pit Опубликовано 6 мая, 2016 Поделиться Опубликовано 6 мая, 2016 Мой вариант такой имплантация в области 14-15 и 24 , коронки на зубах 17, 13-21-23, 25-27 . и полностью протезирование вч и нч. сегодня зафиксировали временные на вч с 17-27 и преп нижних зубов.Какая конструкция планируется на нижней челюсти? Ссылка на комментарий
togrul Опубликовано 6 мая, 2016 Автор Поделиться Опубликовано 6 мая, 2016 На жевательные мк на фронт emax. Ссылка на комментарий
pit Опубликовано 6 мая, 2016 Поделиться Опубликовано 6 мая, 2016 На жевательные мк на фронт emax.Я бы всю работу сделал бы без имплантов. Честно Ссылка на комментарий
Goacasper Опубликовано 6 мая, 2016 Поделиться Опубликовано 6 мая, 2016 Вы продали пацу 2 импланта и не знаете куда поставить )))? А какой резон? Уж лучше в позиции 36,46 Петя, )))))))) издеваешься... Ссылка на комментарий
togrul Опубликовано 6 мая, 2016 Автор Поделиться Опубликовано 6 мая, 2016 Я бы всю работу сделал бы без имплантов. Честно Это Ваш выбор. Спасибо. Ссылка на комментарий
pit Опубликовано 6 мая, 2016 Поделиться Опубликовано 6 мая, 2016 Петя, )))))))) издеваешься...Да нет же, просто срок лечения это удлинит, риски повысит ну в общем толку никакого. Поэтому и предположил, что продано, а девать не куда)) Ссылка на комментарий
pit Опубликовано 6 мая, 2016 Поделиться Опубликовано 6 мая, 2016 Это Ваш выбор. Спасибо.Нет это Ваш пациент и Ваш выбор, и, самое главное, Ваша ответственность за работу. Как Вы сделаете, так будет правильно. А у меня детки заболели ветрянкой, все поездки на выходные отменились зато появилось время потусить на форумах и в FB:)) Ссылка на комментарий
togrul Опубликовано 6 мая, 2016 Автор Поделиться Опубликовано 6 мая, 2016 Поэтому я выбираю минимальные риски. Выздоравливайте. Ссылка на комментарий
togrul Опубликовано 6 мая, 2016 Автор Поделиться Опубликовано 6 мая, 2016 Риск лечения будет если мы сделаем подкову. Ссылка на комментарий
Art 7 Опубликовано 6 мая, 2016 Поделиться Опубликовано 6 мая, 2016 Тогрул, тебе pit по делу говорит. Ты не правильно оцениваешь риски Ссылка на комментарий
pit Опубликовано 6 мая, 2016 Поделиться Опубликовано 6 мая, 2016 Поэтому я выбираю минимальные риски. Выздоравливайте.Спс Ссылка на комментарий
pit Опубликовано 6 мая, 2016 Поделиться Опубликовано 6 мая, 2016 Риск лечения будет если мы сделаем подкову.Нет.Даже если подойти с юридической стороны . Сахарный диабет является относительным противопоказанием к имплантации. И это является более серьезным риском, нежели полная дуга. Ссылка на комментарий
togrul Опубликовано 6 мая, 2016 Автор Поделиться Опубликовано 6 мая, 2016 Всем спасибо за высказанное мнение. Ссылка на комментарий
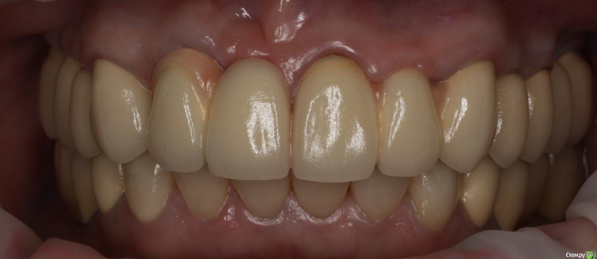
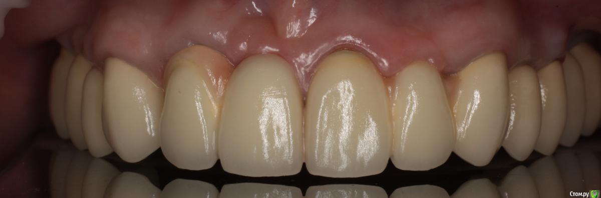
togrul Опубликовано 10 февраля, 2017 Автор Поделиться Опубликовано 10 февраля, 2017 Закончили работу. Установив 4 имплантата на в/ч. Фото на 3 день осмотра. Ссылка на комментарий
