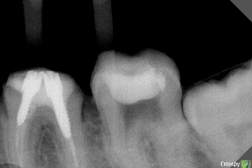
dr.Dre Опубликовано 27 мая, 2016 Поделиться Опубликовано 27 мая, 2016 Добрый день коллеги,дайте пожалуста совет ,никак не могу разработать медиальные устья и это уже не первый зуб что я делаю не так Ссылка на комментарий
pils Опубликовано 27 мая, 2016 Поделиться Опубликовано 27 мая, 2016 Может расскажите сначала, что Вы делаете? На снимке каналы видны очень и очень четко. Никаких проблем быть не должно. 1 Ссылка на комментарий
dr.Dre Опубликовано 27 мая, 2016 Автор Поделиться Опубликовано 27 мая, 2016 (изменено) Может расскажите сначала, что Вы делаете? На снимке каналы видны очень и очень четко. Никаких проблем быть не должноДелаю доступ заливаю все гипохлоритом и лимонкой,потом С pilot 8 и все далее ничего не виходит ,не цепляет ,пробывал ультразвуком больше боюсь что б не разбить сильно зуб. Изменено 27 мая, 2016 пользователем dr.Dre Ссылка на комментарий
pils Опубликовано 27 мая, 2016 Поделиться Опубликовано 27 мая, 2016 На снимке каналы видны абсолютно четко. Единственное, что приходит в голову, и об этом коллеги Вам писали в другой теме, так это неправильный угол... 2 Ссылка на комментарий
dr.Dre Опубликовано 27 мая, 2016 Автор Поделиться Опубликовано 27 мая, 2016 На снимке каналы видны абсолютно четко. Единственное, что приходит в голову, и об этом коллеги Вам писали в другой теме, так это неправильный угол...извините а вы могли на рентгене указать правильный угол Ссылка на комментарий
Ker Опубликовано 28 мая, 2016 Поделиться Опубликовано 28 мая, 2016 Может опилками забиваете, можете уступ нарезаете, да много чего может быть. Глазами то хоть видно устья? Ссылка на комментарий
dr.Dre Опубликовано 29 мая, 2016 Автор Поделиться Опубликовано 29 мая, 2016 Может опилками забиваете, можете уступ нарезаете, да много чего может быть. Глазами то хоть видно устья?да видно Ссылка на комментарий
vse32 Опубликовано 29 мая, 2016 Поделиться Опубликовано 29 мая, 2016 Самое вероятное Ваше направление.http://s017.radikal.ru/i413/1605/69/80d69b0e10bc.jpg Наклон с окклюзионной стороны http://s018.radikal.ru/i514/1605/84/ffc718f553ed.jpg Красный - синий это медиально-щечный.Желтый - зеленый это медиально-язычный. http://s019.radikal.ru/i618/1605/4c/2b84abb486e7.jpg Цветом показаны наиболее распространенные крайние положения инструментов (из моего опыта).Пробуйте все.У меня всегда ориентир, если инструмент в медиальном канале встал вертикально или чуток ручкой к щеке - это медиально-язычный каналЕсли инструмент от щеки ручкой - то медиально-щечный. Он практически никогда не встает вертикально.Как-то так.Экскурс в прошлое, кому скучно, не читать, далее почти никаких ЦУ. 4 курс, лечу пульпит 26 на студенческой группе. Ну как лечу, вскрыла камеру, пытаюсь найти каналы. Небный без проблем, Дистальный щечный, как всегда в поле видимости - тоже вроде периодически захожу, а вот МБ - ну хоть ты сдохни, никак (нас тогда искать МБ2 вообще не учили, 3 канала и точка).Зову преподавателя, она молча вставляет инструменты в оба канала и уходит.Я смотрю, запоминаю, вынимаю, повторить не могу.Новый раунд. Препод, инструменты in - out, не могу.Зову в третий раз. Что не так, почему?И вот тут то мне открыли сакральное знание про углы и направления! Прошло 17 лет, я до сих пор помню что было на том занятии, где это было, как выглядел препод, зуб, помню как солнце светило в окно. Но главное, я с тех пор люблю эндодонтию.И тьфу-тфу-тьфу, у меня редко возникают проблемы с поиском и меня часто зовут поискать в чужих зубах. Чего и Вам желаю.Пробуйте крутить направления, не бойтесь самых крайних и сильно наклоненных позиций.Хотя крайности, это, зачастую, недораскрытые устья или не снятая крыша пульпарной камеры, но с перфорациями в области каналов.На сегодняшний момент помню одно дикое исключение.46, 4 канала. 