы нормально прижились импланты и не выпали через несколько лет. Меня синуслифтинг и имплантация не пугают, это все нормально обычно проходит, но если, что то пойдет не так , после имплантации, еще одну гайморотомию , мне бы не хотелось. Тем более, что она будет проходить уже у лора в 1 меде , и под наркозом. Думаю, что проколами будет не обойтись. Можно конечно со сьемным протезом ходить, но не хотелось бы. Ссылка на комментарий
jell273 Опубликовано 22 июля, 2016 Автор Поделиться Опубликовано 22 июля, 2016 Судя по всему кость в пазухе не образовалась. На мой взгляд нужно сделать нормальную ревизию, если старый материал не окостенел, его нужно вычистить. Bier, скажите пожалуйста. а четыре года, как они держались, если кость не образовалась? Стояли крепко все (( Боюсь за другие импланты и ставить новые , тоже страшно. Что же делать??? Ссылка на комментарий
IvanK Опубликовано 22 июля, 2016 Поделиться Опубликовано 22 июля, 2016 как они держались держались за соседей Ссылка на комментарий
Рекомендуемые сообщения
Для публикации сообщений создайте учётную запись или авторизуйтесь
Вы должны быть пользователем, чтобы оставить комментарий
Создать аккаунт
Зарегистрируйте новый аккаунт в нашем сообществе. Это очень просто!
Регистрация нового пользователяВойти
Уже есть аккаунт? Войти в систему.
Войти