pit Опубликовано 11 февраля, 2017 Поделиться Опубликовано 11 февраля, 2017 Закончили работу. Установив 4 имплантата на в/ч. Фото на 3 день осмотра.В каких позициях имплантаты?Улыбка закрытая? Ссылка на комментарий
Fibez Опубликовано 11 февраля, 2017 Поделиться Опубликовано 11 февраля, 2017 спасибо, что выложили результат Ссылка на комментарий
togrul Опубликовано 11 февраля, 2017 Автор Поделиться Опубликовано 11 февраля, 2017 В каких позициях имплантаты?Улыбка закрытая?Да улыбка закрытая. В позиции 14-15, 12, 24. Ссылка на комментарий
togrul Опубликовано 11 февраля, 2017 Автор Поделиться Опубликовано 11 февраля, 2017 спасибо, что выложили результатПожалуйста. Ссылка на комментарий
Dman Опубликовано 13 февраля, 2017 Поделиться Опубликовано 13 февраля, 2017 Пожалуйста.как сами оцениваете результат? нет мысли что мост во фронте был бы эстетичнее? Ссылка на комментарий
togrul Опубликовано 13 февраля, 2017 Автор Поделиться Опубликовано 13 февраля, 2017 (изменено) как сами оцениваете результат? нет мысли что мост во фронте был бы эстетичнее?Думаю что да. все портит в данном случае разовая керамика. Единственное если делать мост во фронте то опора справа была бы одна 13(для меня это не приемлемо) Изменено 13 февраля, 2017 пользователем togrul Ссылка на комментарий
pit Опубликовано 14 февраля, 2017 Поделиться Опубликовано 14 февраля, 2017 Да улыбка закрытая. В позиции 14-15, 12, 24. Тогда норм В случае открытой улыбки было бы не очень11 консоль на импланте? Ссылка на комментарий
pit Опубликовано 14 февраля, 2017 Поделиться Опубликовано 14 февраля, 2017 Думаю что да. все портит в данном случае разовая керамика. Единственное если делать мост во фронте то опора справа была бы одна 13(для меня это не приемлемо)Проблема не в розовой керамике, а в вестибулярной позиции импланата. Запас десны был большой, можно было поиграться с овойдами. Но все это имело бы значение при открытой улыбке. Ссылка на комментарий
togrul Опубликовано 15 февраля, 2017 Автор Поделиться Опубликовано 15 февраля, 2017 Тогда норм В случае открытой улыбки было бы не очень 11 консоль на импланте?Да 11 консоль, спасибо за мнение. Ссылка на комментарий
togrul Опубликовано 15 февраля, 2017 Автор Поделиться Опубликовано 15 февраля, 2017 Проблема не в розовой керамике, а в вестибулярной позиции импланата. Запас десны был большой, можно было поиграться с овойдами. Но все это имело бы значение при открытой улыбке.Да согласен с Вами. Ссылка на комментарий
Рекомендуемые сообщения
Для публикации сообщений создайте учётную запись или авторизуйтесь
Вы должны быть пользователем, чтобы оставить комментарий
Создать аккаунт
Зарегистрируйте новый аккаунт в нашем сообществе. Это очень просто!
Регистрация нового пользователяВойти
Уже есть аккаунт? Войти в систему.
Войти