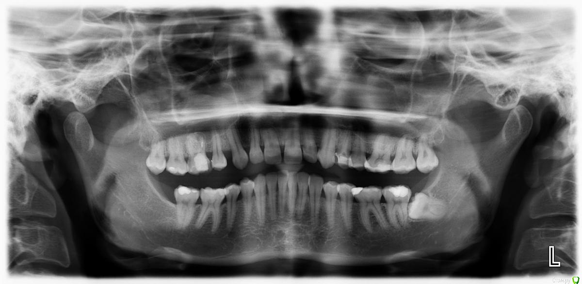
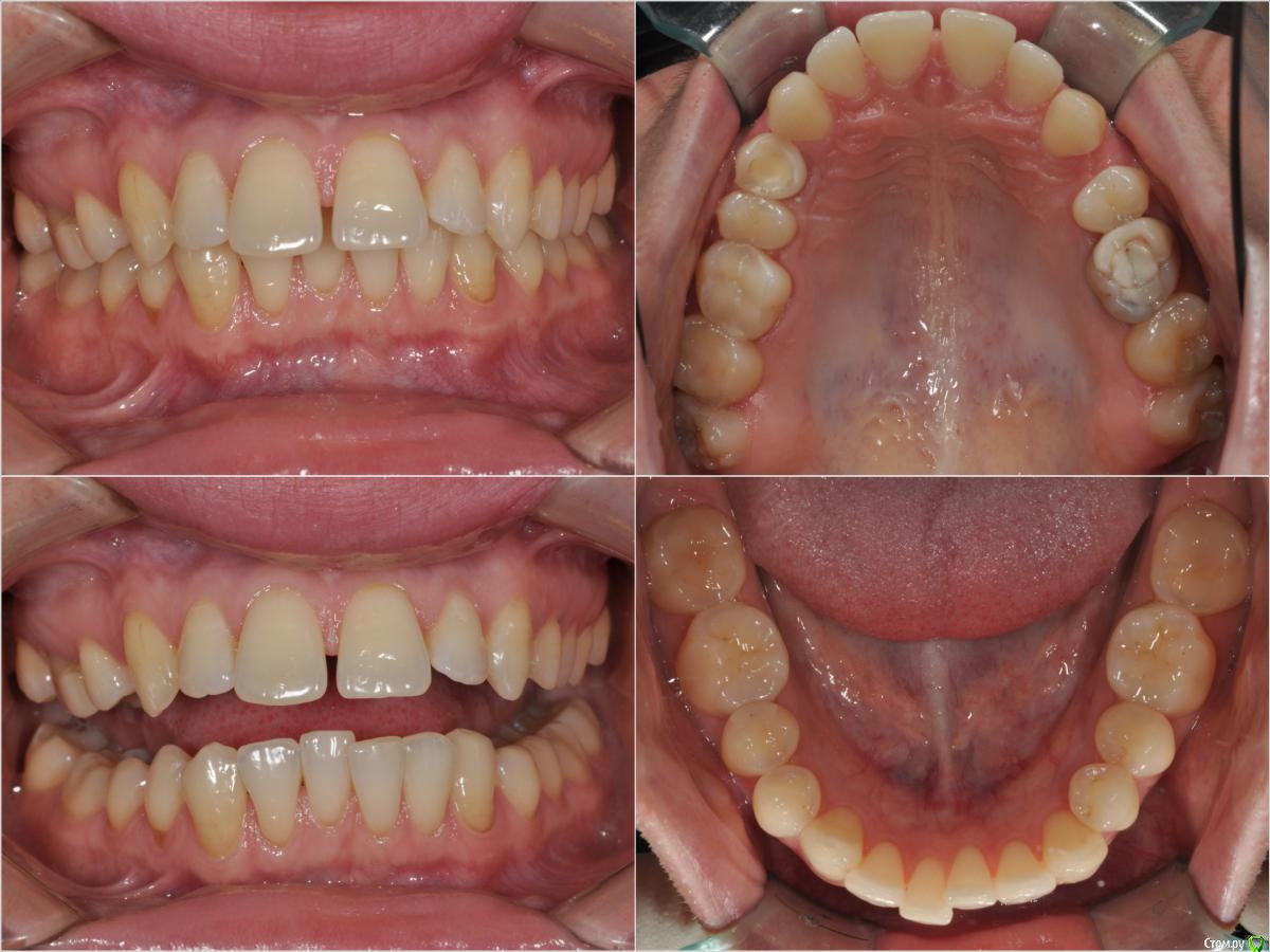
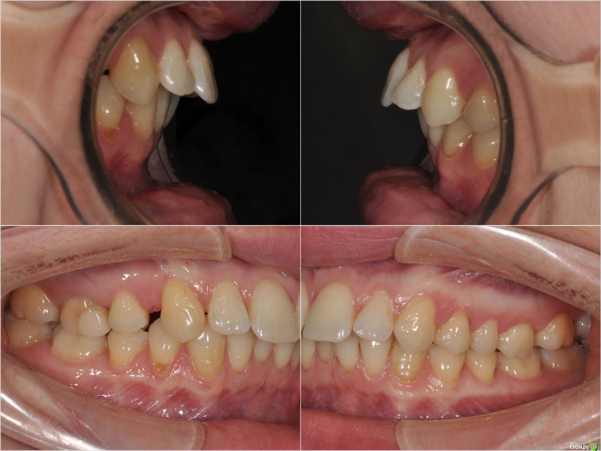
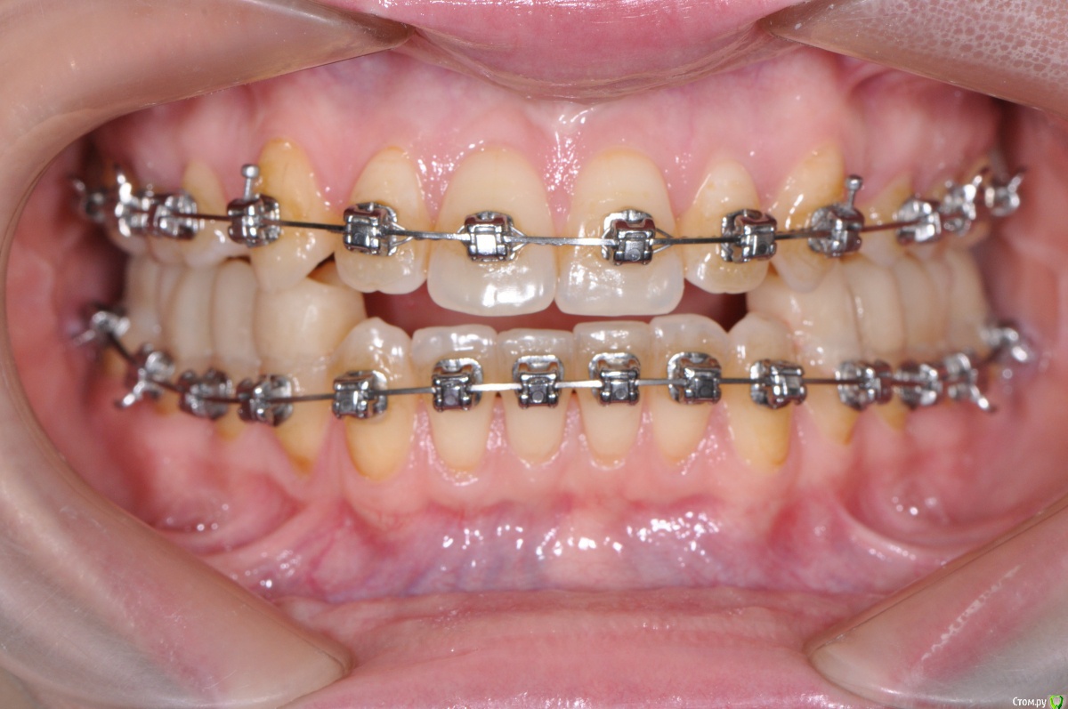
losenok83 Опубликовано 11 мая, 2016 Поделиться Опубликовано 11 мая, 2016 Здравствуйте! Мне 32 года. Год в брекетах. Уже больше 3-х месяцев беспокоит боль в в суставе, при открывании рта, иногда при жевании. До брекетов у меня хрустел сустав с левой стороны, сейчас хрустит с обеих сторон+ закладывает периодически уши. Лечусь с удалением 4-рок на ВЧ. Справа 4-ка была удалена в детстве по орт.показаниям , слева вначале нынешнего лечения. Не связана ли боль в суставе с удалением 4-рок? Действительно ли нужно было их удалять? Не нужно ли было выдвигать нижнюю челюсть вперед спец. аппаратами? И что можно сделать сейчас? Фото и снимки до лечения. Ретинированная 8-ка удалена. Ссылка на комментарий
m.d.n Опубликовано 11 мая, 2016 Поделиться Опубликовано 11 мая, 2016 ну........если есть такая симптоматика то стоит пересмотреть протокол лечения 1 Ссылка на комментарий
Yana guapa Опубликовано 12 мая, 2016 Поделиться Опубликовано 12 мая, 2016 Не связана ли боль в суставе с удалением 4-рок? Действительно ли нужно было их удалять? Не нужно ли было выдвигать нижнюю челюсть вперед спец. аппаратами? И что можно сделать сейчас? боль связана с тем, что всю жизнь с неправильным прикусом ходили, а сейчас одно из проявлений. но лучше не удалять, а наоборот сделать полноценный зубной ряд (то есть две четверки вернуть), нижнюю челюсть поставить в правильное положение. тогда есть шанс, что боли уйдут. при зажатой нижней челюсти диск смещен, боли будут периодически беспокоить (у всех по-разному степень проявления) Возможно, пока не поздно, пересмотрите план лечения. К сожалению, сейчас часто приходят пациенты с просьбой вернуть им четверки (после того, как им их где то удалили), приходится второй раз ставить брекеты и пару годиков ходить опять Ссылка на комментарий
