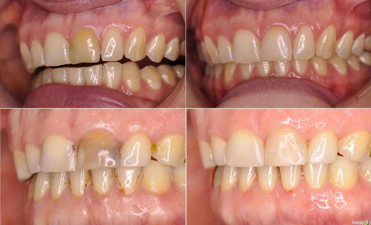
privetik Опубликовано 6 мая, 2016 Поделиться Опубликовано 6 мая, 2016 Зуб 21 ранее лечен первично эндодонтически 15 лет назад. 2 года назад зуб перелечен и посерел (все со слов пациентки, лечение было на украине). от ортопедического лечения отказалась. Поможет ли прямая реставрация (прямой винир) перекрыть серость? Ссылка на комментарий
diesel87 Опубликовано 6 мая, 2016 Поделиться Опубликовано 6 мая, 2016 Добрый день, снимок делали? То есть вы хотите снять слой эмали и дентина, а потом перекрыть композитом? Вы уверены? Ссылка на комментарий
privetik Опубликовано 6 мая, 2016 Автор Поделиться Опубликовано 6 мая, 2016 Добрый день, снимок делали? То есть вы хотите снять слой эмали и дентина, а потом перекрыть композитом? Вы уверены?ДОБРЫЙ ДЕНЬ. БЫЛА Б УВЕРЕННА НЕ СПРАШИВАЛА. СНИМОК ОНА НЕ ПРИНЕСЛА. Ссылка на комментарий
IvanK Опубликовано 6 мая, 2016 Поделиться Опубликовано 6 мая, 2016 ДОБРЫЙ ДЕНЬ. БЫЛА Б УВЕРЕННА НЕ СПРАШИВАЛА. СНИМОК ОНА НЕ ПРИНЕСЛА.спокойствие, только спокойствие... думаю, что нужно начать со снимка.. 3 Ссылка на комментарий
diesel87 Опубликовано 6 мая, 2016 Поделиться Опубликовано 6 мая, 2016 То есть вы не видели снимок данного зуба? Вариант с эндо отбеливанием рассматривали? Ссылка на комментарий
Каплан Опубликовано 6 мая, 2016 Поделиться Опубликовано 6 мая, 2016 внутренне отбеливание. вариант с виниром - если спрашиваете - значит не уверены в своих силах. и будут проблемы. а они 100: будут. потому что чем больше преп, тем темнее зуб. а вам будет хотеться больше преп, на подсознательном уровне, что бы толщиной материала перекрыть цвет ....поэтому снимок, перелечка если надо, и внутреннее отбеливание 2 Ссылка на комментарий
леонидовна Опубликовано 6 мая, 2016 Поделиться Опубликовано 6 мая, 2016 внутренне отбеливание. вариант с виниром - если спрашиваете - значит не уверены в своих силах. и будут проблемы. а они 100: будут. потому что чем больше преп, тем темнее зуб. а вам будет хотеться больше преп, на подсознательном уровне, что бы толщиной материала перекрыть цвет ....поэтому снимок, перелечка если надо, и внутреннее отбеливаниеПоддерживаю. Можно пожертвовать тканями зуба и получить, может быть, не самый лучший эстетический результат, т.к. будет постоянный внутренний спор: снять побольше или уже достаточно? Лучше эндоотбеливание, имхо. Ссылка на комментарий
LeFor Опубликовано 8 мая, 2016 Поделиться Опубликовано 8 мая, 2016 многие гуру говорят в таких случаях об одном и том же протоколе:1. переделка эндо2. внутреннее отбеливаниеи если полностью проблема не решена то3. винир или прямая реставрация(по кошельку) ибо после внутреннего отбеливания и ресаврация и винир тоньше!!!вот пару останавливался на 2 этапе... 1 Ссылка на комментарий
Мартовский Опубликовано 8 мая, 2016 Поделиться Опубликовано 8 мая, 2016 многие гуру говорят в таких случаях об одном и том же протоколе:1. переделка эндо2. внутреннее отбеливаниеи если полностью проблема не решена то3. винир или прямая реставрация(по кошельку) ибо после внутреннего отбеливания и ресаврация и винир тоньше!!!вот пару останавливался на 2 этапе...Какой такой винир? Зуб то девитальный, там однозначно коронка. Ограничиться эндоотбелом с закрытием композитор эндодоступа можно, если своих тканей много сохранено, но после двойного эндолечения это вряд ли. 1 Ссылка на комментарий
LeFor Опубликовано 9 мая, 2016 Поделиться Опубликовано 9 мая, 2016 Какой такой винир? Зуб то девитальный, там однозначно коронка. Ограничиться эндоотбелом с закрытием композитор эндодоступа можно, если своих тканей много сохранено, но после двойного эндолечения это вряд ли.я это и имел ввиду Ссылка на комментарий
Саидчон Опубликовано 11 мая, 2016 Поделиться Опубликовано 11 мая, 2016 А как проводится эндо-отбеливание? Ссылка на комментарий
Рекомендуемые сообщения
Для публикации сообщений создайте учётную запись или авторизуйтесь
Вы должны быть пользователем, чтобы оставить комментарий
Создать аккаунт
Зарегистрируйте новый аккаунт в нашем сообществе. Это очень просто!
Регистрация нового пользователяВойти
Уже есть аккаунт? Войти в систему.
Войти