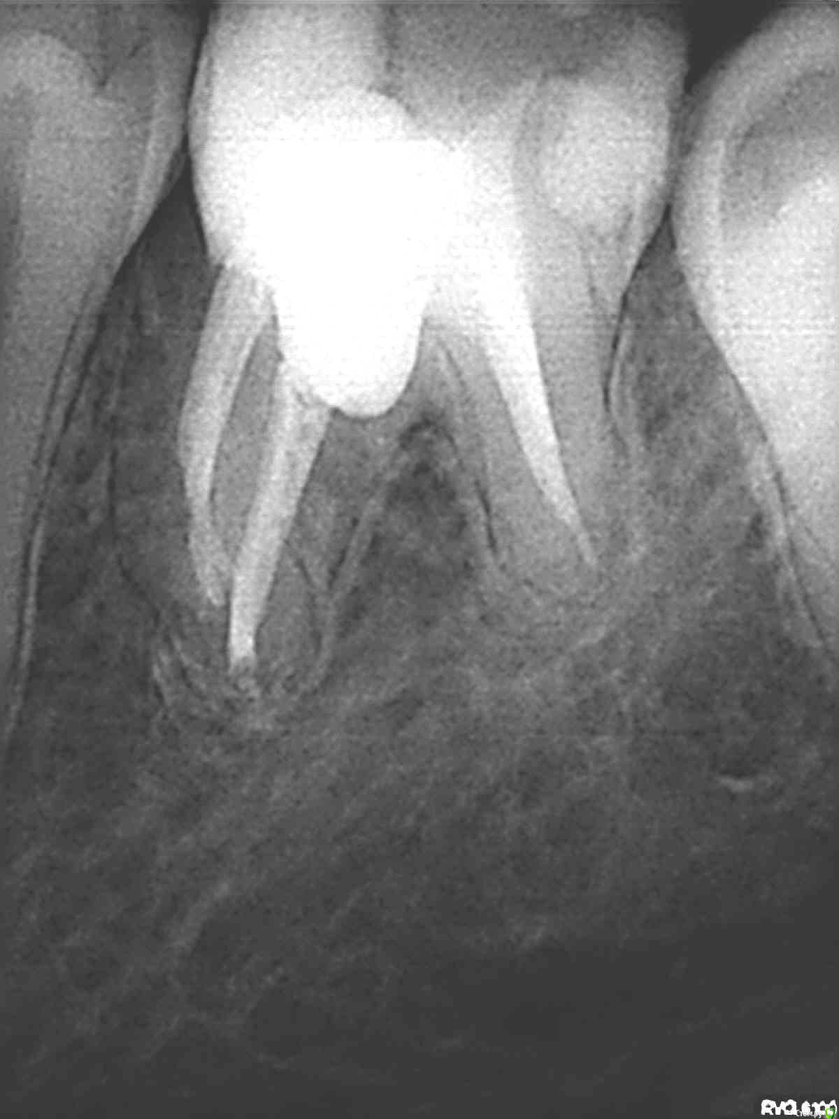
igorstom Опубликовано 10 декабря, 2016 Автор Поделиться Опубликовано 10 декабря, 2016 2014 год. Ну ведь явная же гранулема (кисто-гранулема)? Зуб 3.6 Ссылка на комментарий
igorstom Опубликовано 10 декабря, 2016 Автор Поделиться Опубликовано 10 декабря, 2016 В 2014 году у пациента были жалобы по поводу припухлости в области 3.6 зуба (делали периостотомию и назначили антибиотики - в поликлинике, и также настойчиво предлагали удалить), болезненность при накусывании в этот период. Попробовал всё перелечить. Ссылка на комментарий
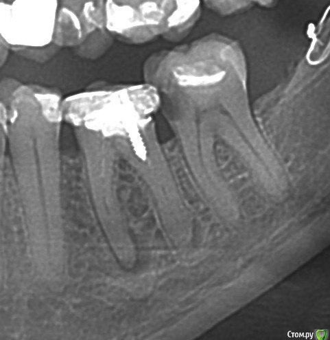
igorstom Опубликовано 10 декабря, 2016 Автор Поделиться Опубликовано 10 декабря, 2016 И вот наконец заставил сделать контрольный снимок. К сожалению далеко не всех можно пронаблюдать пациентов. Хотя есть в планах создать тему "Отдаленные результаты". Есть пациенты, которые наблюдаются более 8 лет.Вопрос. Гранулема исчезла? Или снимок просто не показывает? Раньше зуб периодически при переохлаждении или простуде всегда давал знать. Сейчас более 1,5 лет ни разу не пискнул. Об эндо чуть позже напишу. Ссылка на комментарий
igorstom Опубликовано 10 декабря, 2016 Автор Поделиться Опубликовано 10 декабря, 2016 В начале 2000-ых не понимал, зачем надо было делать ОПТГ, если там ничего не видно. После того, как нашел в Челябинске клинику, где делают цифровую ОПТГ с отличным качеством, мнение сильно поменялось. Но на весь город только один аппарат, который хорошо настроен!!! Про 3Д вообще молчу. Аппаратура в некоторых клиниках просто супер. А вот настроить нормально мозгов не хватает к сожалению. Как-то медсестре-лаборанту в одной из клиник, где я смог проработать всего месяц, сделал замечание, что качество прицельных снимков отвратительное. Говорю, мол попробуйте поменять экспозицию, ракурс трубки....В ответ: "Меня научили вот эти кнопки нажимать, я больше ничего не знаю"..... Кстати, немного отвлекусь от основной темы. В этой клинике у меня ни дня не проходило без истерии.1. Удаляю сложный 8-ой зуб. Бах, медсестра куда-то исчезла. С трудом удалив в течение часа, вижу - появляется. Спрашиваю: Марина, Вы куда исчезли во время удаления? Ответ: "Я вида крови боюсь"..... Дальше диалог: А нафига тогда работаете? - Я устраивалась администратором, но