losenok83 Опубликовано 12 мая, 2016 Автор Поделиться Опубликовано 12 мая, 2016 Спасибо за ответы.А скажите еще пожалуйста, Нижнюю челюсть ставить в правильное положение с помощью операции или можно обойтись без нее? И нужно ли расширять ВЧ? Просто до лечения была у 5 ортодонтов и все говорили о лечении с удалением, мотивируя это тем, что зубы будут вперед торчат еще сильнее без него. И может подскажите ортодонта в Ростове, а то у меня уже складывается впечатление, что у нас только удаляя могут лечить. Ссылка на комментарий
Yana guapa Опубликовано 13 мая, 2016 Поделиться Опубликовано 13 мая, 2016 Спасибо за ответы.А скажите еще пожалуйста, Нижнюю челюсть ставить в правильное положение с помощью операции или можно обойтись без нее? И нужно ли расширять ВЧ? Просто до лечения была у 5 ортодонтов и все говорили о лечении с удалением, мотивируя это тем, что зубы будут вперед торчат еще сильнее без него. И может подскажите ортодонта в Ростове, а то у меня уже складывается впечатление, что у нас только удаляя могут лечить. в личку ответила Ссылка на комментарий
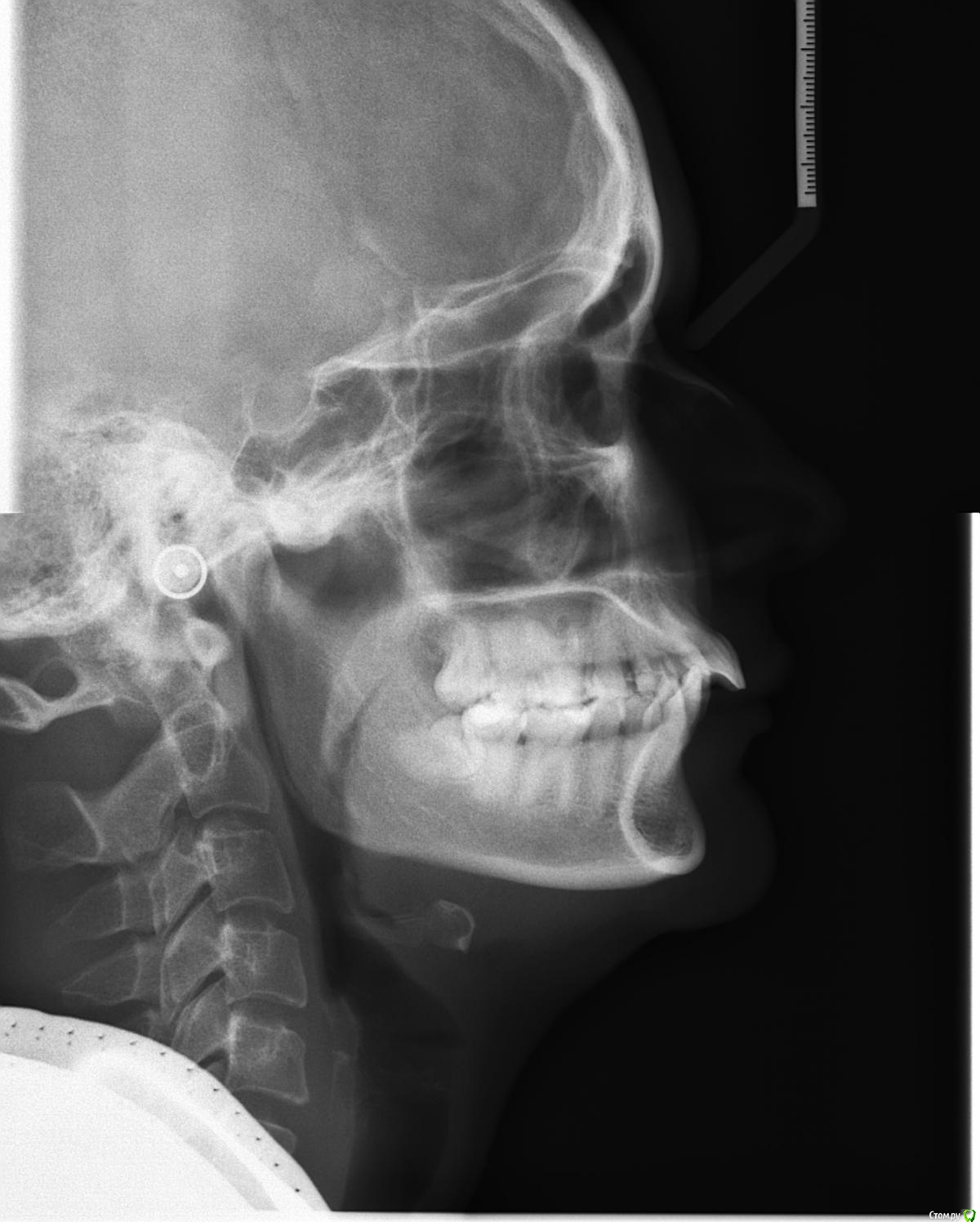
losenok83 Опубликовано 4 сентября, 2016 Автор Поделиться Опубликовано 4 сентября, 2016 Здравствуйте, очень нужна ваша помощь снова! Я обошла много ортодонтов в своем городе на предмет дальнейшего лечения. В конце концов мое самочувствие более менее менее улучшилось только после ортотика. В дальнейшем мне сказали ортодонт поставит мои зубы на такую высоту. Скажите пожалуйста это правда возможно, на такую высоту вытянуть свои верхние и нижние зубы? И еще изначально этот ортодонт планировала что в этом ортотике Н,Ч, выйдет вперед , а потом ее расширят. Поскольку этого не произошло, сказала что просто раздвинут место для раннее удаленных 4-рок на В,Ч. пружинами. А я очень боюсь, что в результате зубы будут торчать вперед как раньше.Разве нет? Расчет ТРГ на данный момент лечения. И вид челюстей в ортотике. Ссылка на комментарий
