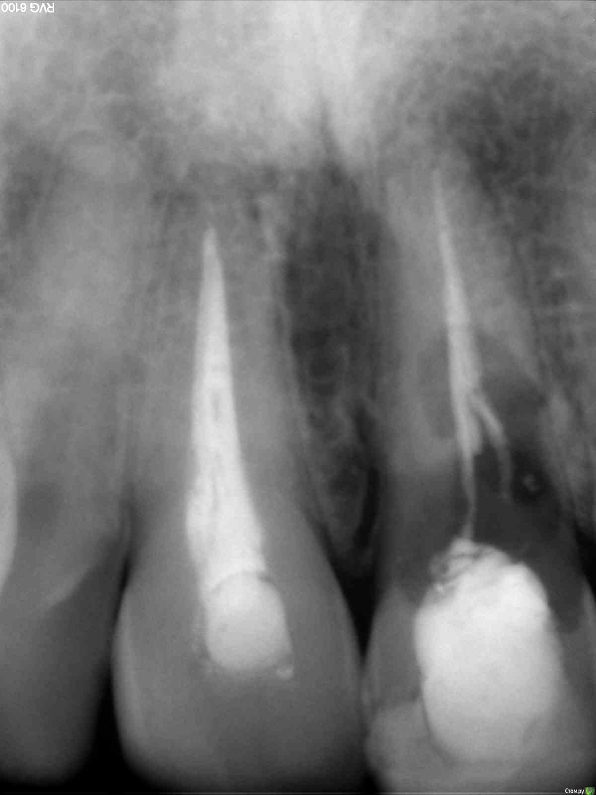
ricoo Опубликовано 21 мая, 2016 Поделиться Опубликовано 21 мая, 2016 Добрый день.Очень давно была травма передних зубов но с одним из них всё стало развиваться по плохому сценарию. Было несколько лечение, чистка каналов, пломбирование. всё это повторялось и привело к нынешней ситуации. Хирург предлагает удаление как можно быстрее с использованием плазмы крови. по его мнению проходит разрушение костной ткани и постоянный имплант будет сложно поставить если не предпринимать никаких действий.Хотелось бы услышать мнение со стороны. возможные прогнозы и риски при дальнейшем развитии событий. в каком состоянии костная ткань нужна ли пересадка? как в этом случае будет происходить удалении, возможны ли минимальные повреждения десны? какой имплант выбрать?Спасибо. Ссылка на комментарий
IvanK Опубликовано 21 мая, 2016 Поделиться Опубликовано 21 мая, 2016 ЗдравствуйтеВ Вашем случае, надо искать хирурга и все вопросы отпадут 1 Ссылка на комментарий
ricoo Опубликовано 21 мая, 2016 Автор Поделиться Опубликовано 21 мая, 2016 Спасибо за ответ.Консультировался с хирургом по данному вопросу. но хотелось бы услышать иные мнения или рекомендации Ссылка на комментарий
red_butler Опубликовано 21 мая, 2016 Поделиться Опубликовано 21 мая, 2016 Спасибо за ответ.Консультировался с хирургом по данному вопросу. но хотелось бы услышать иные мнения или рекомендацииОдного вашего снимка не достаточно, нужен очный осмотр и возможно Кт. Ссылка на комментарий
Bier Опубликовано 21 мая, 2016 Поделиться Опубликовано 21 мая, 2016 тут речь идет об удалении и немедленной имплантации.оттягивать с удалением не рекомендуется. Ссылка на комментарий
ricoo Опубликовано 21 мая, 2016 Автор Поделиться Опубликовано 21 мая, 2016 (изменено) тут речь идет об удалении и немедленной имплантации.оттягивать с удалением не рекомендуется.Да, я уже почти готов к этому. Если возможно что то еще прокоментировать по этому снимку, буду рад услышать это. особенно интересует как могут развиваться дальнейшие события в этом случае. Я понимаю что удаление не простое, зуб сломается и нужно будет выпиливать. оставшиеся отверстие заполнят плазмой крови для лучшего восстановление костной ткани. дальнейшие лечение пока подробно не обсуждалось с врачом. что можно сказать о состоянии костной ткани и о крайних зубах? один из стоматологов дал свой комментарий и предположил: "на мой взгляд стоматолога, состояние костной ткани вокруг проблемного зуба ( имеется деструкция периодонтальной связки и кости) -есть относительное противопоказание к имплантации. Это во- первых."с предложением отказаться от импланта. так же он пореконмендовал "Второй зуб необходимо перелечить, на верхушке уже начались деструктивные процессы, пока можно его спасти, это само не рассосется, не надейтесь." Интересно услышать иное мнение если оно есть. я воспринимаю это исключительно лишь как информацию в справочных целях. Изменено 21 мая, 2016 пользователем ricoo Ссылка на комментарий
Bier Опубликовано 22 мая, 2016 Поделиться Опубликовано 22 мая, 2016 какие комментарии по такому снимку?имплантат нужно ставить сразу в день удаления зуба, плазма - это так, она сама по себе ничего не меняет и кость не восстанавливает.Зуб надо удалить аккуратно, это возможно. Ссылка на комментарий
ricoo Опубликовано 22 мая, 2016 Автор Поделиться Опубликовано 22 мая, 2016 Разве костная ткань позволяет установить одномоментно имплант и почему это следует делать сразу а не через несколько месяцев? какие могут быть деформации с десной если не ставить имплант какоето время? Ссылка на комментарий
Bier Опубликовано 22 мая, 2016 Поделиться Опубликовано 22 мая, 2016 Разве костная ткань позволяет установить одномоментно имплант и почему это следует делать сразу а не через несколько месяцев? какие могут быть деформации с десной если не ставить имплант какоето время?на мой взгляд позволяет.Если сразу не поставить получите еще бОльшую атрофию и бОльшие проблемы с десной. 1 Ссылка на комментарий
Рекомендуемые сообщения
Для публикации сообщений создайте учётную запись или авторизуйтесь
Вы должны быть пользователем, чтобы оставить комментарий
Создать аккаунт
Зарегистрируйте новый аккаунт в нашем сообществе. Это очень просто!
Регистрация нового пользователяВойти
Уже есть аккаунт? Войти в систему.
Войти