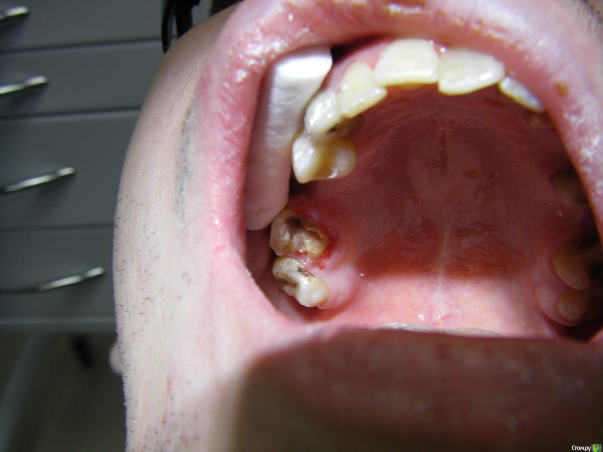
ARislanV Опубликовано 24 июня, 2016 Поделиться Опубликовано 24 июня, 2016 Лечу зуб 17 Pt, хотелось бы удлинить клиническую коронку зуба, что бы можно было поставить вкладку+ коронку одиночную. Что можно сделать посоветуйте пожалуйста? Ссылка на комментарий
molchanoff Опубликовано 24 июня, 2016 Поделиться Опубликовано 24 июня, 2016 лучше удалить от греха подальшеа так скальпелем срезаете и парасептом фиксируете положение на месяц Ссылка на комментарий
ARislanV Опубликовано 24 июня, 2016 Автор Поделиться Опубликовано 24 июня, 2016 лучше удалить от греха подальшеа так скальпелем срезаете и парасептом фиксируете положение на месяцскальпелем срезаем десну, а кость? Ссылка на комментарий
krokomot Опубликовано 24 июня, 2016 Поделиться Опубликовано 24 июня, 2016 давайте снимок Ссылка на комментарий
ARislanV Опубликовано 24 июня, 2016 Автор Поделиться Опубликовано 24 июня, 2016 давайте снимокимеете ввиду Рентген? Хорошо будет) Ссылка на комментарий
krokomot Опубликовано 24 июня, 2016 Поделиться Опубликовано 24 июня, 2016 имеете ввиду Рентген? Хорошо будет)Нет, фото из вашего паспорта))) 1 Ссылка на комментарий
molchanoff Опубликовано 25 июня, 2016 Поделиться Опубликовано 25 июня, 2016 скальпелем срезаем десну, а кость?если сможете откинуть лоскут, то тады и кость бором, а если нет то потом просто пройдет ремоделировка с учет нарушения биоширины Ссылка на комментарий
ARislanV Опубликовано 25 июня, 2016 Автор Поделиться Опубликовано 25 июня, 2016 если сможете откинуть лоскут, то тады и кость бором, а если нет то потом просто пройдет ремоделировка с учет нарушения биошириныЯ если честно такого нм когда не делал, но больше делать не кому и хочется попробывать.) Например если я отслою гладилкой десну по периметру на 5 мм, далее уберу не много кость бором ( турбинкой? каким алмазным или твердосплавным?) - норм будет? Только из чего защитную повязку делать не знаю, у меня парасепта нету ( Ссылка на комментарий
Настасья Весенняя Опубликовано 25 июня, 2016 Поделиться Опубликовано 25 июня, 2016 Я если честно такого нм когда не делал, но больше делать не кому и хочется попробывать.) Например если я отслою гладилкой десну по периметру на 5 мм, далее уберу не много кость бором ( турбинкой? каким алмазным или твердосплавным?) - норм будет? Только из чего защитную повязку делать не знаю, у меня парасепта нету (Парасепт стоит недорого. Ссылка на комментарий
molchanoff Опубликовано 25 июня, 2016 Поделиться Опубликовано 25 июня, 2016 зубы удаляли ????если нет, то не знаю как и что вам посоветовать.к хирургу на удаление раз вы так сомневаетесь Ссылка на комментарий
molchanoff Опубликовано 25 июня, 2016 Поделиться Опубликовано 25 июня, 2016 (изменено) короче чем нибудь (прости меня господи) сносите десну с небной стороны хоть бором, или скальпелем, как вам удобнее или доступнее будет, потом полученный результат зафиксируйте временной пломбой, композитом, бисакрилом. суть в том, чтоб создать механический барьер для роста десны "обратно".жуть . Например если я отслою гладилкой десну по периметру на 5 мм, далее уберу не много кость бором-----не отслоить а откинуть лоскут чтоб визуализировать кость и редуцировать ее вместе с десной которую нужно после зафиксировать швами, а иначе отслоение превратиться в карман. Я БЫ УДАЛИЛ ЭТИ ОСТАТКИ БЕЗ ВАРИАНТОВ Изменено 25 июня, 2016 пользователем molchanoff Ссылка на комментарий