Yana guapa Опубликовано 6 сентября, 2016 Поделиться Опубликовано 6 сентября, 2016 1. где сам снимок трг? 2. вы из ростова но расчет я так понимаю делал московский врач а не ваш? 3. мне трудно комментировать данное лечение, потому что мой план лечения отличался бы ... но на мой взгляд - высота завышена, и явно далека от терапевтической нормы... Нужен снимок ТРГ а не расчеты чужие . (с удовольствием послушаю мнение коллег) 4. не первый раз вижу расчеты с такой фамилией, заинтересовала графа - "АНГУЛЯЦИЯ резцов вч и нч" - комментарий ПРОТРУЗИЯ. (это к коллегам вопрос) интересный расчет))) 2 Ссылка на комментарий
losenok83 Опубликовано 6 сентября, 2016 Автор Поделиться Опубликовано 6 сентября, 2016 Yana guapa , спасибо, что откликнулись! А как вы сами лечили бы такой случай ? Вот Ортодонт, которого вы рекомендовали мне весной. Говорила о постоянных керамических накладках на все жевательные зубы. А на 5-ки верхние поставить коронки, чтобы увеличить их ширину и тем самым заполнить промежутки оставшиеся. Мне этот вариант как-то не очень понравился. Жалко было столько здоровых зубов пилить! Ну а все остальные настаивали на прежнем плане лечение с закрытием промежутков. Расчеты делал московский врач, его сайт в интернете показался мне весьма интересным, а его расчеты более полные на мой дилетантский взгляд, он вроде ученик Савинова . В Ростове я поняла вообще мало кто заморачивается расчетами, как сказал мне мой первый ортодонт считающийся одним из лучших в городе, ТРГ нужно только, чтобы бы мягкие ткани посмотреть! Ссылка на комментарий
Maxfac Опубликовано 7 сентября, 2016 Поделиться Опубликовано 7 сентября, 2016 "АНГУЛЯЦИЯ резцов вч и нч" - комментарий ПРОТРУЗИЯ )) Ссылка на комментарий
Skip Опубликовано 7 сентября, 2016 Поделиться Опубликовано 7 сентября, 2016 4. не первый раз вижу расчеты с такой фамилией, заинтересовала графа - "АНГУЛЯЦИЯ резцов вч и нч" - комментарий ПРОТРУЗИЯ. (это к коллегам вопрос) интересный расчет))) Яна, а что именно вызывает у Вас смех и сарказм? Вы знакомы или работаете с анализом Sassouni Plus? 1 Ссылка на комментарий
