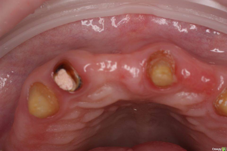
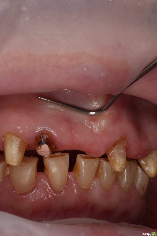
togrul Опубликовано 4 мая, 2016 Поделиться Опубликовано 4 мая, 2016 Добрый день необходим совет по планированию. Планируем удалить зуб 1.2 + одномоментно имплантат Импро 3.6 + ССТ. в области 11 зуба имплантат 3.6 + ССт. у пациента сахарный диабет в районе 8.И 2 вариант НТР в области 11 + имплантация отсрочено. хочу услышать мнение более опытных коллег. буду благодарен. Ссылка на комментарий
Большой Зеленый Опубликовано 4 мая, 2016 Поделиться Опубликовано 4 мая, 2016 Устанавливая имплант какую цель преследуете? Установить то не проблема ,а что дальше? коронка и консоль? Ссылка на комментарий
togrul Опубликовано 4 мая, 2016 Автор Поделиться Опубликовано 4 мая, 2016 Установить 2 имплантата 1.1 и 1.2 + одиночные коронки. Ссылка на комментарий
togrul Опубликовано 4 мая, 2016 Автор Поделиться Опубликовано 4 мая, 2016 В остальных позициях будут установлены мосты на зубах из финансов. Ссылка на комментарий
Большой Зеленый Опубликовано 4 мая, 2016 Поделиться Опубликовано 4 мая, 2016 Хуже одного импланта во фронте только два импланта 6 Ссылка на комментарий
togrul Опубликовано 4 мая, 2016 Автор Поделиться Опубликовано 4 мая, 2016 Хуже одного импланта во фронте только два импланта Что предлагаете? Ссылка на комментарий
togrul Опубликовано 4 мая, 2016 Автор Поделиться Опубликовано 4 мая, 2016 Установить 1 и сделать консоль? Ссылка на комментарий
togrul Опубликовано 4 мая, 2016 Автор Поделиться Опубликовано 4 мая, 2016 Протезирую много на имплантатах. Но вопрос в консоли? хотя структура не подвижна... Ссылка на комментарий
Доктор Добрых Дел Опубликовано 4 мая, 2016 Поделиться Опубликовано 4 мая, 2016 Хуже одного импланта во фронте только два имплантаЛучше так оставить?) Ссылка на комментарий
Доктор Добрых Дел Опубликовано 4 мая, 2016 Поделиться Опубликовано 4 мая, 2016 Вообще пациенту по-моему бы прикус сначала поднять 1 Ссылка на комментарий
togrul Опубликовано 4 мая, 2016 Автор Поделиться Опубликовано 4 мая, 2016 Здесь тотальная работа. Чтобы что то поднимать нужно понять как это будет держаться. Ссылка на комментарий
Доктор Добрых Дел Опубликовано 5 мая, 2016 Поделиться Опубликовано 5 мая, 2016 Так держаться будет, куда оно денется. Если НКР в обл. 11 то одновременно с имплантатом. Если не НКР то я бы немного расщепил (уплотнил) и ССТ. В 12 одномоментно. Ссылка на комментарий
Доктор Добрых Дел Опубликовано 5 мая, 2016 Поделиться Опубликовано 5 мая, 2016 Но только держаться то будет на боковых зубах(прикус я имею ввиду) Ссылка на комментарий
Doctorstomlis Опубликовано 5 мая, 2016 Поделиться Опубликовано 5 мая, 2016 Почему не хотите сделать мост?12 зуб так безнадёжен?После 16 следующий 13 ?14 и 15 отсутствует? Я бы лучше здесь подумала об имплантах Ссылка на комментарий
togrul Опубликовано 5 мая, 2016 Автор Поделиться Опубликовано 5 мая, 2016 Почему не хотите сделать мост?12 зуб так безнадёжен?После 16 следующий 13 ?14 и 15 отсутствует? Я бы лучше здесь подумала об имплантахЕсли мост то нужно делать подкову. Поэтому удаляем 1.2 и устанавливаем имплантанты. Где вы видите имплантацию? Ссылка на комментарий
Большой Зеленый Опубликовано 6 мая, 2016 Поделиться Опубликовано 6 мая, 2016 Дайте нормальную ортопантомограму 2 Ссылка на комментарий
pit Опубликовано 6 мая, 2016 Поделиться Опубликовано 6 мая, 2016 В плане лечения у паца 2 варианта 2 протяженных моста и 2 коронки на имплантатах или подкова. Линия улыбки, наверное, закрытая. Если да, то без разницы какой из вариантов будет выбран.Если линия улыбки открытая, то с точки зрения эстетики, если не отработать с десной в области 14,12,11,22, 24 зубов оба варианта будут не очень.Еще один важный момент, в случае использования имплантатов (имплантата и консоли) с одной стороны и протяженного мостовидного протеза с другой разрыв конструкции придется на область 11 и 21 зубов. Есть вероятность, что спустя некоторое время между зубами 11 и 21 образуется щель.Учитывая вышеперечисленное, я бы склонился в данном случае к подкове и беседовал бы с пацем в пользу выбора более качественного материала конструкции. Ссылка на комментарий