пока вакантное место занято, меня попросили поработать медсестрой....2. Подготовка корня к многокорневой вкладке. Вызываю зубного техника и спрашиваю: "Дима, делали когда-нибудь многокорневые разборные ВКВ?". - Да, конечно. Я: "Про уступы в керамике знаете? Не сделаете на вкладке проблем в этом плане? Техник: - Нет, всё нормально будет....И вот вкладка готова. Приносят мне в прямом смысле разборное чудо: вкладка, распиленная пополам. Техник, не особо заморачиваясь, смоделировал из воска и на модели тупо разделил двухкорневую ВКВ пополам. На вопрос: "Это что за хрень?" - А у нас не получится отлить дырочки под штифты...... Про уступы молчу, техник предоставил выпилить их на металле самому доктору.3. Приходит девушка на удаление. Удаление не сложное. Смотрю на задний темный зуб, в виде залепухи. И только хотел разъяснить, что мол этот зуб надо перелечить, ВКВ, коронка и т.п., как она на опережение (слава богу, что не я): "Посмотрите, как замечательно мне восстановили зуб неделю назад в вашей клинике. И тычет на эту порнографию. Естественно пришлось ретироваться и на полном серьезе: "Скажите, что за волшебник в нашей клинике смог так здорово восстановить?". Оказалось, делала бабулька на пенсии, полуслепая, полуглухая.4......5.......и т.д. Будет интересно, напишу кучу еще случаев в этой замечательной, богом забытой клинике. 6 Ссылка на комментарий
SatoSan Опубликовано 13 декабря, 2016 Поделиться Опубликовано 13 декабря, 2016 и т.д. Будет интересно, напишу кучу еще случаев в этой замечательной, богом забытой клинике. Можно создать отдельную тему! Тоже есть чем поделиться)))) Ссылка на комментарий
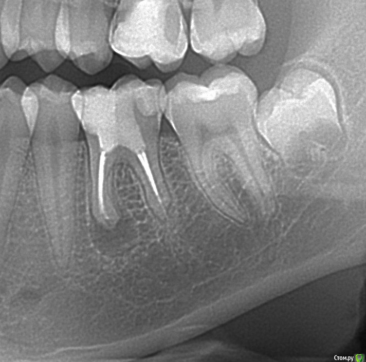
igorstom Опубликовано 19 ноября, 2017 Автор Поделиться Опубликовано 19 ноября, 2017 Подведу итог своим изысканиям. Кратко. Каналы пройдены и расширены... Коффердам, каналы обрабатываю лимонкой, гипохлоритом (если не получается герметично работать хлоркой заменяю на хлорофиллипт), и заполняю гидроокисью. Через несколько подобных процедур (зависит от многих факторов, но обычно не более 2-4 раз) в последний прием - вымываю гидроокись 3% перекисью, импрегнация спиртовым хлорофиллиптом при помощи бумажного штифта, пломбирую латеральной конденсацией гуттаперчей с Адсилом. Временная повязка из СИЦ. Горячей гуттаперчи к сожалению нет. Всё! Никого не призываю повторять, не рекламирую. Я так работаю. Может через некоторое время что-то изменю. Но пока всё устраивает. 1 Ссылка на комментарий