Yana guapa Опубликовано 7 сентября, 2016 Поделиться Опубликовано 7 сентября, 2016 Yana guapa , спасибо, что откликнулись! А как вы сами лечили бы такой случай ? Вот Ортодонт, которого вы рекомендовали мне весной. Говорила о постоянных керамических накладках на все жевательные зубы. А на 5-ки верхние поставить коронки, чтобы увеличить их ширину и тем самым заполнить промежутки оставшиеся. Мне этот вариант как-то не очень понравился. Жалко было столько здоровых зубов пилить! Ну а все остальные настаивали на прежнем плане лечение с закрытием промежутков. Расчеты делал московский врач, его сайт в интернете показался мне весьма интересным, а его расчеты более полные на мой дилетантский взгляд, он вроде ученик Савинова . В Ростове я поняла вообще мало кто заморачивается расчетами, как сказал мне мой первый ортодонт считающийся одним из лучших в городе, ТРГ нужно только, чтобы бы мягкие ткани посмотреть! 1. ну я не рекомендовала ПЛАН лечения того врача, п только проконсультироваться (тк знаю, что он не сторонник повсеместного удаления)2. мой план - был бы не таким .... я бы не удаляла 4-ки (но это мое личное мнение, у каждого врача свой план) 3. если "лучший" ортодонт Ростова считает что ТРГ нужно только чтобы посмотреть мягкие ткани .... мне очень жаль пациентов Ростова 1 Ссылка на комментарий
Yana guapa Опубликовано 7 сентября, 2016 Поделиться Опубликовано 7 сентября, 2016 Яна, а что именно вызывает у Вас смех и сарказм? Вы знакомы или работаете с анализом Sassouni Plus? Алексей Олегович, зачем такая путаница?? существует определение - ангуляции и инклинации. и если в Sassouni плюс "ангуляция" нечто иное чем традиционно принято считать , то зачем все это? я не писала что врач не прав, я написала - интересный расчет!)) Ссылка на комментарий
Skip Опубликовано 7 сентября, 2016 Поделиться Опубликовано 7 сентября, 2016 Алексей Олегович, зачем такая путаница?? существует определение - ангуляции и инклинации. и если в Sassouni плюс "ангуляция" нечто иное чем традиционно принято считать , то зачем все это? я не писала что врач не прав, я написала - интересный расчет!)) А в чём всё-таки путаница? Мне знаком один единственный перевод с англ. слова angulation, а именно - образование угла; расположение под углом ( Англо-Русский Медицинский Словарь, Акжигитов Г.Н. Бенюмович М.С. Чикорин А.К. 1992 г.) Может я уже стал стар и отстал от жизни...))) Ссылка на комментарий
