jm3300 Опубликовано 8 июля, 2016 Поделиться Опубликовано 8 июля, 2016 Добрый вечер коллеги. Было установлено 2 винта с одномоментным закрытым синусом. Послеоперационный период без особенностей, спокойный. Спустя почти 2.5 мес появилась клиника гайморита( после резкой смены климата). Пока отек и боль. Выделений нет. Вопрос про причину, и дальнейшую тактику. Ссылка на комментарий
VITASVIR1979 Опубликовано 8 июля, 2016 Поделиться Опубликовано 8 июля, 2016 Рекомендую антибиотик амоксиклав( аугментин ),и если пальпируется инфильтрат,то разрез с дренированием и промыванием антисептиком.Читал про похожий случай в "Mir stomatologov" на фейсбуке... 1 Ссылка на комментарий
an_ver Опубликовано 9 июля, 2016 Поделиться Опубликовано 9 июля, 2016 Рекомендую антибиотик амоксиклав( аугментин ),и если пальпируется инфильтрат,то разрез с дренированием и промыванием антисептиком.Читал про похожий случай в "Mir stomatologov" на фейсбуке...У меня так же было.Ничего не помогло.В самы раз при закрытом,ничего не помогло. Зайти латер.доступом,немного выше,промыл,почистил,выкрутил.В амбразуру дренаж пупочный)) и через слизистую наружу его,конец во рту...или через соустье в нос наружу( но я так не умею) и промывать,промывать...цефалоспорины назначал,в нос назонекс...а еще перед ушиванием промыл пазуху дексой)))..неделю мыл физ. раст. стерильным,пока чистый не пошел,убрал дренаж..в сентябре будет открытый и импланты 1 Ссылка на комментарий
red_butler Опубликовано 9 июля, 2016 Поделиться Опубликовано 9 июля, 2016 Добрый вечер коллеги. Было установлено 2 винта с одномоментным закрытым синусом. Послеоперационный период без особенностей, спокойный. Спустя почти 2.5 мес появилась клиника гайморита( после резкой смены климата). Пока отек и боль. Выделений нет. Вопрос про причину, и дальнейшую тактику.Кт делали? 2 Ссылка на комментарий
jm3300 Опубликовано 11 июля, 2016 Автор Поделиться Опубликовано 11 июля, 2016 Кт делали?КТ ещё не делали. Нет возможности даже дентальный сделать( не говоря уж о ОПТГ, ППН). Пациент появится только через неделю. Как можно консервативно помочь? Пьет а/б, сосудосуживающие. Боль не нарастает, можно сказать, даже проходит, но присутствует отёк( с утра) под ОД( там где и синус с винтами), и небольшая парестезия там же Ссылка на комментарий
red_butler Опубликовано 11 июля, 2016 Поделиться Опубликовано 11 июля, 2016 КТ ещё не делали. Нет возможности даже дентальный сделать( не говоря уж о ОПТГ, ППН). Пациент появится только через неделю. Как можно консервативно помочь? Пьет а/б, сосудосуживающие. Боль не нарастает, можно сказать, даже проходит, но присутствует отёк( с утра) под ОД( там где и синус с винтами), и небольшая парестезия там жеСверх того что написали нечего добавить. После Кт будет понятна причина. Ссылка на комментарий
Nazim_NV86 Опубликовано 12 июля, 2016 Поделиться Опубликовано 12 июля, 2016 А до операции КТ могли бы выложить? И сколько времени отсутствовали зубы в этой области? Ссылка на комментарий
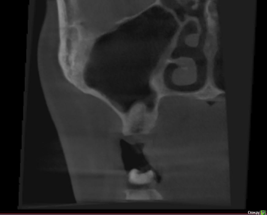
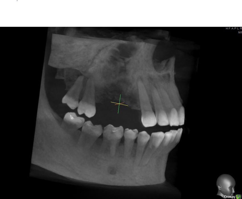
jm3300 Опубликовано 12 июля, 2016 Автор Поделиться Опубликовано 12 июля, 2016 А до операции КТ могли бы выложить? И сколько времени отсутствовали зубы в этой области?отсутствовали достаточно долги. КТ до: Ссылка на комментарий
red_butler Опубликовано 12 июля, 2016 Поделиться Опубликовано 12 июля, 2016 Соустье покажите Ссылка на комментарий
jm3300 Опубликовано 13 июля, 2016 Автор Поделиться Опубликовано 13 июля, 2016 Соустье покажитетам кт заканчивается, не особо видно Ссылка на комментарий
jm3300 Опубликовано 14 июля, 2016 Автор Поделиться Опубликовано 14 июля, 2016 выкладываю кт Ссылка на комментарий