Гарриевич Опубликовано 20 ноября, 2017 Поделиться Опубликовано 20 ноября, 2017 Игорь, Всегда кальций меняете минимум два раза? Ссылка на комментарий
igorstom Опубликовано 20 ноября, 2017 Автор Поделиться Опубликовано 20 ноября, 2017 Игорь, Всегда кальций меняете минимум два раза?Количество чисто интуитивное. Зависит от рентгенологического размера изменений, и конечно от клиники (беспокоил ли зуб до перелечивания, как часто, стал ли беспокоить в процессе перелечивания, возраст, под что готовится зуб - особенно если как опора под будущую конструкцию). Ссылка на комментарий
Strider Опубликовано 20 ноября, 2017 Поделиться Опубликовано 20 ноября, 2017 (изменено) вымываю гидроокись 3% перекисьюПочему не ЭДТА или лимонкой? Перекись справляется с этой задачей? Изменено 20 ноября, 2017 пользователем Strider Ссылка на комментарий
igorstom Опубликовано 20 ноября, 2017 Автор Поделиться Опубликовано 20 ноября, 2017 Почему не ЭДТА или лимонкой? Перекись справляется с этой задачей?Чисто промыванием не вымывается конечно. Просто о таких мелочах не стал писать. Понятно, что H-файл мне в помощь. 1 Ссылка на комментарий
vse32 Опубликовано 22 ноября, 2017 Поделиться Опубликовано 22 ноября, 2017 Скоро представлю на ваш суд препарат, перед которым меркнет свет у всем известного золотого стандарта эндодонтии - гипохлорита натрия. Так я не поняла. Где препарат то. Пока вижу только стандартные манипуляции. Ссылка на комментарий
igorstom Опубликовано 2 марта, 2018 Автор Поделиться Опубликовано 2 марта, 2018 (изменено) Если честно, ненавижу периодонтиты.. Лезу в канал, и постоянно мысли: Это же как доктор ненавидел свою работу, пациентов, чтобы так через ж..., пардон, через попу сделал. Изменено 2 марта, 2018 пользователем igorstom 2 Ссылка на комментарий
Рекомендуемые сообщения
Для публикации сообщений создайте учётную запись или авторизуйтесь
Вы должны быть пользователем, чтобы оставить комментарий
Создать аккаунт
Зарегистрируйте новый аккаунт в нашем сообществе. Это очень просто!
Регистрация нового пользователяВойти
Уже есть аккаунт? Войти в систему.
Войти