chervoncevdaniil Опубликовано 26 мая, 2016 Поделиться Опубликовано 26 мая, 2016 По поводу феррула и выжываемости конструкции очень много исследований,просто на русском языке их не так много,в QDT за 2013 год по моему очень хорошо написано,как высота и сохранность феррула влияет на выживаемость конструкции.По поводу хир удлинения и прочих вещей которые вы написали-это все здорово и правильно,но вы всегда можете в области боковых сделать хир удлинения без проблем с закрытием бифуркации? Ссылка на комментарий
Audutor Опубликовано 26 мая, 2016 Поделиться Опубликовано 26 мая, 2016 По поводу феррула и выжываемости конструкции очень много исследований,просто на русском языке их не так много,в QDT за 2013 год по моему очень хорошо написано,как высота и сохранность феррула влияет на выживаемость конструкции.По поводу хир удлинения и прочих вещей которые вы написали-это все здорово и правильно,но вы всегда можете в области боковых сделать хир удлинения без проблем с закрытием бифуркации?Можно текст статьи в оригинале для ознакомления? Ссылка на комментарий
chervoncevdaniil Опубликовано 26 мая, 2016 Поделиться Опубликовано 26 мая, 2016 У меня нет в электронке.это книга в азбуке продаётся,это ежегодник квинтесенция протезирования,но посмотрите оглавление,я могу год перепутать Ссылка на комментарий
RuStom Опубликовано 26 мая, 2016 Автор Поделиться Опубликовано 26 мая, 2016 (изменено) И даже если не везде есть феррул, то я бы всё же попытался бы поработать с одиночными коронками - просто не смог бы найти слова, чтобы объяснить для чего нужно удалять эти зубы. Для этого нужно самому верить в правильность такого решения, а я вот сомневаюсь. Ну а далее всеми нелюбимая фраза "сколько простоит, столько простоит".Все это красивая риторика. Мне кажется, что такое прокатывает в муниципалках, где цены небольшие.Делают пациенту все что можно, говорят: "сколько простоит столько простоит". Деньги пациент в кассу платит.Далее, если конструкция стоит - то доктор молодец, если конструкция вывалилась - то разводим руками: "Я ж предупреждал, ну теперь давайте еще и за имплантат заплатите." А вот для людей, которые дорожат своими пациентами - такое уже не прокатывает. Я считаю, что врач должен заранее определять: будет этот зуб стоять долго и надежно или нет. Если будет - то восстанавливать, если нет - то удалить и рекомендовать имплантат. 1) Это сэкономит пациенту деньги, если зуб ненадежен, т.к он не будет платить за заведомо ненадежную конструкцию.2) Это сэкономит пациенту время, т.к ему не придется ходить сначала за коронкой, а потом за перепротезированием.3) Это сэкономит пациенту нервы, т.к все ненадежное имеет свойство вываливаться в самый неподходящий момент: перед отпуском, командировкой и т.п\4) Это сбережет репутацию доктора, т.к пациент чаще всего забывает, что там зуб был ужасен . Он потом думает, что у доктора руки не оттуда, т.к вывалилось.5) Да и в юридическом порядке пациент может сказать, что он не врач, он не понимал всех нюансов, если бы он понимал, то никогда бы не пошел на такое лечение.. Поэтому лично я хочу найти ту честную грань, после которой нет смысла вкладывать в зуб время и деньги. Более того, рассказывая про удаление таких зубов можно услышать: "так у меня вооот тут такой же зуб 20 лет стоит, и всё хорошо". И попробуй потом докажи, ссылаясь на статью из контакта, что это не развод на деньги. Я имею в виду имплантацию в качестве альтернативы.