ajk Опубликовано 26 июня, 2016 Поделиться Опубликовано 26 июня, 2016 Этот парасепт чем-то от дентин-пасты отличается? Ссылка на комментарий
krokomot Опубликовано 26 июня, 2016 Поделиться Опубликовано 26 июня, 2016 Да отличается, парасепт лучше уж оосно Ссылка на комментарий
ajk Опубликовано 26 июня, 2016 Поделиться Опубликовано 26 июня, 2016 оосно Это что? На сайте владмивы посмотрел, уж больно долго он стынет. Ссылка на комментарий
krokomot Опубликовано 26 июня, 2016 Поделиться Опубликовано 26 июня, 2016 Это что? На сайте владмивы посмотрел, уж больно долго он стынет. точно!)) Ссылка на комментарий
Fred Опубликовано 27 июня, 2016 Поделиться Опубликовано 27 июня, 2016 Какой удалить, тут еще тканей полно! На такой зуб кламмер еще цепляется! У нас спасают такие же, но с двухмиллиметровым поддесневым поражением с 3 сторон.Руки бы хирургам поотрывать за удаление таких 1 Ссылка на комментарий
krasnyi Опубликовано 28 июня, 2016 Поделиться Опубликовано 28 июня, 2016 Какой удалить, тут еще тканей полно! На такой зуб кламмер еще цепляется! У нас спасают такие же, но с двухмиллиметровым поддесневым поражением с 3 сторон.Руки бы хирургам поотрывать за удаление таких +100 Я бы тоже не удалял. Ссылка на комментарий
krasnyi Опубликовано 28 июня, 2016 Поделиться Опубликовано 28 июня, 2016 Даже не заморачиваясь с десной можно изготовить вкладку с последующим протезированием. А удалить всегда успеете Ссылка на комментарий
ARislanV Опубликовано 2 июля, 2016 Автор Поделиться Опубликовано 2 июля, 2016 давайте снимокВот снимок после пломбирования корней. Щечные короткие, небный более или менее. Ссылка на комментарий
ARislanV Опубликовано 2 июля, 2016 Автор Поделиться Опубликовано 2 июля, 2016 короче чем нибудь (прости меня господи) сносите десну с небной стороны хоть бором, или скальпелем, как вам удобнее или доступнее будет, потом полученный результат зафиксируйте временной пломбой, композитом, бисакрилом. суть в том, чтоб создать механический барьер для роста десны "обратно".жуть . Я БЫ УДАЛИЛ ЭТИ ОСТАТКИ БЕЗ ВАРИАНТОВУ меня был тример фирмы NTi беленький такой, по пробывал с ним. Убрал по периметру десну на 1.5 мм и все залил Силидонтом. 1 Ссылка на комментарий
Каплан Опубликовано 3 июля, 2016 Поделиться Опубликовано 3 июля, 2016 в таких ситуациях 2 пути1. пластика и эндо в один визит. причем тут можно как с полнослойным лоскутом, так и с коагулятором, главное - потом временная ресто2. более предпочтительный в моих руках-сначала эндо, если можно кламп уверенно поставить-прямая моделировка вкладки с препом под круговую гирлянду. даже если при этом коцается десна слегка. -фксация вкладки, пластика (полнослойная или коагуляция) и временная коронка в один визит. - через 6-8 недель слепок. 1 Ссылка на комментарий
Kolchanov Опубликовано 3 июля, 2016 Поделиться Опубликовано 3 июля, 2016 Выпиливание десны, эндо в один визит и билд-ап сразу. Композит штифты. Потом удлинять. Ссылка на комментарий
Рекомендуемые сообщения
Для публикации сообщений создайте учётную запись или авторизуйтесь
Вы должны быть пользователем, чтобы оставить комментарий
Создать аккаунт
Зарегистрируйте новый аккаунт в нашем сообществе. Это очень просто!
Регистрация нового пользователяВойти
Уже есть аккаунт? Войти в систему.
Войти