Yana guapa Опубликовано 7 сентября, 2016 Поделиться Опубликовано 7 сентября, 2016 А в чём всё-таки путаница? Мне знаком один единственный перевод с англ. слова angulation, а именно - образование угла; расположение под углом ( Англо-Русский Медицинский Словарь, Акжигитов Г.Н. Бенюмович М.С. Чикорин А.К. 1992 г.) Может я уже стал стар и отстал от жизни...))) ну что Вы, Алексей Олегович , на себя наговариваете!)) Вы бодры и веселы))) это я видимо слишком зеленая!)) меня учили что ангуляция может быть положительной или отрицательной в вертикальной плоскости (соответственно коронковая или корневая), но вот понятие "протрузия" все-таки применяли для измерения угла наклона зуба в сагитальной плоскости Ссылка на комментарий
Skip Опубликовано 7 сентября, 2016 Поделиться Опубликовано 7 сентября, 2016 ну что Вы, Алексей Олегович , на себя наговариваете!)) Вы бодры и веселы))) это я видимо слишком зеленая!)) меня учили что ангуляция может быть положительной или отрицательной в вертикальной плоскости (соответственно коронковая или корневая), но вот понятие "протрузия" все-таки применяли для измерения угла наклона зуба в сагитальной плоскости Вас учили адепты техники прямой дуги и там действительно то, о чём Вы пишите. А у адептов всегда - шаг вправо шаг влево расстрел)) У нас всё проще, как собственно и в английском языке) Если, к примеру, Вы закажете для себя провести анализ ТРГ Sassouni, где-нибудь в районе западного Бруклина штата Нью-Йорк, то Вам пришлют вот такой формуляр с отчётом, где в слово АНГУЛЯЦИЯ, как можно убедиться, вкладывается несколько иной смысл: http://i6.pixs.ru/storage/5/1/1/SassouniPl_8251589_23209511.png Ссылка на комментарий