Зачем кому-то что-то доказывать? Таких примеров куча, у меня каждый третий рассказывает, что у него штампованная коронка с пластмасской стояла 15-20-30 лет, а им металлокерамику предлагают. меня впечатление, что вся эта категоричность по поводу феррулов есть просто желание упростить и стандартизировать процесс работы. Ну, и заработать немного) хотя ни против этого, ни против имплантации я ничего против не имею, если всё по-честному) Стандартизация - нормальный процесс. Стандарты лечения давно есть за рубежом и вводятся по-тихоньку у нас. Изменено 26 мая, 2016 пользователем RuStom 3 Ссылка на комментарий
32норма Опубликовано 26 мая, 2016 Поделиться Опубликовано 26 мая, 2016 В Шилинбурге на 195 странице затронута тема феррула. Там это называется эффект обода. Еще в контакте есть видео "вебинар. биомеханика в стоматологии." Там перевод вебинара из нью юрка и где то на 30-40 минуте говорят о том что были исследования по теме феррула и тд Ссылка на комментарий
chervoncevdaniil Опубликовано 26 мая, 2016 Поделиться Опубликовано 26 мая, 2016 RuStom подпишусь под каждым вашим словом,плюс уважаемый Karoshi в соседней ветке пишет что кроме Лавакса вкладки нечем моделировать и материал для временных коронок не стынет как следует,а тут про хирургическое удлинение,резекцию кости и т.д.так что мне не верится,что при таком слабом оснащении в ортопедии у вас классный хирург-пародонтолог,поэтому с такими зубами у вас всегда будет делема 2 Ссылка на комментарий
Karoshi Опубликовано 26 мая, 2016 Поделиться Опубликовано 26 мая, 2016 (изменено) Все это красивая риторика. Мне кажется, что такое прокатывает в муниципалках, где цены небольшие.Делают пациенту все что можно, говорят: "сколько простоит столько простоит". Деньги пациент в кассу платит.Далее, если конструкция стоит - то доктор молодец, если конструкция вывалилась - то разводим руками: "Я ж предупреждал, ну теперь давайте еще и за имплантат заплатите." А вот для людей, которые дорожат своими пациентами - такое уже не прокатывает. Я считаю, что врач должен заранее определять: будет этот зуб стоять долго и надежно или нет. Если будет - то восстанавливать, если нет - то удалить и рекомендовать имплантат. 1) Это сэкономит пациенту деньги, если зуб ненадежен, т.к он не будет платить за заведомо ненадежную конструкцию.2) Это сэкономит пациенту время, т.к ему не придется ходить сначала за коронкой, а потом за перепротезированием.3) Это сэкономит пациенту нервы, т.к все ненадежное имеет свойство вываливаться в самый неподходящий момент: перед отпуском, командировкой и т.п\4) Это сбережет репутацию доктора, т.к пациент чаще всего забывает, что там зуб был ужасен . Он потом думает, что у доктора руки не оттуда, т.к вывалилось.5) Да и в юридическом порядке пациент может сказать, что он не врач, он не понимал всех нюансов, если бы он понимал, то никогда бы не пошел на такое лечение.. Поэтому лично я хочу найти ту честную грань, после которой нет смысла вкладывать в зуб время и деньги. Зачем кому-то что-то доказывать? Таких примеров куча, у меня каждый третий рассказывает, что у него штампованная коронка с пластмасской стояла 15-20-30 лет, а им металлокерамику предлагают. Стандартизация - нормальный процесс. Стандарты лечения давно есть за рубежом и вводятся по-тихоньку у нас.