pit Опубликовано 6 мая, 2016 Поделиться Опубликовано 6 мая, 2016 Если же говорить только об имплантах, то 1 и консоль будет смотреться лучше. Так как высота сосочка между имплантом и понтиком всегда выше, чем между имплантом и имплантом. Разумеется при правильной моделировке понтика. Но для консольной конструкции я бы предпочел диаметр винта 4,3 и винтовую фиксацию, что в данном случае повлечет за собой приличный объем пластики.Если же линия улыбки закрытая, то 2 импланта. В позицию 12зуба - 3,5, а в позицию 11зуба - 3,0 и минимальный объем пластики. Ссылка на комментарий
togrul Опубликовано 6 мая, 2016 Автор Поделиться Опубликовано 6 мая, 2016 Панорамный снимок Ссылка на комментарий
togrul Опубликовано 6 мая, 2016 Автор Поделиться Опубликовано 6 мая, 2016 Если же говорить только об имплантах, то 1 и консоль будет смотреться лучше. Так как высота сосочка между имплантом и понтиком всегда выше, чем между имплантом и имплантом. Разумеется при правильной моделировке понтика. Но для консольной конструкции я бы предпочел диаметр винта 4,3 и винтовую фиксацию, что в данном случае повлечет за собой приличный объем пластики.Если же линия улыбки закрытая, то 2 импланта. В позицию 12зуба - 3,5, а в позицию 11зуба - 3,0 и минимальный объем пластики. Спасибо за объяснение. А если рассмотреть вариант имплантации в области1.4 1.5 и мост 13-21-23 . Дабы не делать пластику во фронте? Иногда не знаешь что лучше. У неё мост стоял на зубах 20 лет. Ссылка на комментарий
pit Опубликовано 6 мая, 2016 Поделиться Опубликовано 6 мая, 2016 Спасибо за объяснение. А если рассмотреть вариант имплантации в области1.4 1.5 и мост 13-21-23 . Дабы не делать пластику во фронте? Иногда не знаешь что лучше. У неё мост стоял на зубах 20 лет.Вы продали пацу 2 импланта и не знаете куда поставить)))? А какой резон? Уж лучше в позиции 36,46 Ссылка на комментарий
togrul Опубликовано 6 мая, 2016 Автор Поделиться Опубликовано 6 мая, 2016 (изменено) Вы продали пацу 2 импланта и не знаете куда поставить )))? А какой резон? Уж лучше в позиции 36,46Вопрос в том, что я не хочу делать подкову. не знаешь что произойдет завтра. Поэтому хочу максимум упростить конструкцию. В случае с проблемой с каким то зубом на вч придется снимать весь мост.( Если подкова) Изменено 6 мая, 2016 пользователем togrul Ссылка на комментарий
togrul Опубликовано 6 мая, 2016 Автор Поделиться Опубликовано 6 мая, 2016 Вопрос в том, что я не хочу делать подкову. не знаешь что произойдет завтра. Поэтому хочу максимум упростить конструкцию. В случае с проблемой с каким то зубом на вч придется снимать весь мост.( Если подкова)Ну если честно не зря я разместил этот пост . кажется все знаешь и понимаешь )) А на самом деле век учись. Ссылка на комментарий
togrul Опубликовано 6 мая, 2016 Автор Поделиться Опубликовано 6 мая, 2016 Мой вариант такой имплантация в области 14-15 и 24 , коронки на зубах 17, 13-21-23, 25-27 . и полностью протезирование вч и нч. сегодня зафиксировали временные на вч с 17-27 и преп нижних зубов. Ссылка на комментарий
pit Опубликовано 6 мая, 2016 Поделиться Опубликовано 6 мая, 2016 Вопрос в том, что я не хочу делать подкову. не знаешь что произойдет завтра. Поэтому хочу максимум упростить конструкцию. В случае с проблемой с каким то зубом на вч придется снимать весь мост.( Если подкова)Вовсе нет. Можно выпилить фрагмент и решить проблему. Ссылка на комментарий
Рекомендуемые сообщения
Для публикации сообщений создайте учётную запись или авторизуйтесь
Вы должны быть пользователем, чтобы оставить комментарий
Создать аккаунт
Зарегистрируйте новый аккаунт в нашем сообществе. Это очень просто!
Регистрация нового пользователяВойти
Уже есть аккаунт? Войти в систему.
Войти