2 дистальных и столько же медиальных. Ретрит. На снимке мезиоденс, канал в нем и нужно найти (по факту канал дистально-язычный).Так вот, что бы зайти в этот канал - пришлось положить инструмент почти горизонтально к щеке. Иначе не входил. http://s41.radikal.ru/i093/1605/9d/ea6b2f14d658.jpg Увы, в этом зубе был фэил. Я не смогла пройти дисталый щечный. Предыдущим юзером был сформирован ложный канал "на прямую". И переложить это направление у меня не получилось. Так что медиальный я даже дорабатывать не стала. http://s017.radikal.ru/i436/1605/25/d265d8ba2bd7.jpg Потом, правда ортопед попросил перепройти медиальные, там гутта, перепрошла. Но гарантии 0. На всех корнях кисты. И на дистальном щечном тоже. Про 47 молчите, просто молчите. 3 Ссылка на комментарий
dr.Dre Опубликовано 29 мая, 2016 Автор Поделиться Опубликовано 29 мая, 2016 Самое вероятное Ваше направление.http://s017.radikal.ru/i413/1605/69/80d69b0e10bc.jpg Наклон с окклюзионной стороны http://s018.radikal.ru/i514/1605/84/ffc718f553ed.jpg Красный - синий это медиально-щечный.Желтый - зеленый это медиально-язычный. http://s019.radikal.ru/i618/1605/4c/2b84abb486e7.jpg Цветом показаны наиболее распространенные крайние положения инструментов (из моего опыта).Пробуйте все.У меня всегда ориентир, если инструмент в медиальном канале встал вертикально или чуток ручкой к щеке - это медиально-язычный каналЕсли инструмент от щеки ручкой - то медиально-щечный. Он практически никогда не встает вертикально.Как-то так.Экскурс в прошлое, кому скучно, не читать, далее почти никаких ЦУ. 4 курс, лечу пульпит 26 на студенческой группе. Ну как лечу, вскрыла камеру, пытаюсь найти каналы. Небный без проблем, Дистальный щечный, как всегда в поле видимости - тоже вроде периодически захожу, а вот МБ - ну хоть ты сдохни, никак (нас тогда искать МБ2 вообще не учили, 3 канала и точка).Зову преподавателя, она молча вставляет инструменты в оба канала и уходит.Я смотрю, запоминаю, вынимаю, повторить не могу.Новый раунд. Препод, инструменты in - out, не могу.Зову в третий раз. Что не так, почему?И вот тут то мне открыли сакральное знание про углы и направления! Прошло 17 лет, я до сих пор помню что было на том занятии, где это было, как выглядел препод, зуб, помню как солнце светило в окно. Но главное, я с тех пор люблю эндодонтию.И тьфу-тфу-тьфу, у меня редко возникают проблемы с поиском и меня часто зовут поискать в чужих зубах. Чего и Вам желаю.Пробуйте крутить направления, не бойтесь самых крайних и сильно наклоненных позиций.Хотя крайности, это, зачастую, недораскрытые устья или не снятая крыша пульпарной камеры, но с перфорациями в области каналов.На сегодняшний момент помню одно дикое исключение.46, 4 канала. 2 дистальных и столько же медиальных. Ретрит. На снимке мезиоденс, канал в нем и нужно найти (по факту канал дистально-язычный).Так вот, что бы зайти в этот канал - пришлось положить инструмент почти горизонтально к щеке. Иначе не входил. http://s41.radikal.ru/i093/1605/9d/ea6b2f14d658.jpg Увы, в этом зубе был фэил. Я не смогла пройти дисталый щечный. Предыдущим юзером был сформирован ложный канал "на прямую". И переложить это направление у меня не получилось. Так что медиальный я даже дорабатывать не стала. http://s017.radikal.ru/i436/1605/25/d265d8ba2bd7.jpg Потом, правда ортопед попросил перепройти медиальные, там гутта, перепрошла. Но гарантии 0. На всех корнях кисты. И на дистальном щечном тоже. Про 47 молчите, просто молчите.Большое вам спасибо за информацию Ссылка на комментарий
Рекомендуемые сообщения
Для публикации сообщений создайте учётную запись или авторизуйтесь
Вы должны быть пользователем, чтобы оставить комментарий
Создать аккаунт
Зарегистрируйте новый аккаунт в нашем сообществе. Это очень просто!
Регистрация нового пользователяВойти
Уже есть аккаунт? Войти в систему.
Войти