Я с Вами полностью согласен про честную грань, просто мы скорее всего двигаемся к ней с разных сторон Доктор должен предполагать надежность конструкции - вот я о том и говорю, наши предположения строятся на паре статей и веяниях стоматологической моды. Так-то про пользу резорцина и штамповок тоже не одна статья написана... Про заангажированность некоторых статей тоже будет не лишним упомянуть. Про необходимость доказывать что-то пациентам. Вот именно это и наталкивает меня на эти крамольные мысли: с одной стороны исследования про феррул, где говорят, что такие зубы железно идут на удаление, а с другой - люди, которые ходят десятилетиями с такими зубами. И соответственно врачи,которые десятилетиями их наблюдают. Лично меня это вводит в некоторый когнитивный диссонанс, хотя у меня такие люди далеко не каждый третий Может это мы что-то делаем не так? Ну и еще про имплантацию и деньги - разве имплантация не имеет неудач и осложнений? Разве она никогда не требует сопутствующих мероприятий? Только не подумайте, что я против имплантации в принципе. Просто если рассмотреть данный случай - Вы на 100% уверены, что при удалении трех зубов с заменой на два-три винта удастся получить "беспроблемность"? А стандартизацию я здесь имел в виду в плохом смысле - как способ меньше думать и больше зарабатывать. Зачем мучиться с эндо, удлинениями, вкв, уступами? Удаление, имплантат, денежка. Изменено 26 мая, 2016 пользователем Karoshi Ссылка на комментарий
Karoshi Опубликовано 26 мая, 2016 Поделиться Опубликовано 26 мая, 2016 (изменено) RuStom подпишусь под каждым вашим словом,плюс уважаемый Karoshi в соседней ветке пишет что кроме Лавакса вкладки нечем моделировать и материал для временных коронок не стынет как следует,а тут про хирургическое удлинение,резекцию кости и т.д.так что мне не верится,что при таком слабом оснащении в ортопедии у вас классный хирург-пародонтолог,поэтому с такими зубами у вас всегда будет делемаПрошу прощения за оффтоп, но всё же не могу промолчать. Возможно, не я один так думаю. Я вас так оскорбил своей точкой зрения, что вы перешли на личности? интересно, каким образом материал для вкладок относится к планированию лечения? Или вы считаете, что если врач не имеет всех топовых игрушек, то он и не врач, и говорить с ним не о чем? Про пластмассу вы что-то перепутали, это не я был. То, какими материалами и в каких условиях я работаю никак не мешает мне читать книги, посещать курсы, смотреть видео. А так же общаться с опытными и крутыми коллегами. В процессе этого и формируется некоторое видение ситуации, однако в силу неопытности я всегда ставлю имхо и прошу меня поправить, если речь идёт о том, в чем я не уверен. А вы слишком остро всё воспринимаете. Вот об этом мой месседж - о культуре общения. Вы тут начали ссылаться на мои сообщения - может быть мне стоит цитировать ваши? Я упоминал, что я читаю этот форум не один год, и ваше становление в качестве "гуру" наблюдал, так сказать, в прямом эфире. И вот что интересно - как и многие, вы начинали с вопросов, которые знают многие третьекурсники, однако никто вас за это не шпынял, а напротив, терпеливо и доходчиво объясняли, в том числе и настоящие гуру. Прошло какое-то время, вы подучились, начали работать в хороших условиях и... начали в свою очередь давать советы новичкам. Это здорово, только вы почему-то начали делать это свысока, да и советы ваши были в основном плана: "купите вот это, бегите оттуда". Вот откуда в вас столько снобизма? Не подумайте, что я прямо наезжаю, но может быть такие вещи лучше видны со стороны.