losenok83 Опубликовано 7 сентября, 2016 Автор Поделиться Опубликовано 7 сентября, 2016 Алексей Олегович, а что вы могли бы сказать по моему случаю? И может вы знаете хорошего ортодонта в Ростове или области? И я уже наверное даже согласна на Краснодар! Ссылка на комментарий
losenok83 Опубликовано 7 сентября, 2016 Автор Поделиться Опубликовано 7 сентября, 2016 Yana guapa, по поводу ПЛАНА, если это выглядело как претензия , прошу прощения. (Ведь на самом деле, вы тут единственная отвечаете мне по существу, за что я вам очень благодарна.) И я просто написала все варианты долечивания которые мне предложили. Было интересно схожи ли они с вашим. Я пытаюсь найти ортодонта для восстановления места для 4-рок. Но вот настораживает , что единственный предложивший мне это ортодонт, собирается расширять зубной ряд пружинами. Вы бы тоже ограничились пружинами? Я боюсь , что все закончится снова дистальным прикусом. Теперь еще и насчет высоты прикуса боюсь. .. Во общем я вообще уже боюсь местных светил в свой рот пускать! Поэтому задумываюсь о Краснодар , и если вы мне сможете кого то посоветовать там, буду очень признательна. Ссылка на комментарий
Skip Опубликовано 7 сентября, 2016 Поделиться Опубликовано 7 сентября, 2016 Алексей Олегович, а что вы могли бы сказать по моему случаю? И может вы знаете хорошего ортодонта в Ростове или области? И я уже наверное даже согласна на Краснодар! Если я правильно понял, то доктору удалось добиться положительной динамики со стороны ВНЧС? Если да, то это здорово. И необходимо удерживать это состояние бессимптомности с ортотиком минимум 12 мес. Завершающим этапом, как Вам и предлагали доктора, зубоальвеолярная экструзия нижних зубов или постоянный ортотик, включая покрытие им резцов и клыков. Ссылка на комментарий
Yana guapa Опубликовано 8 сентября, 2016 Поделиться Опубликовано 8 сентября, 2016 В конце концов мое самочувствие более менее менее улучшилось только после ортотика. что означает более менее улучшилось??? Ссылка на комментарий