умножающий печаль Опубликовано 14 июля, 2016 Поделиться Опубликовано 14 июля, 2016 Промыть пазуху через соустье, курсом. Я отправляю к ЛОРам. Антибиотикотерапия, гипосенсибилизация. Один из винтов вестибулярно без костной поддержки, на мой взгляд. 1 Ссылка на комментарий
jm3300 Опубликовано 14 июля, 2016 Автор Поделиться Опубликовано 14 июля, 2016 добавлю https://youtu.be/D5fYsCILyjA Ссылка на комментарий
jm3300 Опубликовано 14 июля, 2016 Автор Поделиться Опубликовано 14 июля, 2016 Промыть пазуху через соустье, курсом. Я отправляю к ЛОРам. Антибиотикотерапия, гипосенсибилизация. Один из винтов вестибулярно без костной поддержки, на мой взгляд. гайморит всё таки есть? 1 Ссылка на комментарий
red_butler Опубликовано 15 июля, 2016 Поделиться Опубликовано 15 июля, 2016 гайморит всё таки есть?Не увидел, один винт похоже на выход 1 Ссылка на комментарий
syrovovec Опубликовано 15 июля, 2016 Поделиться Опубликовано 15 июля, 2016 (изменено) Пазуха чистая, Антон, какой винт на выход не понял?Может у пац аллергия ? Изменено 15 июля, 2016 пользователем syrovovec 1 Ссылка на комментарий
kladoffka Опубликовано 15 июля, 2016 Поделиться Опубликовано 15 июля, 2016 Тоже не понял, вроде все хорошо стоят. Главное слизистые то в покое. 1 Ссылка на комментарий
red_butler Опубликовано 15 июля, 2016 Поделиться Опубликовано 15 июля, 2016 Пазуха чистая, Антон, какой винт на выход не понял?Может у пац аллергия ?На последних срезах, вестибулярно на 2/3 кости нет.Какая уж аллергия, если боль и отек 1 Ссылка на комментарий
умножающий печаль Опубликовано 15 июля, 2016 Поделиться Опубликовано 15 июля, 2016 (изменено) гайморит всё таки есть?Судя по симптоматике, которую вы представили, есть. На снимке признаки могут запаздывать, ежели процесс острый, хотя снижение пневматизации должно быть заметно. Я на мониторе не разглядел. Рентген всего лишь доп. метод обследования. Диагноз ставит врач, то есть вы, сопоставив клинику и доп.методы.З.Ы. Я не думаю, что в вашем случае причина гайморита имплантация. Временной интервал слишком велик. Изменено 15 июля, 2016 пользователем умножающий печаль 1 Ссылка на комментарий
умножающий печаль Опубликовано 15 июля, 2016 Поделиться Опубликовано 15 июля, 2016 Тоже не понял, вроде все хорошо стоят. Главное слизистые то в покое.Это пока в покое. Винт не покрытый костью, долго под мягкими тканями оставаться не будет. Неизбежна рецессия со всеми вытекающими. 1 Ссылка на комментарий
Bier Опубликовано 15 июля, 2016 Поделиться Опубликовано 15 июля, 2016 Смотря какие там мягкие ткани 1 Ссылка на комментарий
syrovovec Опубликовано 16 июля, 2016 Поделиться Опубликовано 16 июля, 2016 На последних срезах, вестибулярно на 2/3 кости нет.Ну может там вестибулярно мяса килограм) 1 Ссылка на комментарий
jm3300 Опубликовано 16 июля, 2016 Автор Поделиться Опубликовано 16 июля, 2016 Всем большое спасибо за ответы. Вопрос: есть ли смысл сейчас раскрывать винт( медиальный), посмотреть визуально что там происходит, провести ай- тест, или пока рано? Ссылка на комментарий
red_butler Опубликовано 16 июля, 2016 Поделиться Опубликовано 16 июля, 2016 А что сейчас с пациентом? Что внешне и в полости рта? Ссылка на комментарий
jm3300 Опубликовано 17 июля, 2016 Автор Поделиться Опубликовано 17 июля, 2016 сменили а/б и на следующий день стало всё ок. Смущает, что пациент указывал на изредка и ненадолго появляющиеся боль слизистой( при нажатии) в области переднего винта Ссылка на комментарий
Рекомендуемые сообщения
Для публикации сообщений создайте учётную запись или авторизуйтесь
Вы должны быть пользователем, чтобы оставить комментарий
Создать аккаунт
Зарегистрируйте новый аккаунт в нашем сообществе. Это очень просто!
Регистрация нового пользователяВойти
Уже есть аккаунт? Войти в систему.
Войти