Лично я с удовольствием еще послушаю ваши советы, но пожалуйста, доктор, перестаньте считать всех, кто работает не так, как вы, г--ном, и будьте снисходительнее к новичкам Мира вам, добра и сисек! Изменено 26 мая, 2016 пользователем Karoshi 3 Ссылка на комментарий
chervoncevdaniil Опубликовано 26 мая, 2016 Поделиться Опубликовано 26 мая, 2016 Прошу прощения за оффтоп, но всё же не могу промолчать. Возможно, не я один так думаю. Я вас так оскорбил своей точкой зрения, что вы перешли на личности? интересно, каким образом материал для вкладок относится к планированию лечения? Или вы считаете, что если врач не имеет всех топовых игрушек, то он и не врач, и говорить с ним не о чем? Про пластмассу вы что-то перепутали, это не я был. То, какими материалами и в каких условиях я работаю никак не мешает мне читать книги, посещать курсы, смотреть видео. А так же общаться с опытными и крутыми коллегами. В процессе этого и формируется некоторое видение ситуации, однако в силу неопытности я всегда ставлю имхо и прошу меня поправить, если речь идёт о том, в чем я не уверен. А вы слишком остро всё воспринимаете. Вот об этом мой месседж - о культуре общения. Вы тут начали ссылаться на мои сообщения - может быть мне стоит цитировать ваши? Я упоминал, что я читаю этот форум не один год, и ваше становление в качестве "гуру" наблюдал, так сказать, в прямом эфире. И вот что интересно - как и многие, вы начинали с вопросов, которые знают многие третьекурсники, однако никто вас за это не шпынял, а напротив, терпеливо и доходчиво объясняли, в том числе и настоящие гуру. Прошло какое-то время, вы подучились, начали работать в хороших условиях и... начали в свою очередь давать советы новичкам. Это здорово, только вы почему-то начали делать это свысока, да и советы ваши были в основном плана: "купите вот это, бегите оттуда". Вот откуда в вас столько снобизма? Не подумайте, что я прямо наезжаю, но может быть такие вещи лучше видны со стороны.Лично я с удовольствием еще послушаю ваши советы, но пожалуйста, доктор, перестаньте считать всех, кто работает не так, как вы, г--ном, и будьте снисходительнее к новичкам Мира вам, добра и сисек! Не знаю доктор,почему вы так кипититесь и злитесь,на личности я не переходил и лично про вас,как врача я не писал,а писал про оснащение клиники.ни в одной ветке,которых вы создали вас никто не оскарблял,а наоборот везде отвечали максимально конкретно и корректно,что про мок ап,что про вкладки,что проферрул,с ссылками на конкретную информацию. Ссылка на комментарий
RuStom Опубликовано 26 мая, 2016 Автор Поделиться Опубликовано 26 мая, 2016 Просто если рассмотреть данный случай - Вы на 100% уверены, что при удалении трех зубов с заменой на два-три винта удастся получить "беспроблемность"? Тут речь не идет об удалении трех зубов. Удалить планирую только 6 зуб, я же писал в начале топика. А стандартизацию я здесь имел в виду в плохом смысле - как способ меньше думать и больше зарабатывать. Зачем мучиться с эндо, удлинениями, вкв, уступами? Удаление, имплантат, денежка. Это уже не стандартизация, а вредительство.Я, если говорить о стандартизации, имею ввиду одинаковость взглядов разных врачей на судьбу одного зуба. Т.е, чтобы 10 разных врачей (опытных) взглянули и единогласно, независимо друг от друга, определили восстанавливать зуб или удалять. Ссылка на комментарий