losenok83 Опубликовано 8 сентября, 2016 Автор Поделиться Опубликовано 8 сентября, 2016 Yana guapa, Skip. С ортотиком, перестал хрустеть, щелкать сустав. И болит гораздо реже. Голова с шеей тоже чувствуют себя лучше, но может тут остеопат больше даже помог. Я надеялась, что и ушам полегчает, но пока шум, заложенность и звон все так же присутствуют. И ортотик мне уже постепенно убирать собираются через пару месяцев. Ссылка на комментарий
losenok83 Опубликовано 8 сентября, 2016 Автор Поделиться Опубликовано 8 сентября, 2016 Алексей Олегович, И вместе с зубами корни не вылезут? Там же высота ортотика миллиметров 5 если не больше! А что вы скажете по поводу раздвижения на В.Ч места для 4-рок пружинами. Ведь у меня до лечения был дистальный прикус при отсутствии уже одной 4-ки! Т.е. раздвинув просто зубной ряд, реально добиться правильного смыкания? Ссылка на комментарий
Yana guapa Опубликовано 21 сентября, 2016 Поделиться Опубликовано 21 сентября, 2016 Yana guapa, по поводу ПЛАНА, если это выглядело как претензия , прошу прощения. (Ведь на самом деле, вы тут единственная отвечаете мне по существу, за что я вам очень благодарна.) И я просто написала все варианты долечивания которые мне предложили. Было интересно схожи ли они с вашим. Я пытаюсь найти ортодонта для восстановления места для 4-рок. Но вот настораживает , что единственный предложивший мне это ортодонт, собирается расширять зубной ряд пружинами. Вы бы тоже ограничились пружинами? Я боюсь , что все закончится снова дистальным прикусом. Теперь еще и насчет высоты прикуса боюсь. .. Во общем я вообще уже боюсь местных светил в свой рот пускать! Поэтому задумываюсь о Краснодар , и если вы мне сможете кого то посоветовать там, буду очень признательна. в личку ответила Ссылка на комментарий
Рекомендуемые сообщения
Для публикации сообщений создайте учётную запись или авторизуйтесь
Вы должны быть пользователем, чтобы оставить комментарий
Создать аккаунт
Зарегистрируйте новый аккаунт в нашем сообществе. Это очень просто!
Регистрация нового пользователяВойти
Уже есть аккаунт? Войти в систему.
Войти