chervoncevdaniil Опубликовано 26 мая, 2016 Поделиться Опубликовано 26 мая, 2016 И ответ,почему мои советы типо купите это,бегите оттуда может как раз и исходит из того,что начальный путь,который у вас сейчас,у меня был ровно 3 года назад,с теми же вопросами,и это тот вариант,который на мой взгляд сэкономит вам время Ссылка на комментарий
4ebstom Опубликовано 26 мая, 2016 Поделиться Опубликовано 26 мая, 2016 (изменено) Ребята,давайте жить дружно).Проявляйте уважение друг к другу-"Вам" с большой буквы.) Изменено 26 мая, 2016 пользователем 4ebstom Ссылка на комментарий
Karoshi Опубликовано 26 мая, 2016 Поделиться Опубликовано 26 мая, 2016 В Шилинбурге на 195 странице затронута тема феррула. Там это называется эффект обода.Еще в контакте есть видео "вебинар. биомеханика в стоматологии." Там перевод вебинара из нью юрка и где то на 30-40 минуте говорят о том что были исследования по теме феррула и тд Да, читал. За наводку на вебинар спасибо, обязательно найду и посмотрю. Не знаю доктор,почему вы так кипититесь и злитесь,на личности я не переходил и лично про вас,как врача я не писал,а писал про оснащение клиники.ни в одной ветке,которых вы создали вас никто не оскарблял,а наоборот везде отвечали максимально конкретно и корректно,что про мок ап,что про вкладки,что проферрул,с ссылками на конкретную информацию. Я не злюсь, это я не про свои темы и вопросы говорю, а про других - просто раньше это меня напрямую не касалось, а сейчас вот высказался Прошу прощения, если что не так, возможно я просто неверно вас понял. Повторюсь, буду рад общаться с вами на этом форуме.Предлагаю последовать совету коллеги и продолжить жить дружно Давайте просто забудем про эту тему и вернёмся к высокой стоматологии Тут речь не идет об удалении трех зубов. Удалить планирую только 6 зуб, я же писал в начале топика. Это уже не стандартизация, а вредительство.Я, если говорить о стандартизации, имею ввиду одинаковость взглядов разных врачей на судьбу одного зуба. Т.е, чтобы 10 разных врачей (опытных) взглянули и единогласно, независимо друг от друга, определили восстанавливать зуб или удалять. Да, я имею в виду не то, что вы собираетесь удалять все 3, а саму идею, что сторонники стопроцентного феррула могли бы удалить эти зубы. В каком-то смысле вредительство тоже позволяет стандартизировать и упростить процесс Наверное тема феррула никогда такой не станет. Лично знаком с двумя врачами, которые работают по фен-шую, однако один категорически пробует спасать такие зубы, а другой удаляет и имплантирует. И знаете что выходит? У обоих многолетние реколлы с положительным результатом, а так же неприятные косяки.Может быть если обсуждать каждый конкретный случай, со всеми нюансами, то можно будет найти конкретное решение. Вдруг эта девушка при виде хирурга падает в обморок? Ссылка на комментарий
chervoncevdaniil Опубликовано 26 мая, 2016 Поделиться Опубликовано 26 мая, 2016 нет никаких обид,это один из минусов интернет общения-одну и ту же написаную фразу можно воспринять по разному,в конце концов цель то у нас одна,но иногда поспорить тоже бывает полезно)) Ссылка на комментарий
NazranDantist Опубликовано 27 мая, 2016 Поделиться Опубликовано 27 мая, 2016 Вообще говорить о судьбе этих зубов без снимков и препарирования полости на 6-ом зубе - некорректно. По фото - 4, 5 остаются 95%, причем без всяких компромиссов для пациента, титановый штифт + композитный билдап + коронка (у меня свои "космические" методы))). 6 зуб, почему-то мне кажется, тоже можно сохранить, но нужно больше инфы. Ссылка на комментарий
RuStom Опубликовано 8 июня, 2016 Автор Поделиться Опубликовано 8 июня, 2016 (изменено) Вот опять случай. Пришел пациент от терапевта. Зуб надо спасать. Снял пломбу, при снятии зацепил десну, все кровит. коффер даже не пытался наложить в данном случае.Имеем такую картину. На фото не совсем понятно, не чувствуется объема. Но над краем зуба миллиметра 1,5 стеночка из десны. Само "ложе для вкладки" сейчас имеет чашеобразную форму. Т.е стенки кверху становятся тоньше.Темное на фото - это я прикладывал Вискостат. Т.е чтобы сделать надежную конструкцию - мне нужно иссечь десну на уровень с корнем (а то и глубже, т.к на нынешнем уровне стенки тонкие), плюс заглубиться милиметра на 1,5, чтобы создать уступ и феррул. При этом "десна уйдет" и у 5 зуба. Как надежнее сделать? http://s33.postimg.org/8lu64zcfj/DSC_9233.jpg Изменено 8 июня, 2016 пользователем RuStom Ссылка на комментарий
krokomot Опубликовано 8 июня, 2016 Поделиться Опубликовано 8 июня, 2016 Убирайте десну, кость если нужно (если экструзии не будет), ниже края нормальных тканей зуба на 1.5-2 мм,не забудте убрать ткани ветибулярно и орально чтоб впоследствии можно было адекватно кламер одеть, плюс коепак чтоб отжать ткани, отправляем заживать, потом билдапп. Ссылка на комментарий
Паращук Роман Опубликовано 10 июня, 2016 Поделиться Опубликовано 10 июня, 2016 Канал помыть,в него Са,выравнять стенки,если жилец,то водный дентин с давлением на десну. Через сутки снимаем и оцениваем,десна должна отойти и будет виден кант зуба. Далее вкв и коронку с гирляндой. 1 Ссылка на комментарий
johniola Опубликовано 10 июня, 2016 Поделиться Опубликовано 10 июня, 2016 зуб судя по всему спасаемый.хир удлинение вкладка коронка Ссылка на комментарий
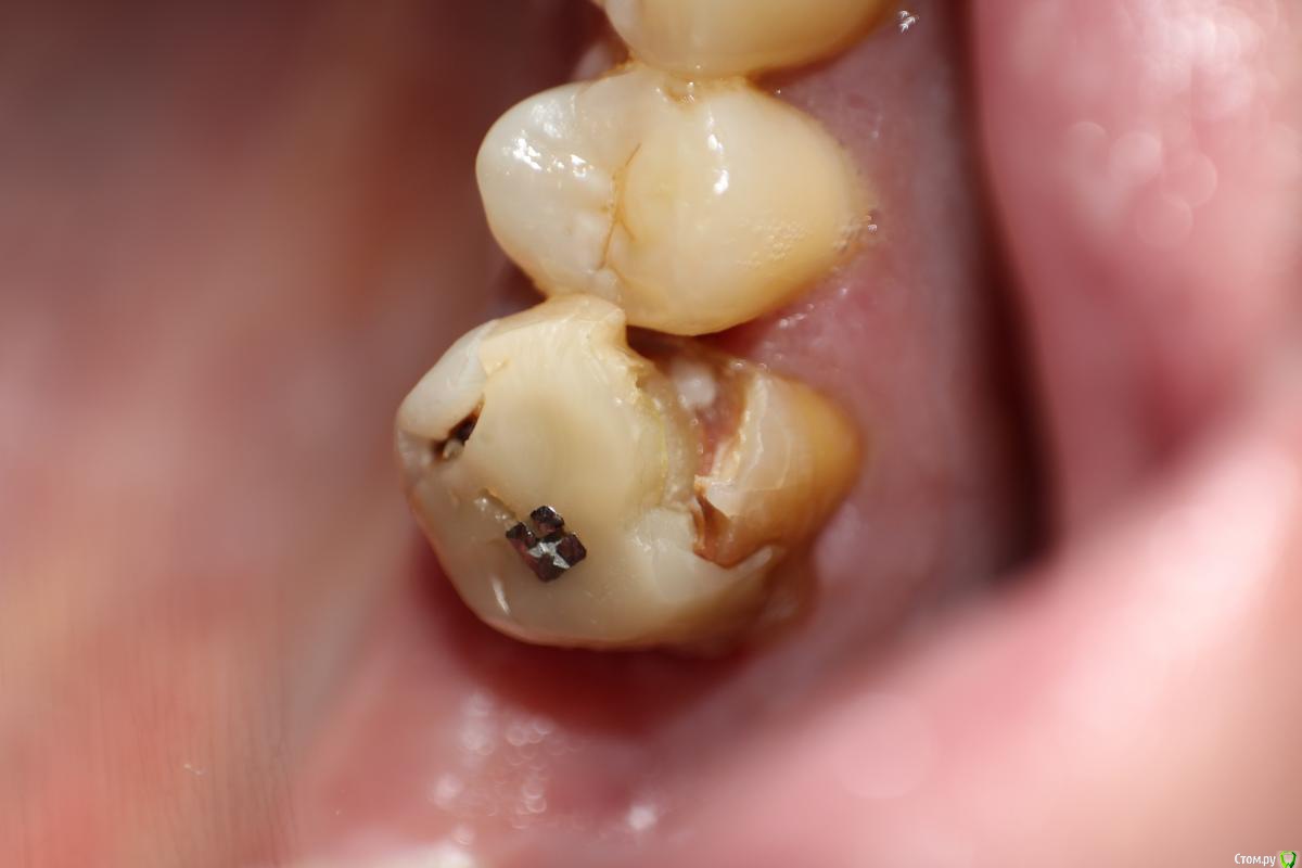
Витторио Орлионе Опубликовано 17 января, 2017 Поделиться Опубликовано 17 января, 2017 (изменено) а что скажете про такой случай?! Быть удалению или не быть?!? Изменено 17 января, 2017 пользователем Витторио Орлионе Ссылка на комментарий
krokomot Опубликовано 17 января, 2017 Поделиться Опубликовано 17 января, 2017 а что скажете про такой случай?! Быть удалению или не быть?!?удаление, фуркация поражена Ссылка на комментарий
chervoncevdaniil Опубликовано 17 января, 2017 Поделиться Опубликовано 17 января, 2017 Удалять Ссылка на комментарий
Витторио Орлионе Опубликовано 17 января, 2017 Поделиться Опубликовано 17 января, 2017 (изменено) Вот он Изменено 17 января, 2017 пользователем Витторио Орлионе Ссылка на комментарий
Рекомендуемые сообщения
Для публикации сообщений создайте учётную запись или авторизуйтесь
Вы должны быть пользователем, чтобы оставить комментарий
Создать аккаунт
Зарегистрируйте новый аккаунт в нашем сообществе. Это очень просто!
Регистрация нового пользователяВойти
Уже есть аккаунт? Войти в систему.
Войти